Legg-calve-perthes disease
Four stages of LCPD
TX of LCPD
Osgood’s sclhatter’s disease
radiographic findings during the phases

Treatment of Osgoods sclhatters disease
Kohler’s disease**
Kohlers disease radiographic findings
(right is sclerotic)

treatment of kohlers disease
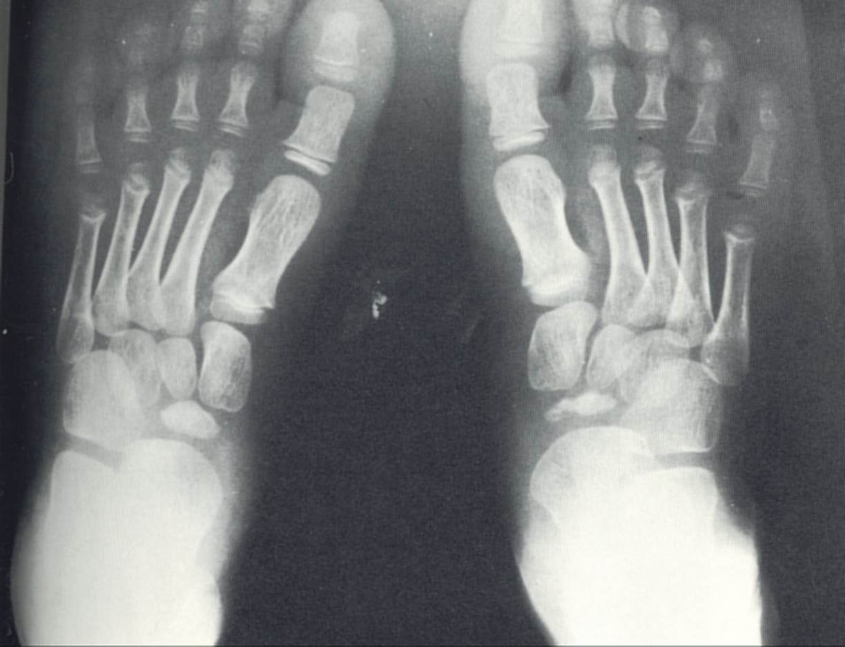
Freibergs infarction
Classifications of freibergs infarction (stages 1-5)

radiographic findings of kohlers disease
treatment of kohlers disease
Sever’s disease
contributing factors for sever’s disorder
treatment of Severs disease
Thiemann’s disorder
osteochondrosis of the palanges (proximal epiphyses)
islen’s disease
osteochondrosis of the styloid process or base of 5th metatarsal
Buschke’s disease
Diaz disease
osteochondrosis of the talus
Treve disease
osteochondrosis of the sesamoids
Osteochondritis dessicans
treatment of osteochondritis dessicans
