Type of tissue

Cuboidal epithelial tissue
Type of tissue

Squamous epithelial tissue
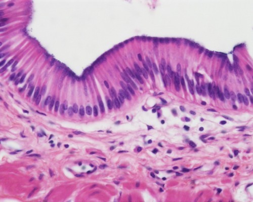
Type of tissue

Columnar epithelial tissue
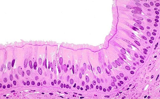
Type of tissue

Ciliated epithelial tissue
Type of tissue

Stratified squamous epithelium
Type of tissue

Smooth muscle tissue
Type of tissue

Cardiac muscle tissue
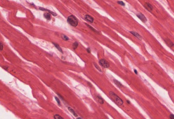
Type of tissue

Striated skeletal muscle
Type of tissue

Hyaline cartilage (connective)
Type of tissue

Areolar connective tissue
Type of tissue

Compact bone tissue
Type of tissue

Spongy bone tissue
Type of tissue

nerve tissue
Types of epithelial tissue
Function of squamous epithelium
Function of ciliated epithelium tissue
Cells that secrete mucus in epithelial tissue
Goblet cells
Types of connective tissue
Structure of areolar connective tissue
Functions of areolar connective tissue
Types of dense connective tissue
Tendons
Ligaments
Structure of tendons
Lots of white, inelastic fibres
Structure of ligament tissue
Lots of yellow, elastic fibres
Structure of cartilage tissue