Au microscope ( à faire) Flashcards

(23 cards)

1
Q
A
How well did you know this?
1
Not at all
2
3
4
5
Perfectly
2
Q
A
How well did you know this?
1
Not at all
2
3
4
5
Perfectly
3
Q
A
How well did you know this?
1
Not at all
2
3
4
5
Perfectly
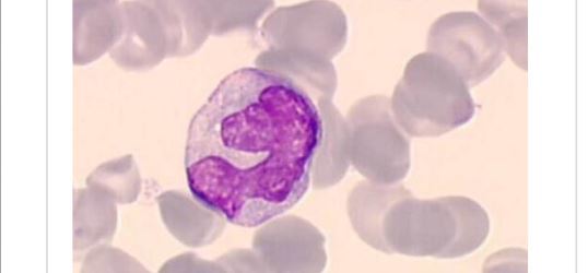
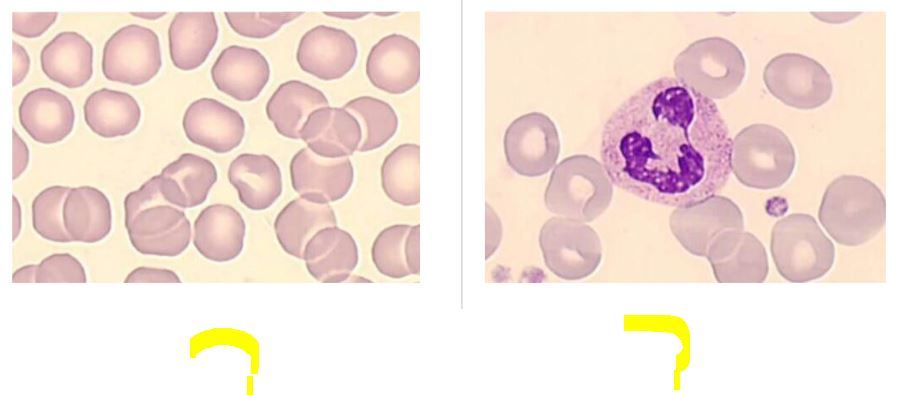
4
Q
A

ENCOCHÉ , MAIS NON POLYLOBÉ!;)

How well did you know this?
1
Not at all
2
3
4
5
Perfectly
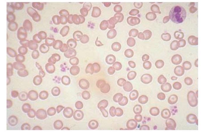
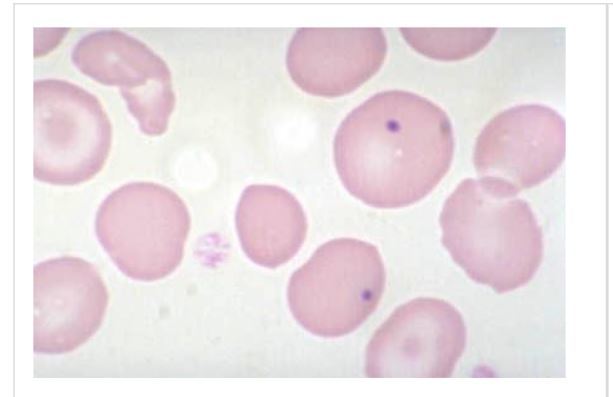
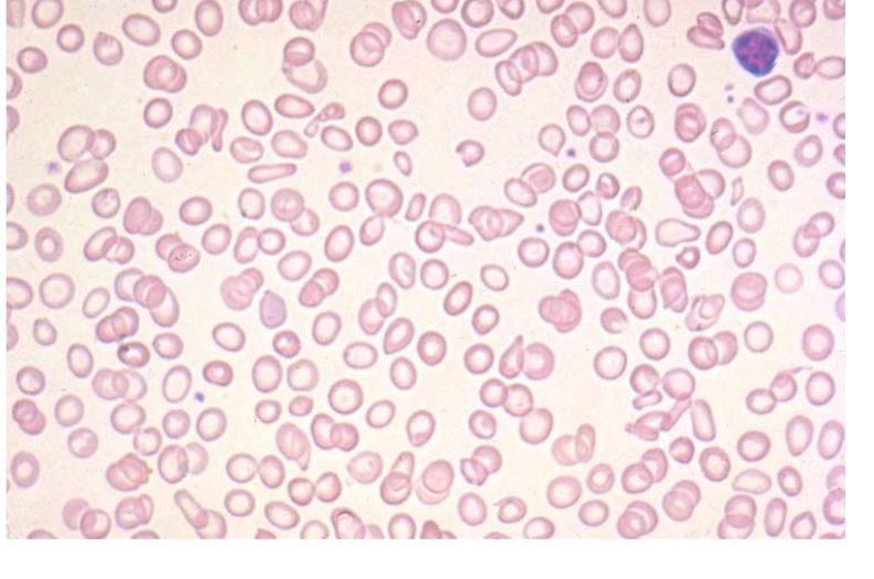
5
Q

dans quelles pathos t’attends tu a avoir des macro-ovalocytes et qu’est ce que tu t’attends à voir aussi

A

anémie MÉGALOBLASTIQUE ( b12 , folates)

et risque d’avoir PMN HYPERSEGMENTÉ!!!

How well did you know this?
1
Not at all
2
3
4
5
Perfectly
6
Q
A
How well did you know this?
1
Not at all
2
3
4
5
Perfectly
7
Q

dans quelle patho est ce que tu retrouverais des dacryocytes

A

–) means cellules en larmme

ca veut dire que envahissement de la moelle ++++

penser à myélofibrose!!

How well did you know this?
1
Not at all
2
3
4
5
Perfectly
8
Q

donne au moins une patho que tu devrais suspecter

A

bah ya envahissement moelle

penser entre autre à MYÉLOFIBROSE

How well did you know this?
1
Not at all
2
3
4
5
Perfectly
9
Q
A

un beau basophile waouh

( noyau masqué quasiment par les grosses granulations)

How well did you know this?
1
Not at all
2
3
4
5
Perfectly
10
Q

à part sphérocytose héréditaire , dans quelle circonstances que tu pourrais avoir sphérocytes

A

ANémie par HÉMOLYSE AUTOIMMUNE!!

How well did you know this?
1
Not at all
2
3
4
5
Perfectly
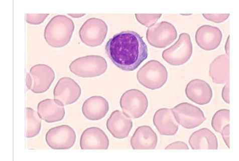
11
Q
A

Noyau prend presque tout la place et cellule bien arrondie

—) PETIT LYMPHOCYTE

How well did you know this?
1
Not at all
2
3
4
5
Perfectly
12
Q
A
How well did you know this?
1
Not at all
2
3
4
5
Perfectly
13
Q
A

je pense que ya microcytose , mais ouin clairement hypochromie pck disque blanc bcp trop grand

How well did you know this?
1
Not at all
2
3
4
5
Perfectly
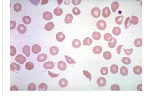
14
Q

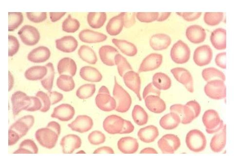
tu vois des schistocytes , ca doit te faire suspecter quoi

A

je sais pas c’est quoi MAHA

faque entk je veux au moins que tu penses à

HÉMOLYSE MÉCANIQUE( genre valve)

How well did you know this?
1
Not at all
2
3
4
5
Perfectly
15
Q
A
How well did you know this?
1
Not at all
2
3
4
5
Perfectly
16
Q

donne 3 circonstances qui peuvent causer des cellules cibles

A

Thalassémie

maladie HÉPATIQUE

ASPLÉNIE

17
Q

donne au moins une patho que tu dois suspecter

A

HÉMOLYSE INTRAVASCULAIRE MÉCANIQUE

18
Q
A

c’est un bel éosinophile

waouh

20
Q

comment se nomme les cellules à droite , et qu’est ce qui peut faire que érythrocyte devienne dememe

A

ÉCHINOCYTES

Si le PH AUGMENTE!!!!

21
Q

c’est un signe de quoi? et comment ca s’appelle

A

corps de howell joly

signe de DYSFONCTION DE LA RATE

22
Q
A

t,es clarement en anémie mégaloblastique