What are the three erectile bodies of the penis?
What is contained in each?
There are two corpora cavernosa which each contain a deep artery and a corpora spongiosum through which the urethra traverses
What is the most common penis malformation? What causes it?
Hypospadias
An abnormal opening on the ventral surface of the penis due to faulty closure of the urethral folds
What is an Epispadias? What causes it?
An abnormal opening on the dorsal surface of the penis due to a defect in the genital tubercle
What is Phimosis? What causes it?
Phimosis is when the orifice of the prepuce is too small to retract over the head of the penis due to prepuce scarring from prior infection
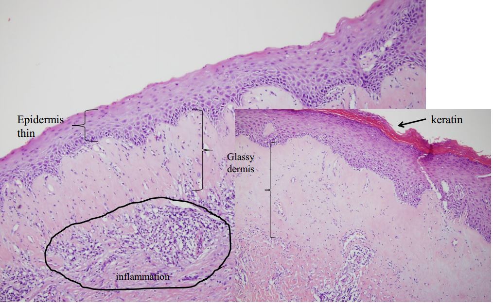
Describe the difference between Balanitis and Balanoposthitis
What leads to infection in Balanoposthitis? What are some common organisms?
What are some features of balanoposthitis on histology?
What is Peyronie’s disease (what can result from it)?
A type of fibromatosis causing painful contractures of the penis
May result in infertility
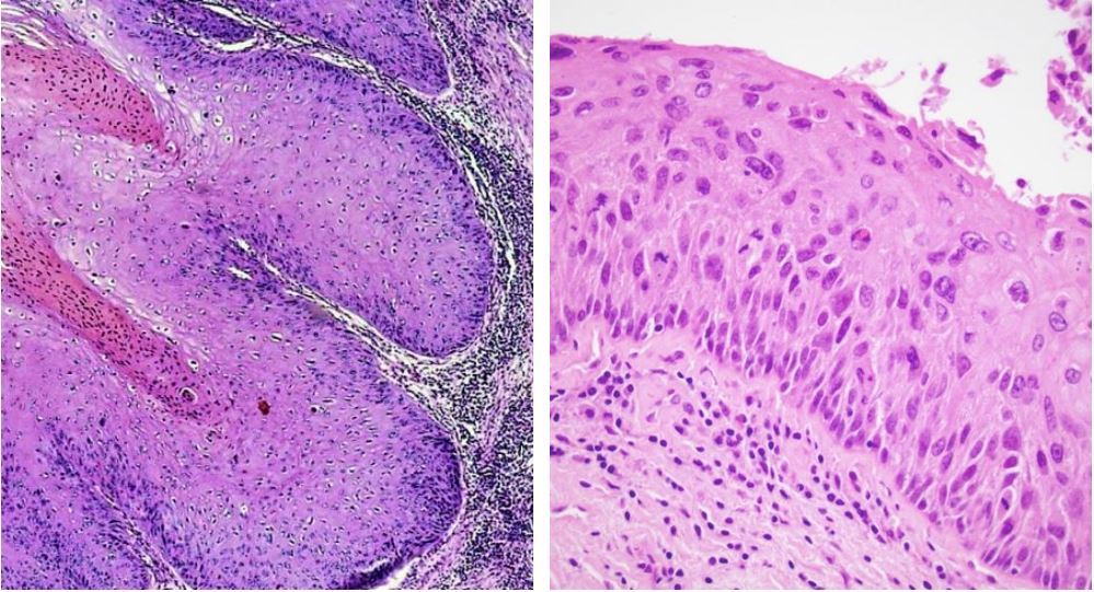
What neoplasms of the penis are classified as squamous cell carcinoma in situ (CIS)?
Bowen’s disease
Erythroplasia of Queryrat
Bowenoid papulosis
Bowen’s Disease (Leukoplakia)
Age:
Parts of the penis involved:
Virus association:
What is the appearance of Erythroplasia of Queyrat and where is it located?
What virus is it associated with?
What is the only squamous cell carcinoma in situ with no predisposition for invasion?
Bowenoid papulosis
What is the appearance of Bowenoid papulosis and where is it located?
What virus is it associated with?
Multiple pigmented reddish brown papules on external genitalia associated with HPV type 16
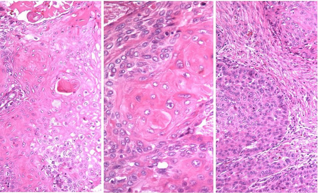
What is the most common cancer of the penis?
Invasive Squamous Cell Carcinoma
Invasive Squamous Cell Carcinoma
Age:
Most common sites:
Virus association:
Risk factors:
Invasive Squamous Cell Carcinoma
Where does the cancer metastasize?
What is important in terms of staging?
Histology?
What is a scrotal varicocele?
An abnormal enlargement of the vein that is in the scrotum draining the testicles
Most common cause of left-sided scrotal enlargement in adult
“Bag of worms” appearance
What are some examples of varicoceles in the scrotum and their possible pathologies? (2)
Blockage of left renal vein (renal cell carcinoma invading renal vein)
Blockage of right spermatic vein produces right-sided varicocele (retroperitoneal fibrosis)
A hydrocele results from fluid secreted into a potential space called the _______ _______
Why is ultrasound used to diagnose hydrocele?
A hydrocele results from fluid secreted into a potential space called the **tunica vaginalis **(TV)
Ultrasound distinguishes fluid in the TV vs. a testicular mass causing scrotal enlargement
How is Invasive Squamous Cell Carcinoma of the penis staged?
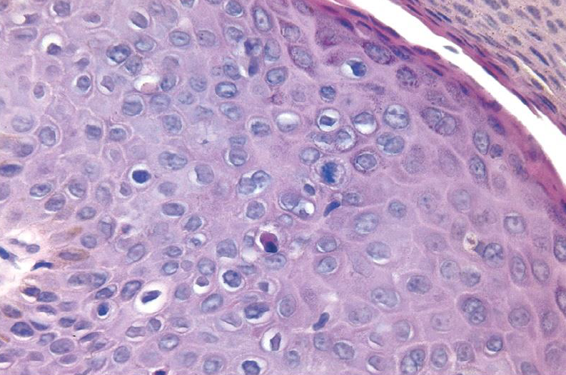
What is the effect of HPV on penile skin?
Clear cytoplasmic halos
Nuclei large & irregular
Increased mitosis
