What are some blistering conditions that are NOT autoimmune in nature?
What is this?

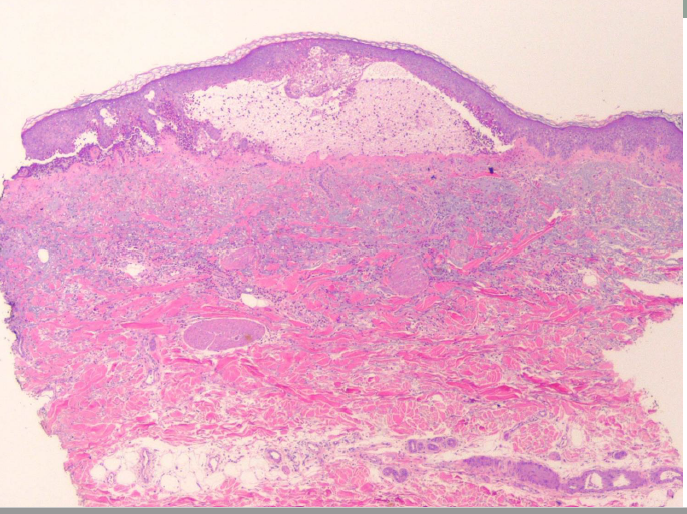
Bullous diabeticorum- common in long-standing diabetes (common on feet and lower legs)
While lesions typically heal spontaneously within 2-6 weeks, they often recur in the same or different locations. Secondary infections may also develop; these are characterized by cloudy blister fluid and require a culture.
What is this?

Coma blister from pressure
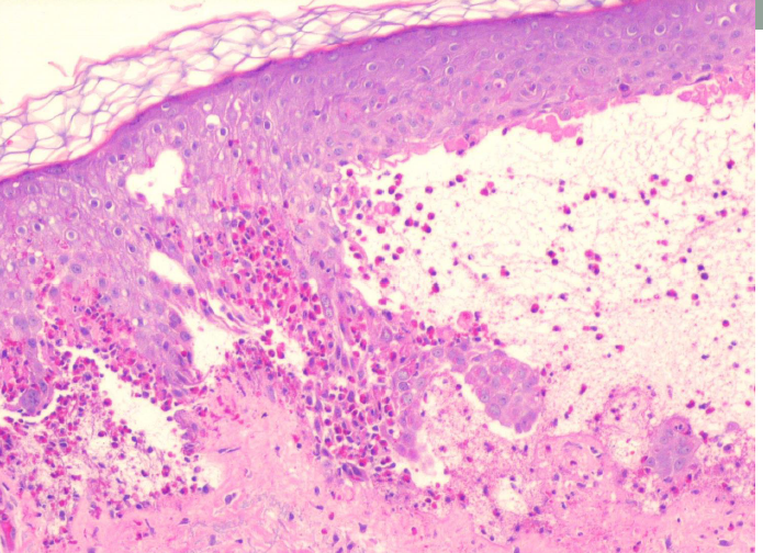
What is this?

Bullous impetigo (common in infants)
What is this?

Bullous small vessel cutaneous vasculitis (palpable, and non-blanching- morbilliform do blanch) and may have bleeding
What is this?

Bullous Fixed drug rxn
What is this?

Cutaneous mastocytoma (commonly seen in kids)
What is this?

Epidermolysis bullosa (have this from birth)
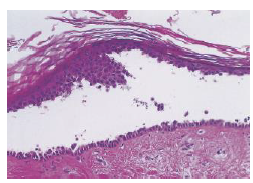
What are some autoimmune blistering diseases?
Normal Skin histology

Describe bullous pemphigoid

Autoimmune disease typically affecting older (68-82) adults (women more than men) where autoantibodies form to hemidesmosomes in basal cells that anchor the epidermis to the dermis

What are the specific antigens targeted in bullous pemphigoid?
BP 180 and BP 230 (in hemidesmosomes= tense blisters)
How does Bullous pemphigoid present?
Often starts with a very itchy, urticarial rash (may be confused for a drug interaction) that develops into tense blisters that may or may not have surround erythema and are USUALLY SYMMETRICALLY DISTRIBUTED

What is this?

Blisters of bullous pemphigoid- tense, may or may not have surrounding erythema/urticaria base and are usually symmetric
Tense means they will not break/pop easily

Bullous pemphigoid

Bullous pemphigoid

BP

Tense blister (=intact)

What are the variants of bullous pemphigoid?

Describe Gestational pemphigoid or ‘herpes gestationis”
BP arsing in pregnant women, usually during 2ND TRIMESTER that can be associated with preterm labor or low weight babies
Remits postpartum, but can recur in successive pregnancies

How is BP diagnosed?
Skin biopsy for routine studies and direct immunofluorescence (DIF) studies showing a band of IgG and C3 at the dermal-epidermal junction
May or may not find Abs in blood

How is BP treated?
long term systemic steroids and/or immunosuppression (BP usually lasts several years, then remits)
Describe Pemphigus vulargis

rare autoimmune disease affecting all ages (mean 50-60 yo) and especially those of Mediterranean or Ashkenazi Jew descent that is characterized by autoantibodies to parts of desmosomes

What are the specific targets of autoantibodies in pemphigus vulgaris?
desmoglein 1 and 3
Describe the histology of PV
‘row of tombstones’ appearance with intraepidermal split (within epidermis) and signs of acantholysis (individual cells losing attachments)

Describe the immunoflourescence of PV
Intracellular (netlike-between keratinocytes) IgG and C3
