Aspergillus Flashcards

(12 cards)

1
Q

Características biológicas de Aspergillus

A
  • Hongo filamentoso saprobio (moho multicelular) crece en micelios (conjunto de hifas tabicadas/septadas) y cabezas conidiales
  • Micosis filamentosa sistemática/invasiva más común
How well did you know this?
1
Not at all
2
3
4
5
Perfectly
2
Q

¿Cómo va a presentarse Aspergillus en inmunocompetentes e inmunocomprometidos?

A
  • Inmunocompetentes solo presentan alergia, nmunocomprometidos forma invasiva
How well did you know this?
1
Not at all
2
3
4
5
Perfectly
3
Q

Características del crecimiento de Aspergillus

A
  • Crece en micelios
  • Hifas tabicadas
  • Cabezas conidiales (como dientes de léon)
How well did you know this?
1
Not at all
2
3
4
5
Perfectly
4
Q

Principalmente donde va a estar Aspergillus

A
  • Descomponen la materia vegetal y animal
  • Fresas, jardines, construcciones en demolición
How well did you know this?
1
Not at all
2
3
4
5
Perfectly
5
Q

Cuando Aspergillus crece, forma una especie de “pelitos” ¿que parte de su estructura da esta característica macroscópia ?

A

La gran acumulación de hifas

How well did you know this?
1
Not at all
2
3
4
5
Perfectly
6
Q

Cómo se ve Aspergillus al microscópio

A

Hifas muy muy largas, parece una cabecita de diente de León con un hilo muy largo

How well did you know this?
1
Not at all
2
3
4
5
Perfectly
7
Q

Patogenia de Aspergillus

A
  • Inhalamos 100 - 1000 conidias/día
  • Algunas alcanzan los alveolos
  • Los cilios y macrofagos remueven las conidias de los alveolos
  • Cuando no son removidas, pueden germinar
How well did you know this?
1
Not at all
2
3
4
5
Perfectly
8
Q

Factor de riesgo para la invasión de Aspergillus

A

Neutropenia

How well did you know this?
1
Not at all
2
3
4
5
Perfectly
9
Q

¿A qué se refiere que Aspergillus es angioinvasiva?

A
  • Invade a los vasos
  • Secretan enzimas (elastasas, fosfolipasas, proteasas, catalasas)

los pacientes con quimioterapia tienen pocos neutrófilos

pueden destruir al parénquima pulmonar, produce bastante necrosis

How well did you know this?
1
Not at all
2
3
4
5
Perfectly
10
Q

Manifestaciones clínicas por Aspergillus

A
  • Infección en el pulmón es el más frecuente
  • Produce aspargiliosis (acumulación excesiva de filamentos)
  • Aspergiliosis cerebral en cancer

aspergiloma - Tb

How well did you know this?
1
Not at all
2
3
4
5
Perfectly
11
Q

Diagnóstico y tratamiento para Apergillus

A
  • Sospecha clínica
  • Imagen
  • Cultivo o biopsia en busca de hifas y tabique (azul de lactofenol)
How well did you know this?
1
Not at all
2
3
4
5
Perfectly
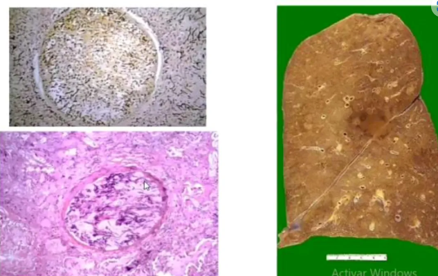
12
Q

¿Qué especie de hongo se observa?

A

Aspergilo (cabezas conidiales “diente de leon” y micelos -hifas septadas-)

How well did you know this?
1
Not at all
2
3
4
5
Perfectly