104. FMRI: APPARENT DIFFUSION COEFFICIENT (ADC) Flashcards

(16 cards)

1
Q
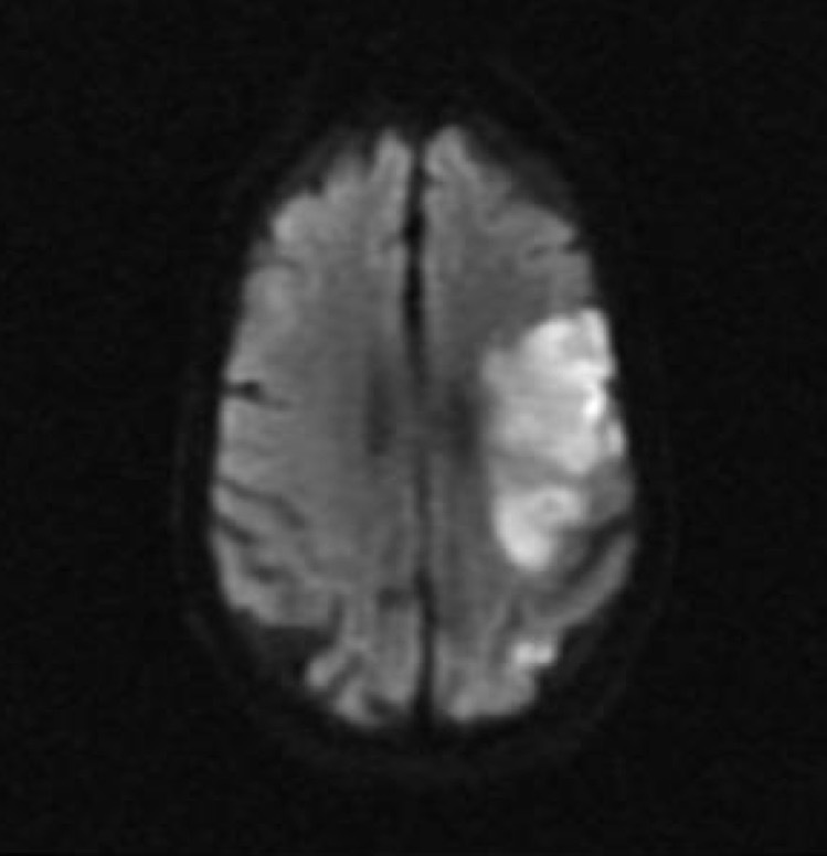
  1. What do the different colours in this Apparent Diffusion Coefficient image represent?
A

DARK REGIONS:
- the water is diffusing slower
- the movement is more restricted
- there are more obstacles present
- the viscosity is increased
- the Apparent Diffusion Coefficient is low
- this is where the stroke will be found

BRIGHT REGIONS:
- the water is diffusing faster
- the movement is less restricted
- there are less obstacles present
- the viscosity is decreased
- the Apparent Diffusion Coefficient is high

NB:
- this is a left Middle Cerebral Artery Stroke

How well did you know this?
1
Not at all
2
3
4
5
Perfectly
2
Q
  1. What is the relation between the intensity of the pixels and the extent of the diffusion?
A
  • they are proportional
  • an increase in one leads to an increase in the other
How well did you know this?
1
Not at all
2
3
4
5
Perfectly
3
Q
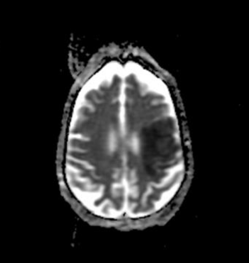
  1. What do the different colours in this Diffusion Weighted image represent?
A

BRIGHT REGIONS:
- there is decreased water diffusion
- the Diffusion Weighted Image signal is high
- this is where the stroke will be found

DARK REGIONS:
- there is increased water diffusion
- the Diffusion Weighted Image signal is low

How well did you know this?
1
Not at all
2
3
4
5
Perfectly
4
Q
  1. What do we use the very strong multidirectional gradients for?
A
  • we use them to Map White Tracts

THIS IS BECAUSE:
- they have a lower Apparent Diffusion Coefficient than
the surrounding Grey Matter

THIS TECHNIQUE IS CALLED:
- Diffusion Tensor Imaging
- DTI

How well did you know this?
1
Not at all
2
3
4
5
Perfectly
5
Q
  1. What kind of structures can we image using Diffusion Tensor Imaging (DTI)?
A
  • any structures that include fibres

EXAMPLE:
- muscles
- skeletal muscles
- left ventricle

How well did you know this?
1
Not at all
2
3
4
5
Perfectly
6
Q
  1. What do the different colours in this image represent?
A

EACH COLOUR:
- represents the different direction that the molecule
(fibre) travels in

BLUE:
- the fibres travel along the Z-Axis
- this is Superior and inferior movement

RED:
- the fibres travel along the X-Axis
- this is transverse movement

GREEN:
- the fibres travel along the y-axis
- they travel in the anterior and posterior direction

How well did you know this?
1
Not at all
2
3
4
5
Perfectly
7
Q
  1. Define: Perfusion.
A
  • this measures the quality of the Vascular Supply to a
    tissue

IT CAN ALSO BE USED:
- to measure tissue activity

How well did you know this?
1
Not at all
2
3
4
5
Perfectly
8
Q
  1. What method does Perfusion make use of?
A
  • it uses a Bolus injection of Gadolinium
  • Gadolinium is a contrast agent that is used in MRI
  • this is done during ultrafast T2* Acquisition
How well did you know this?
1
Not at all
2
3
4
5
Perfectly
9
Q
  1. What does the Gadolinium Contrast Agent do?
A
  • it causes the temporary decreases in the T2*
  • this happens in and around the microvascular regions
  • these are made up of many tiny vessels
  • these regions have a lot of contrast
How well did you know this?
1
Not at all
2
3
4
5
Perfectly
10
Q
  1. What happens after we have obtained Perfusion data?
A

WE CAN DETERMINE:
- the blood volume
- the transit time
- the measurement of perfusion

How well did you know this?
1
Not at all
2
3
4
5
Perfectly
11
Q
  1. What can be seen in this image?
A
  • this is the Perfusion Curve
  • it is called the Time Intensity Curve
How well did you know this?
1
Not at all
2
3
4
5
Perfectly
12
Q
  1. When do we take different Time Intensity Curves?
A
  • we take them during and after the Gadolinium
    injections
  • they are combined together to create a Cerebral Blood
    Volume (CBV) map
How well did you know this?
1
Not at all
2
3
4
5
Perfectly
13
Q
  1. What do we use Perfusion imaging for?
A
  • it is used to evaluate Ischaemic diseases
  • this is when an organ does not get enough Blood
    Supply
  • it is also used to look at Metabolism
How well did you know this?
1
Not at all
2
3
4
5
Perfectly
14
Q
  1. What do the different colour regions in Cerebral Blood Volume Maps indicate?
A

DARK REGIONS:
- show that there is low perfusion
- these are the areas where we will find a stroke

BRIGHT REGIONS:
- show the areas of high perfusion
- this is where we will usually find malignant tumours

How well did you know this?
1
Not at all
2
3
4
5
Perfectly
15
Q
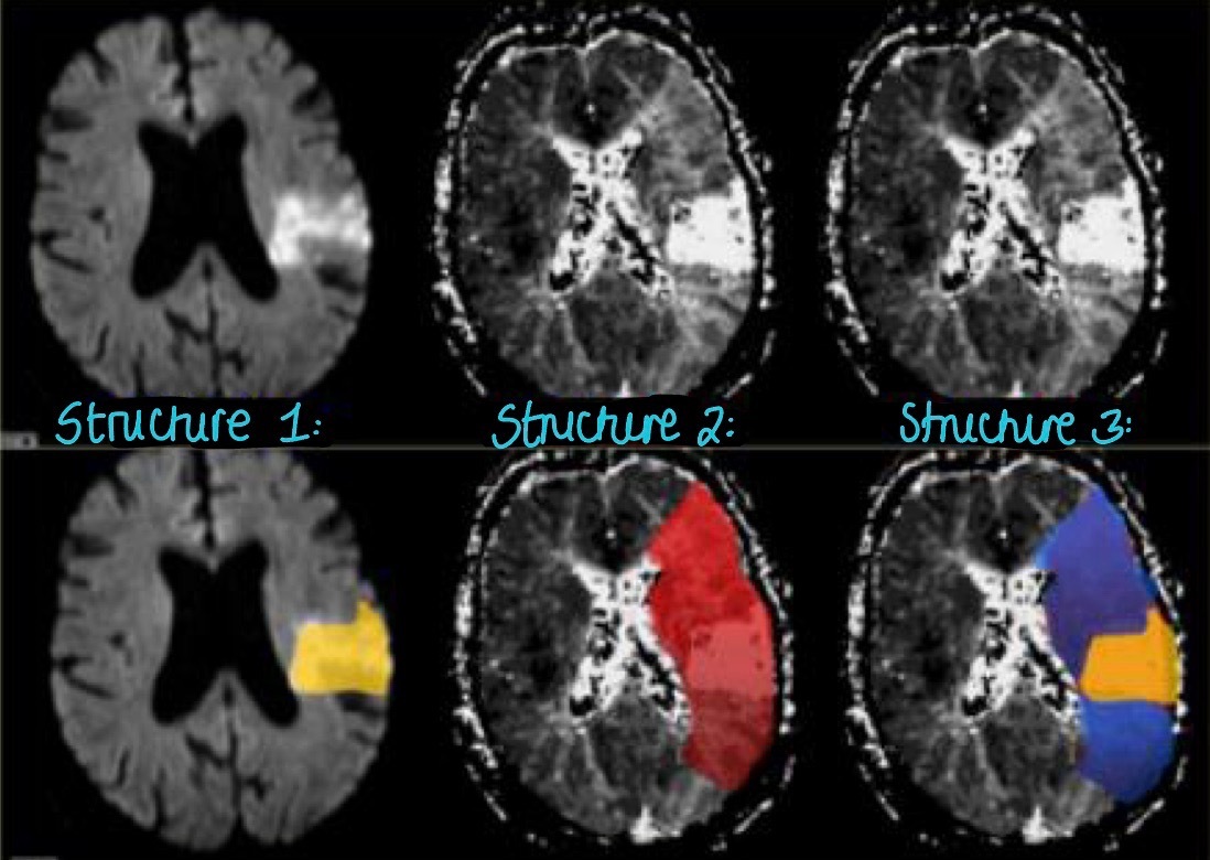
  1. Label this image?
A

STRUCTURE 1:
- Diffusion
- the bright region indicates the area of low diffusion
- this is where we will see a stroke

STRUCTURE 2:
- Perfusion

STRUCTURE 3:
- this is a combination area of perfusion and diffusion
- this is where the stroke is occurring

How well did you know this?
1
Not at all
2
3
4
5
Perfectly
16
Q
  1. Label these images?
A

STRUCTURE 1:
- this is a T2 Weighted image
- it cannot detect the stroke

STRUCTURE 2:
- cannot detect the stroke

STRUCTURE 3:
- this is a Diffusion Weighted Image
- the areas of decreased diffusion are bright
- this is where the stroke is

STRUCTURE 4:
- this is a Perfusion Image
- the areas of decreased diffusion are dark
- this is where the stroke is taking place