Block 31 Week 5 Flashcards

(241 cards)

1
Q

pneumothorax =

A
  • air in the pleural space
How well did you know this?
1
Not at all
2
3
4
5
Perfectly
2
Q

spontanous pneumothorax?

A
  • spontaneous pneumothorax: presence of air in pleural space in absence of trauma or intervention
How well did you know this?
1
Not at all
2
3
4
5
Perfectly
3
Q

managemtn options of a pneumothorax?

A
How well did you know this?
1
Not at all
2
3
4
5
Perfectly
4
Q

primary SP?

A
  • no prev pulm disease
  • some have emphysema on CT
How well did you know this?
1
Not at all
2
3
4
5
Perfectly
5
Q

Secondary spont pneumothorax?

A
  • established chronic lung disease
  • 50 yrs or older w smoking history
How well did you know this?
1
Not at all
2
3
4
5
Perfectly
6
Q

conservative management of

A
  • if no symptoms, and good lungs - primary spont pneumothorax
  • outpatient review every 2-3 days
  • CXR to monitor resolution
How well did you know this?
1
Not at all
2
3
4
5
Perfectly
7
Q

surgical referral criteria for a pneumothorax

A
How well did you know this?
1
Not at all
2
3
4
5
Perfectly
8
Q

spontaneous secondary pneumothorax?

A
  • conservative management but as inpatient
  • CXR to monitor
How well did you know this?
1
Not at all
2
3
4
5
Perfectly
9
Q

needle aspiration ?

A
  • mostly for PSP, outcomes for SSP not great
  • recommended for people with minimal symptoms
How well did you know this?
1
Not at all
2
3
4
5
Perfectly
10
Q

Heimlich valve?

A
  • one way valve
  • plastic tube connected to chest wall, air comes through the tube
  • plastic collapses when breathing in so air can’t come back in
How well did you know this?
1
Not at all
2
3
4
5
Perfectly
11
Q

Ambulatory management of a pneumothorax?

A
  • PSP only
  • can go home w this
  • more freq follow up due to risk of valve problems
How well did you know this?
1
Not at all
2
3
4
5
Perfectly
12
Q

chest drain requires?

A
  • daily inpatient review
  • remove drain when resolved
How well did you know this?
1
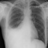
Not at all
2
3
4
5
Perfectly
13
Q

chance of reoccurance of a pneumothorax?

A
  • PSP - 30% chance
  • recurrence after surgical intervention is v low
How well did you know this?
1
Not at all
2
3
4
5
Perfectly
14
Q

what means that thoracic surgery is required at initial presentation?

A
  • tension pneumothorax
  • high risk occupations
How well did you know this?
1
Not at all
2
3
4
5
Perfectly
15
Q

prevention/ pleurodesis of pneumothorax?

A
  • during the first ep if patient sig decompensated i.e. COPD
  • not for young people with normal lungs bc risk of fibrosis
How well did you know this?
1
Not at all
2
3
4
5
Perfectly
16
Q

surgical procedures for a pneumothorax?

A
  • VATS for chemical pleurodesis
  • resection of lung parenchyma to stop air leak
How well did you know this?
1
Not at all
2
3
4
5
Perfectly
17
Q

advice for a pneumothorax?

A
  • smoking cessation
  • can fly 7 days after full resolution
  • diving discourgaged permanently
How well did you know this?
1
Not at all
2
3
4
5
Perfectly
18
Q

Pleural effusion?

A
  • fluid between the pleura
  • cancer, HF, infection
  • TB
  • PE
How well did you know this?
1
Not at all
2
3
4
5
Perfectly
19
Q

bilateral vs unlateral pleural effusion?

A
  • bilateral - usually due to systemic diseases
  • unilateral - usually a local cause
How well did you know this?
1
Not at all
2
3
4
5
Perfectly
20
Q

pleural effusion history?

A
  • asbestos exposure/ occupational histiry
  • medications - tyrosine kinase inhibitirs
How well did you know this?
1
Not at all
2
3
4
5
Perfectly
21
Q

Ix for a pleural effusion?

A
  • XR, US, CT
  • pleural effusion aspiration
  • pleural biopsy
How well did you know this?
1
Not at all
2
3
4
5
Perfectly
22
Q

pleural effusion caused by TB?

A
  • pleural fluid high in adenosine deaminase +/- inteferon gamma
  • high prevalence area
How well did you know this?
1
Not at all
2
3
4
5
Perfectly
23
Q

Pleural biopsy?

A
  • for thickened pleura
  • mesothelioma
How well did you know this?
1
Not at all
2
3
4
5
Perfectly
24
Q

pleural infection - empyema?

A

purulent effusion - requires drainage

How well did you know this?
1
Not at all
2
3
4
5
Perfectly
25
intrapleural TPA?
* for failed drainage * use alteplase * streptokinase should not be used
26
Mesothelioma?
-Mesothelioma is a cancer of the mesothelial layer of the pleural cavity that is strongly associated with asbestos exposure - can present as a painless pleural effusion - latent period of 30-40 yrs
27
normal chest X ray?
28
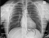
looking at cxr?
* left hilum is higher than the right * right D higher than left
29
pleural effusion CXR?
* fluid doesn't build up like a line it builds up like a crescent * could be from bleeding after a fall and the patient is on an AC
30
asthma involves (3)?
* Reversible airflow limitation * Airway hyperresponsiveness * Inflammation of the bronchi
31
early phase of asthma?
* inhalation of allergens leads to type 1 hypersensitivity reaction in the airways * Sensitisation occurs during the allergen exposure causing the release of IgE antibodies from plasma cells. * IgE bind to high affinity receptors on mast cells. * Subsequent exposure to antigens cause mast cell degranulation and histamine release. 
32
The mediators relased in the early phase of asthma cause...
* These mediators cause smooth muscle contraction and bronchoconstriction whilst inflammation contributes to airway obstruction. 
33
late phase of asthma?
* recruitment of inflammatory cells e.g. T cells * overtime the airways lay down fibrous tissue * causing airway remodelling and leads to fixed airway obstruction - irreversible narrowing
34
Sx of asthma?
* Cough (may be worse at night) * Dyspnoea * Chest tightness
35
signs of asthma?
* Expiratory wheeze - polyphonic * Prolonged expiratory phase * Tachypnoea - harrison's sulcus
36
harrison's sulcus?
a groove at the inferior border of the rib cage that may be seen in children with chronic severe asthma. 
37
signs of resp failure that can occur in a severe asthma attack:
* Tachypnoea * Tachycardia * Inability to complete sentences * Exhaustion * Reduced respiratory effort * Silent chest * Altered conscious level
38
Asthma exacerbation - moderate?
PEFR > or equal to 50-70%
39
Severe asthma exacerbation PEFR?
33-50%
40
life threatening asthma exacerbation PEFR
<33%
41
near fatal asthma exacerbation?
raised PaCO2 or requires mechanical ventilation with raised inflation pressures
42
Asthma exacerbations summary table?
43
Spirometry results for an obstructive lung disease?
* FVC: may be normal but often reduced due to air trapping. * FEV1: reduced. * FEV1/FVC: < 70%.
44
PEFR values in asthma?
* Asthma demonstrates characteristic variability on PEFR diaries
45
asthma FeNO level?
* > 40 supports diagnosis of asthma
46
inhaler types - beta agonists?
* Short-acting beta-agonists (SABA): Salbutamol * Long-acting beta-agonists (LABA): Salmeterol
47
Steroid inhaler for asthma?
Beclomethasone
48
LABA-ICS inhaler in asthma?
Seretide (salmeterol/fluticasone)
49
Stepwise management of asthma?
* 1) ICS - regular preventer * 2) add LABA - salmeterol: can be MART (combined inhaler) * 3) increase LAB or add leukotriene receptor antagonist * 4) referral
50
Asthma chronic management summary?
ICS -> add LABA -> inc LABA or add montelukast
51
Acute asthma management ?
* oxygen * steroids - prednisolone or IV hydrocortisone * ipatropium bromide - for patients with severe or life-threatening asthma not responding to nebulised salbutamol.
52
second line therapies in the management of acute asthma?
* Mg sulfate IV * beta 2 agonist infusion * aminophylline
53
BTS asthma pathway
1) SABA 2) ICS 3) laba
54
chronic bronchitis =
* Chronic bronchitis: chronic productive cough for at least 3 months over two consecutive years. 
55
Emphysema =
* emphysema: abnormal airspace enlargement distal to terminal bronchioles with evidence of alveoli destruction and no obvious fibrosis
56
aetiology of COPD?
* 90% of cases associated with smoking but only 10% of smokers develop it * alpha-1 antitrypsin deficiency - AR condition
57
Pack years =
(number of cigarettes smoked per day, divided by 20, multiplied by the number of years smoked)
58
chronic bronchitis vs asthma?
* characterised by chronic inflammation with neutrophilic infiltration, CD8+ T lymphocytes and macrophages. * This differs from asthma, which has a predominant eosinophil infiltration with CD4+ T lymphocytes.
59
CB leads to (4)?
* Goblet cell hyperplasia * Mucus hypersecretion * Chronic inflammation and fibrosis * Narrowing of small airways
60
bullae formation in COPD?
* permanent enlargement of airspaces distal to the terminal bronchiole * Destruction of the lung parenchyma results in a reduced area for gas exchange and chronic hypoxia. * loss of elastin within alveoli leads to collapse and dilatation and bullae formation - alveoli dilate and may eventually join with neighbouring alveoli forming bullae.
61
Cor pulmonale =
* right ventricular impairment secondary to COPD
62
what happens in cor pulmonale?
* Chronic hypoxia causes vasocontriction of pulmonary arteries, which leads to elevated pulmonary arterial pressure. * The chronic elevation of pulmonary arterial pressure subsequently leads to right heart failure.
63
how does cor pulmonale present?
- raised jugular venous pressure, - cyanosis, - ankle oedema, - parasternal heave - hepatomegaly.
64
COPD symptoms?
* Chronic cough: usually productive * Sputum production * Breathlessness: usually on exertion in early stages * Frequent episodes of 'bronchitis': usually in the winter * Wheeze
65
Sigsn of COPD - respiratory?
* Dyspnoea * Pursed lip breathing: (prevents alveolar collapse by increasing the positive end expiratory pressure) * Wheeze * Coarse crackles
66
signs of copd - cardiac?
* Loss of cardiac dullness: due to hyperexpansion of lungs from emphysema
67
GI sign of COPD?
* Downward displacement of liver: due to hyperexpansion of lungs from emphysema
68
68
Signs of COPD retention?
* Drowsy * Asterixis * Confusion
69
signs of CP?
* Peripheral oedema * Left parasternal heave: caused by right ventricular hypertrophy * Raised JVP * Hepatomegaly
70
Severity of breathlessness =
* MRC dyspnoea scale
71
Symptoms of an acute exacerbation of copd
72
diagnosis of COPD?
* spirometry - FEV1/ FVC <70% * post-bronchodilator ratio of <0.7 consistent with diagnosis of COPD
73
Distinguishing asthma vs COPD?
* As part of spirometry, reversibility testing may be completed that assesses spirometry measurements following inhalation of a bronchodilator (e.g. beta-agonist). * COPD is characterised by limited reversibility post-bronchodilator, which helps differentiate it from asthma. * Reversibility is a hallmark of asthma.
74
Features supportive of COPD (versus asthma) include:
* Smoker or ex-smoker * Symptoms in older adults (> 35 years old) * Chronic productive cough * Persistent/progressive breathlessness * Night time waking with symptoms uncommon * Variability uncommon (diurnal or day-to-day)
75
COPD staging
76
Ix of COPD?
* pulse oximetry * ABG - if hypoxia or hypercapnia suspected * ECG (if cor pulmonale suspected)
77
Bloods for COPD?
* Full blood count: important to assess for anaemia and polycythaemia * Alpha-1 antitrypsin levels
78
CXR for COPD?
* Hyperexpanded * Flattened hemidiaphragms * Hypodense * Saber-sheath trachea
79
CT scan for COPD?
* if alt diagnosis suspected - bronchiectasis, fibrosis * lung cancer suspected * echo if CP suspected
80
Management of COPD - lifestyle?
smoking cessation * NRT * smoking cessation services vaccination * seasonal influeza vaccine and pneumoccal vaccine
81
Pulm rehab in COPD?
* MDT programme * long term lung conditions like COPD * involves exercise training, health education, and breathing techniques * Nutritional education and behavioural techniques are also utilised.
82
Self management plans in COPD?
* helping patients manage their symptoms including how to manage exacerbations * education + providing patients with a rescue pack pf ab and steroids
83
MRAs in COPD?
- prevent activation of muscarinic receptors by ACh * prevents airway smooth muscle contraction and causes bronchodilation.
84
LABA?
salmetrol
85
SAMA =
ipatropium
86
LAMA =
tiotropium
87
ICS =
beclomethasone
88
trimbow inhaler =
formoterol/glycopyrronium/beclometasone LABA-LAMA-ICS
89
stepwise management of COPD?
* 1: SABA or SAMA * 2) LAMA + LABA if no evidence of steroid responsiveness * or LABA + ICS of steroid responsiveness if asthmatic features * 3) triple therapy (LABA + LAMA + ICS)
90
Oral therapies in COPD - theophylline?
* theophylline - some bronchodilator action through inhibition of phosphodiesterase. 
91
Oral therapies in COPD - mucolytics?
* mucolytics - can be used in patients with a chronic productive cough to reduce frequency of cough and sputum production (e.g. carbocisteine).
92
oral therapies in COPD - ab?
* antibiotics - for acute exacerbations. May be used prophylactically e.g. azithromycin
93
surgical intervention for COPD?
* Lung reduction surgery * Bullectomy * Lung transplantation
94
Ix for COPD?
* CXR * ABG * ECG * bloods - FBC, U&Es, CRP * cultures - blood if pyrexial * theophylline levels
95
Managing acute COPD exacerbations involves (4)
- oxygen - bronchodilators - steroids - ab
96
COPD AE - oxygen?
* Venturi mask
97
COPD AE - bronchodilators?
* usually as nebulisers * salbutamol: 2.5mg nebulised * ipatropium (muscarinic antagonist)
98
steroids in COPD AE?
prednisolone 30 mg once daily should be given for 5 days unless there is a significant contraindication
99
Ab in COPD AE?
* typically doxyclcine or co-amoxiclav
100
complications of COPD?
* Respiratory failure * Pneumonia: often recurrent * Pneumothorax: rupture of bullous disease * Polycythaemia or anaemia * Depression
101
Resp symptoms pathway
102
NSCLC types?
* Adenocarcinoma * squamous cell * large cell
103
SCLC?
* undifferentiated * usually in the central airways * 10-20% of lung cancer
104
Which type of LC is rare in non smokers?
SCLC
105
adenocarcinomas?
* Malignant epithelial neoplasm * Gland formation
106
adenocarcinomas are ? tumours
peripheral
107
which type of cancer is the most common in non smokers?
- adeno - they make up 40% of LC overall
108
squamous cell cancer?
* plemorphic squamous cells * Keratin (individual cells or keratin pearls) and intercellular bridges
109
SCC arise in ?
* arise centrally in larger bronchi * often metastasizes to locoregional lymph nodes - paticularly the hilar nodes * usually cavitates
110
initial Ix of LC?
* CXR * spirometry * bloods - BCP and clotting
111
General features of LC?
* tiredness * weight loss * decreased appetite * fever
112
Resp symptoms of LC?
* cough * haemoptysis * breathlessness * wheeze * stridor * chest pain
113
Hypercalcaemia from LC?
non small cell( Squamous)
114
Small cell cancer paraneoplastic syndromes?
- SIADH - ectopic ACTH - eaton lambert
115
neuro neoplastic syndromes?
* Horners- Pancoast tumour * Ptosis, miosis, anhydrosis * fitting - brain mets and low sodium
116
examination findings in LC?
* wheeze * dullness - effusion * signs of SVCO * lymph nodes - neck or axilla
117
LC RF?
* Smoking * Asbestos * Radon Gas * Family History
118
Ix of LC?
* CXR * CT * PET-CT * bronchoscopy * EUS
119
risks of bronchoscopy?
* bleeding * infection * pneumothorax * air embolus
120
EBUS?
* similar to bronchoscopy * under sedation * minimally invasive
121
Risks of EBUS?
* bleeding * infection * pneumothorax
122
mediastinoscopy?
* gold standard * large biopsies * invasive * under general anaesthetic
123
other signs of lung cancer?
* an effusion * deviated trachea * enlarged liver due to mets * cachexia * signs of SVCO
124
Metastatic LC?
* lymphadenopathy * effects of spread to brain, bone, adrenal and liver
125
Mets LC acronym?
Brain Bone Adrenal Liver Lung - other
126
importance of obtaining a histological diagnosis?
* to distinguish primary from secondary cancer * molecular testing to ascerrtain suitability for targeted treatments e.g. TKIs
127
lingula atelectasis
128
pleural effusion from LC
meniscus from fluid line
129
TNM staging - N
130
M staging
131
EGFR Mutation?
* freq of 10-15% in NSCLC * sensitive to small molecule tyrosine kinase inhibitor - TKI - erlotinib, gefitinib
132
pleural effusion =
* imbalance between the formation and removal of pleural fluid
133
transudative pleural effusion ?
* ↑ Hydrostatic pressure * ↓ Colloid osmotic pressure
134
exudative pleural effusion?
* ↑ Pleural permeability.    * ↓ Absorption of pleural fluid by lymphatics
135
what causes transudative pleural effusion?
* congestive cardiac failure * liver cirrhosis * nephrotic syndrome
136
exudate pleural effusion causes?
* infection * PE * neoplastic * TB * asbestos related diseases including mesothelioma
137
malignant pleural effusion?
* metastatic LC * MM * Metastatic (non-lung) cancer - kidney, breast, CRC, oesophagus, pancreas
138
imaging the pleura
* CXR * thoracic US * CT/ PET CT * MRI
139
Diagnostic pleural aspiration ?
* indicated for pleural effusions that have no clear cause or do not resolve with appropriate treatment e.g. diuretics
140
straw coloured pleural effusion?
non specific
141
blood stained aspirated pleural effusion =
malignancy or PE
142
haemorrhagic aspirated pleural effusion =
haemothorax
143
frank pus in the pleural effusion?
empyema
144
pH indicating empyema?
<7.2
145
malignant pleural effusion?
* common causes: bronchogenic carcinoma, mesothelioma, metastatic disease
146
high polymorphs in pleural effusion?
empyema
147
high lymphocytes in pleural effusion?
Lymphoma, TB, RA
148
high oesinophils in pleural effusions?
Haemothorax, Pneumothorax
149
glucose in pleural effusion?
* <3.3mmol in * empyema * RA * SLE * malignancy
150
amylase in pleural effusion?
* pancreatitis * oesophageal perf
151
Adenine deaminase in PE?
* TB
152
malignant pleural effusion management ?
* chest drain and talc pleurodesis * Medical thoracoscopy and talc pleurodesis * Surgical VATS * Indwelling pleural catheter
153
exudative stage of pleural effusions?
* sterile pleural fluid accumulates in pleural space * Pleural fluid originates in lung interstitial spaces and in capillaries of visceral pleura due to increased permeability. * effusions resolve with ab therapy
154
fibropurulent stage of pleural effusions?
* Bacterial invasion of the pleural space occurs → accumulation of neutrophils, bacteria and cellular debris  * Deposition of fibrinà loculations  * Pleural fluid pH <7.2 , glucose levels ↓,
155
organization stage of pleural effusions?
* fibroblasts grow into the exudates from both the visceral and parietal pleural surfaces * They produce an inelastic membrane called pleural peel. * Thick pleural fluid
156
Ix of pleural effusions?
* diagnosis: CXR, thoracic US, CT * Blood cultures, pleural fluid sampling/drainage (chest drain insertion)
157
PE - intrapleural thrombolytic agent?
rtPa and Dnase
158
Spontaneoys pneumothorax
159
pneumothorax =
* air in pleural cavity * Primary spontaneous pneumothorax * Secondary pneumothorax * Iatrogenic pneumothorax
160
safe triangle in a pneumothorax
161
XR of a pneumothorax?
* silhouette sign - normally recognisable tissue boundaries are lost * lobar collapse - the air in the alveolar tissue makes the lungs less dense than the soft tissue structures that lie adjacent
162
cancer clinical nurse specialists?
* see people before, at the time of and after diagnosis * provide continuing support * facilitate communication between the secondary care team (including the multidisciplinary team), the person's GP, the community team and the person with lung cancer * help people access advice and support whenever they need it
163
lung cancer referral criteria?
164
urgent CXR for suspected LC?
165
How many new LC cases a year?
* 50k new cases every year, 35k deaths/ year * most common cause of cancer deaths per year - 21%
166
LC is the ? most common cancer in the UK
3rd
167
proportion of LC cases caused by smoking?
80%
168
promoting quitting tobacco?
* raising public awareness of harm caused by smoking and second hand smoking * provide info on how people who smoke can reduce risk of illness and death by using 1 or more medicinally licensed nicotine containing products * Provide information on using medicinally licensed nicotine-containing products * awarness of local smokeless tobacco sensation
169
excisional biopsy =
When an entire lump or suspicious area is removed
170
incisional biopsy =
or core biopsy samples a portion of the abnormal tissue without attempting to remove the entire lesion or tumor. 
171
FNA?
* provides cellular specimen * freq used for carcinomas
172
core biopsy?
* allow for tumour structural examination * frequently used for soft tissue sarcoma  * 85-95% accuracy in diagnosis
173
incisional biopsies?
* small surgical incision carefully placed to access tumour without contamination of critical structures
174
excisional biopsy?
* small superficial soft tissue masses
175
process of biopsy?
* samples are received in a fixative solution which halts the autolysis process * Processing” is the term used to describe the removal of water from tissues and its * gradual replacement with molten paraffin wax. * tissues embedded in a wax block * cutting sections
176
Stage 1 NSCLC Tx?
* Has not spread to lymph nodes or distal organs * Surgery to remove part or all of the lung * May have chemotherapy, immunotherapy or targeted cancer drugs after
177
Stage 2 NSCLC Tx?
*Some may have neoadjuvant therapy prior to surgery *Surgery to remove part or all of the lung * May have chemotherapy combined with immunotherapy or targeted drug Osimertinib (if tumour is positive for EGFR mutation)
178
drug for EGFR positive LC?
Osimertinib
179
Stage 3 NSCLC Tx?
*Neoadjuvant therapy *Surgery to remove part or all of the lung * Adjuvant treatment
180
stage 4 NSCLC Tx?
* Control cancer as long as possible and help to reduce symptoms
181
LC referral guidelines
182
pulm complications of cocaine toxicity?
* Pulmonary complications of cocaine toxicity include pulmonary edema, pulmonary hemorrhages, pulmonary barotrauma, foreign body granulomas, cocaine related pulmonary infection, asthma
183
184
cannabis use and LC?
* cannabis use increases risk of lung cancer - smoking marijuana leads to 4x the deposition of tar compared to cigarette smoking * lack of research on link between cannabis and lung cancer though
185
stopping smoking - support?
* behavioural support * medically licensed products: * bupropion * NRT * vareniciline * nicotine containing e-cigarettes * telephone quitlines
186
methods of preventing uptake of smoking ?
* national campaigns to prevent uptake in young people under 18 * denormalise smoking - news articles, posters, brochures, digital media * school based interventions - smoking prevention activities * peer led interventions in school
187
side effects of chemo?
* N&V * fatigue * hair loss * peripheral nerve damage * sore mouth and throat
188
side effects of radiotherapy?
* reddening/ darkening of skin * tiredness * breathlessness and cough * difficulty swallowing * chest pain/ discomfort
189
side effects of surgery for LC?
* pneumothorax * pain * DVTs * breathing problems
190
apical lung tumours (Pancoast tumours)?
* typically NSCLC * compression of brachial plexus * produce upper limb paraesthesia or weakness * Horners syndrome - ptosis, miosis, facial anhidrosis
191
Pancoast tumours - compression of (3)
- phrenic nerve - recurrent laryngeal - SVC
192
PT - phrenic nerve compression?
* Compression on the phrenic nerve, leading to paralysis of the ipsilateral hemidiaphragm, can cause further respiratory compromise.
193
PT - reccurent laryngeal nerve compression?
hoarse voice
194
SVCO
* Compression of the superior vena cava (SVC obstruction) can cause facial plethora * prominence of facial and/or upper limbs veins, and respiratory compromise (Pemberton’s sign).
195
PNS - PTH?
- Squamous cell lung cancers can produce parathyroid hormone-related peptide (PTHrP), - which can mimic the function of parathyroid hormone (PTH), leading to clinical featuresof hypercalcaemia.
196
PNS - osteoarthropathy?
Adenocarcinoma can cause hypertrophic osteoarthropathy that can present with clubbing, joint pain, and bone pain.
197
PNS - ADH?
Small cell lung cancers can produce anti-diuretic hormone (ADH) that can lead to syndrome of inappropriate antidiuretic syndrome secretion (SIADH), resulting in hyponatraemia.
198
PNS - cushings?
- SCLC -> ACTH production -> Cushings
199
Lambert-Eaton syndrome?
- Antibodies against the presynaptic calcium channel of the neuromuscular junction can also be produced by small cell lung cancers, - resulting in a Lambert-Eaton syndrome, which can present with proximal muscle weakness.
200
aetiology of LC?
* smoking - 80-90% of cases * asbestos exposure - strongly associated with mesothelioma but also linked to adenocarcinoma of the lung * radon gas - occurs from uranium
201
NSCLC form ?% of LC
80-85%
202
most common form of LC?
Adeno - around 38%
203
which type of cells are affected in adenocarcinomas?
- musus secreting * tends to occur in lung peripheries
204
second most common form of LC?
Squampus cell carcinomas
205
SCC?
* typically occurs in the central parts of the lungs * can present w pneumonia secondary to obstructed bronchus
206
most common cause of SCC?
smoking
207
histopathology of SCC?
* histopathology classicly shows kertain
208
Large cell cancer?
* undifferentiated neoplasms * account for 5% of lung cancers * metastasise early
209
SCC tend to metastasise?
late
210
SCLC nature?
* fast doubling time, aggressive nature and early mets
211
type of cell affected in SCLC?
* SCLC is a cancer of the APUD cells, a neuroendocrine cell found in the lungs. * It occurs almost exclusively in smokers.
212
LC presentation
* Freq asymptomatic * when symptomaic, cough, malaise and weight loss predominate * haemoptysis * features of SVC obstruction or paraneoplastic syndrome
213
What can you get w LC?
* Hypertrophic pulmonary osteoarthropathy (HPOA) * Signs of pleural effusion
214
signs of pleural effusion?
* reduced breath sounds * reduced VF * stony dull percussion
215
SVCO?
* A tumour may cause compression of the superior vena cava. * This causes engorgement of vessels in the neck and face, shortness of breath and a ‘fullness’ of the head.
216
Pancoast tumour ?
* tumour of the pulm apex * may spead to brachial plexus, cervical sympathetic trunk and stellate ganglion, subclavian vein
217
mets from LC?
* Bone: bone pain, raised ALP * Brain: focal and non-focal neurology * Liver: abnormal LFTs * Adrenal glands: though a common site of metastasis, normally asymptomatic
218
hypercalcaemia in LC can be from?
* can be due to bony mets or tumour secretion of Parathyroid hormone-related protein (PTHrP) or Calcitriol
219
Hypercalcaemia mneumonic?
* stones - renal calculi * bones - bone pain * groans - abd pain * thrones - polyuria * psychiatric moans - signs if altered mental status
220
lambert eaton syndrome characterised by?
both proximal and ocular muscle weakness.
221
hypertrophic osteoarthropathy?
* This syndrome is characterised by clubbing and periostitis. * It features a symmetrical, painful arthropathy affecting the distal joints.
222
2 week referral for LC
* unexplained haemoptysis and aged over 40 * Patients with evidence of SVCO or stridor require an urgent referral and emergency admission to hospital for further review.
223
Bloods in LC?
* Deranged liver function tests (LFTs) should prompt suspicion of liver metastasis. * Calcium (measured in the bone profile) can be elevated in patients with malignant hypercalcaemia or bony metastasis. * FBC * U&Es * LFTs * Bone profile
224
Signs of lung cancer on CXR include:
* Focal lesion * Pleural effusion * Widened mediastinum (indicative of enlarged nodes)
225
CT findings in LC?
* Typical findings are a solitary pulmonary nodule with irregular or spiculated (looks like spikes coming out of the surface of the lesion). * It may also show lymph node involvement or invasion.
226
Other scans in LC?
* PET-CT - help w staging * CT/MRI brain - to exclude cerebral mets
227
Bronchoscopy in LC?
* bronchoscopy - It allows for visualisation of the airways and any lesions that may be impinging or invading them. * It also allows for washings/brushings to be taken for cytological analysis
228
Lung function tests in LC?
* allows clinicians to estimate if the patient will have sufficient residual lung capacity following a wedge resection (a wedge of the lung with tumour removed), a lobectomy (an entire lobe is removed) or pneumonectomy (removal of a whole lung). * This is of particular importance in patients with pre-existing lung disease (e.g. emphysema) as they will already have reduced lung function.
229
different staging systems for LC?
* NSCLC - TNM * SCLC - VALSG
230
management of LC?
* surgical resection * VATS - key-hole procedure, requires deflation of the lung * thoracotomy - large incision, open procedure
231
Radiotherapy in LC?
* It can be used with radical intent (i.e. potentially curative) as an alternative to surgery in early-stage NSCLC. * It can also be used as a combination with chemotherapy (that can follow surgery) or alone for both NSCLC and SCLC.
232
Chemotherapy in LC?
* can be used for NSCLC and for SLCLC
233
SACT in LC?
- * Systemic anti-cancer therapy (SACT): these are specific therapies used in non-squamous NSCLC (i.e. adenocarcinoma, large cell undifferentiated) * for patients w certain mutations like EGFR
234
235
EGFR-TK inhibitors?
afatinib, erlotinib and gefitinib.
236
ALK inhibitors?
crizotinib, ceritinib and alectinib.
237
NSCLC Tx?
* Surgical resection (normally lobectomy) is the treatment of choice in those where it is potentially curative (e.g. stage I-II). * Radical radiotherapy can be used where surgery is not suitable * Adjuvant chemotherapy is used in comb w surgery or given as a palliative therapy to improve survival in advanced disease
238
SCLC Tx?
* Surgical resection is only an option in early disease, * Generally, treatment consists of chemotherapy (often cisplatin-based) and/or radiotherapy with the goal of extending survival and reducing symptoms.
239
240