study the following image

Enlargement of the pituitary gland in disease often impinges on the crossing fibres of the optic chiasm.
Which fibres from the optic nerve, nasal or temporal, cross over to the opposite side at the chiasm?
Nasal
What therefore would the resultant visual field defect be due to pituitary gland enlargement?
bitemporal hemianopia (temporal field lost in each eye)

Posterior pituitary continues down from the __________ _____ and __________
Posterior pituitary continues down from the pituitary stalk and hypothalamus
what does the anterior pituitary develop from?
Anterior pituitary – larger, glandular (develops from the branchial arches)
a

III ventricle
b

optic chiasm
c

pars intermedia
d

anterior pituitary
e

posterior pituitary
f

mammilary bodies
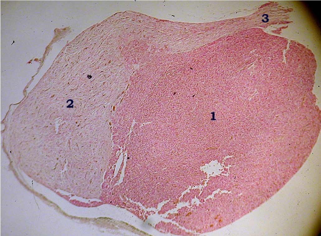
name 1, 2 and 3

1 – anterior pituitary
2 – posterior pituitary
3 – pituitary stalk
Low magnification - Should work out how magnified the image is first
Can see a slight difference in the middle that is the pars intermedia
what is the posterior pituitary made up of and what does it secrete?
Posterior pituitary is made up of nerves, neurons and glial cells as it is neural tissue
Posterior pituitary secretes ADH and oxytocin
Only neural tissue in the posterior pituitary
what are the normal features of an endocrine gland?
Round nucleus
Abducent cytoplasm
Different nuclei size
Lots and lots and lots of blood vessels
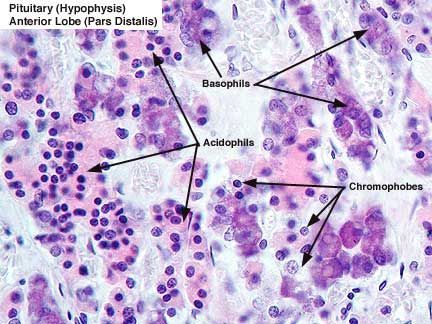
what is this showing?

anterior pituitary
High magnification
No particular arrangement
Just a mix of cells
what cells make up the anterior pituitary gland?
Cells are of 3 types of cells
Acidophilic – stain pink
Basophilic – light stain and go blue
Chromophobes are pituitary cells that by light microscopy lack stainable cytoplasmic secretory granules, and represent degranulated chromophils, inactive reserve cells, and/or undifferentiated stem cells - dont like stain at all
Stain different as in histology things do different things. Structures in the cytoplasm, secretions they are going to secrete, are different

what is this showing

Posterior pituitary
Lots of white due to the myelin sheath
Not a slide only looking at the posterior pituitary
Question may show both anterior and posterior pituitary
Definition of a portal vein (Webster’s)
A vein that collects blood from one part of the body and distributes it in another through capillaries
a

Neurons that secrete releasing hormones for the anterior pituitary
b

Neurons that secrete posterior pituitary hormones
c

Superior hypophyseal a.
(a branch of the cerebral part of the internal carotid artery)
d

Hypophyseal portal veins
e

Hypophyseal veins
f

Hypophyseal veins