Bone pathology Flashcards

(60 cards)

1
Q

Achondroplasia is caused by a defect in _ gene on chromosome _

A

Achondroplasia is caused by a defect in FGFR3 gene on chromosome 4

How well did you know this?
1
Not at all
2
3
4
5
Perfectly
2
Q

Achondroplasia is caused by a [type] mutation in the fibroblast growth factor receptor, which results in _ chondrocyte proliferation and endochondral ossification

A

Achondroplasia is caused by a gain of function mutation in the fibroblast growth factor receptor, which results in decreased chondrocyte proliferation and endochondral ossification
* Due to the constituative activation of the FGF receptor the chondrocyte proliferation is inhibited and we see decreased longitudinal bone growth

How well did you know this?
1
Not at all
2
3
4
5
Perfectly
3
Q

Achondroplasia is normally [genetic pattern]

A

Achondroplasia is normally sporatic mutation
* Can be autosomal dominant, homozygosity is potentially fatal
* It usually occurs as a sporatic mutation but once a person has it then they pass it down in autosomal dominant fashion

How well did you know this?
1
Not at all
2
3
4
5
Perfectly
4
Q

_ is a known risk factor of achondroplasia

A

Increased paternal age is a known risk factor of achondroplasia

How well did you know this?
1
Not at all
2
3
4
5
Perfectly
5
Q

Achondroplasia will present with _ stature/size and [craniofacial abnormalities]

A

Achondroplasia will present with disproportionately short stature/size and macrocephaly, frontal bossing, flattened nose, prominent brow

How well did you know this?
1
Not at all
2
3
4
5
Perfectly
6
Q

Achondroplasia can cause [HEENT pathology]

A

Achondroplasia can cause recurrent otitis media
* Due to middle ear deformity

How well did you know this?
1
Not at all
2
3
4
5
Perfectly
7
Q

Achondroplasia may be associated with significant msk deformities which require surgery such as _

A

Achondroplasia may be associated with significant msk deformities which require surgery such as scoliosis, spinal stenosis, genu varum
* Mostly offer supportive care (physical therapy)
* Surgery as needed
* Sometimes early growth hormone therapy used

How well did you know this?
1
Not at all
2
3
4
5
Perfectly
8
Q

Degradation of the bone due to primary or secondary hyperparathyroidism is called _

A

Degradation of the bone due to primary or secondary hyperparathyroidism is called osteitis fibrosa cystica

How well did you know this?
1
Not at all
2
3
4
5
Perfectly
9
Q

Adenoma is a cause of [primary/secondary] hyperparathyroidism

A

Adenoma is a cause of primary hyperparathyroidism
* We see high calcium rather than low

How well did you know this?
1
Not at all
2
3
4
5
Perfectly
10
Q

Increased PTH –> _ –> activation of osteoclasts –> formation of cystic bone spaces

A

Increased PTH –> RANKL activation –> activation of osteoclasts –> formation of cystic bone spaces

How well did you know this?
1
Not at all
2
3
4
5
Perfectly
11
Q

“Brown tumors” are cystic bone spaces with _ deposition; they are caused by _

A

“Brown tumors” are cystic bone spaces with hemosiderin deposition; they are caused by hyperparathyroidism
* Aka osteitis fibrosa cystica

How well did you know this?
1
Not at all
2
3
4
5
Perfectly
12
Q

Secondary hyperparathyroidism is caused by _

A

Secondary hyperparathyroidism is caused by CKD

How well did you know this?
1
Not at all
2
3
4
5
Perfectly
13
Q

Primary hyperparathyroidism is either idiopathic, or caused by _ or _

A

Primary hyperparathyroidism is either idiopathic, or caused by parathyroid adenoma or malignancy
* May be paraneoplastic syndrome from carcinoma of the lung, breast, kidney, etc which secrete PTHrp

How well did you know this?
1
Not at all
2
3
4
5
Perfectly
14
Q

Brown tumors will present with [clinical manifestations]

A

Brown tumors will present with bone pain
* Additionally primary hyperparathyroidism will present with hypercalcemia- bones, stones, groans, and psychiatric overtones

How well did you know this?
1
Not at all
2
3
4
5
Perfectly
15
Q

The bone mineral density in osteitis fibrosa cystica will be _ ; x-ray will also reveal subperiosteal thinning, cystic lesions and a [classic skull finding]

A

The bone mineral density in osteitis fibrosa cystica will be decreased ; x-ray will also reveal subperiosteal thinning, cystic lesions and a salt-and-pepper skull

How well did you know this?
1
Not at all
2
3
4
5
Perfectly
16
Q

Serum labs in primary hyperparathyroidism:
Ca2+
PO4-
ALP
PTH

A

Serum labs in primary hyperparathyroidism:
Ca2+ high
PO4- low
ALP high
PTH high

How well did you know this?
1
Not at all
2
3
4
5
Perfectly
17
Q

Serum labs in secondary hyperparathyroidism:
Ca2+
PO4-
ALP
PTH

A

Serum labs in secondary hyperparathyroidism:
Ca2+ Low
PO4- High
ALP High
PTH High

Recall that in CKD there is decreased 1-a-hydroxylase (made by the kidneys) so less calcium can be absorbed in the gut; phos is high because kidneys are not excreting it appropriately

How well did you know this?
1
Not at all
2
3
4
5
Perfectly
18
Q

Brown tumors are treated with _ and _

A

Brown tumors are treated with vitamin D and addressing the underlying cause

How well did you know this?
1
Not at all
2
3
4
5
Perfectly
19
Q

Paget disease of bone is also called _ and it is caused by _

A

Paget disease of bone is also called osteitis deformans and it is caused by increased activity between RANK + RANKL –>
Increased activity of NF-kB –>
Disorganized osteoclast and osteoblast activity
Woven bone formation

How well did you know this?
1
Not at all
2
3
4
5
Perfectly
20
Q

Paget disease of the bone involves [bone pattern]

A

Paget disease of the bone involves woven bone formation

How well did you know this?
1
Not at all
2
3
4
5
Perfectly
21
Q

Name the (4) bone remodeling phases of paget disease

A

Name the (4) bone remodeling phases of paget disease
1. Lytic phase
2. Mixed lytic & blastic phase
3. Sclerotic phase
4. Quiescent stage

How well did you know this?
1
Not at all
2
3
4
5
Perfectly
22
Q

During the _ phase of paget disease the activity of osteoclasts and osteoblasts is down

A

During the quiescent phase of paget disease the activity of osteoclasts and osteoblasts is down

How well did you know this?
1
Not at all
2
3
4
5
Perfectly
23
Q

During the _ phase of paget disease the osteoclast activity > osteoblast leading to bone resorption

A

During the lytic phase of paget disease the osteoclast activity > osteoblast leading to bone resorption

How well did you know this?
1
Not at all
2
3
4
5
Perfectly
24
Q

During the _ phase of paget disease there is increased activity of both osteoclasts and osteoblasts such that they are working equally

A

During the mixed lytic and blastic phase of paget disease there is increased activity of both osteoclasts and osteoblasts such that they are working equally
* The rate of bone formation is increased compared to the lytic phase 1

How well did you know this?
1
Not at all
2
3
4
5
Perfectly
25
During the _ phase of paget disease the activity of the osteoclasts < osteoblasts leading to increased bone formation
During the **sclerotic** phase of paget disease the activity of the osteoclasts < osteoblasts leading to increased bone formation
26
Paget disease is often an asymptomatic condition that affects [population]
Paget disease is often an asymptomatic condition that affects **adults > 55 years old** * *May present as bone pain, enlarging skull size, hearing impairments (compression of the nerve), or pathologic fractures* * Complications include high-output cardiac failure and osteosarcoma
27
Paget disease most commonly affects [bones]
Paget disease most commonly affects **skull, vertebral column, pelvis, long bones**
28
Paget disease will show the following... X-ray: Labs:
Paget disease will show the following... X-ray: **areas of osteolytic lesions and sclerosis** Labs: **normal Ca2+, phosphorus, PTH** *BUT ALP will be elevated*
29
The only elevated lab expected in paget disease is _
The only elevated lab expected in paget disease is **ALP**
30
First line treatment of paget disease is _
First line treatment of paget disease is **bisphosphonate** (alendronate, risedronate, zoledronic acid) * *Alternatively can use calcitonin, vitamin D/calcium*
31
Osteomalacia and rickets are both caused by _
Osteomalacia and rickets are both caused by **vitamin D deficiency** * *Without vitamin D we cannot absorb calcium in the gut* * *Without calcium we can not achieve healthy osteoid mineralization*
32
Rickets will cause [manifestations] in children
Rickets will cause **impaired growth plate mineralization** in children * *Leads to bony deformity like genu varum and kyphosis* * Can also have bone pain, pathologic fractures, myopathy
33
Children with risk factors such as _ are at increased risk of rickets
Children with risk factors such as **breastfeeding, malabsorption of fat soluble vitamins, reduced UV exposure** are at increased risk of rickets
34
X-ray of osteomalacia may reveal [findings]
X-ray of osteomalacia may reveal **pseudofractures (looser zones) or osteopenia**
35
X-ray of rickets may reveal [findings]
X-ray of rickets may reveal **metaphyseal cupping/fraying, widened epiphysis, rachitic rosary, craniotabes**
36
What serum labs are expected with osteomalacia/rickets? Ca2+ PO3- ALP PTH
What serum labs are expected with osteomalacia/rickets? Ca2+ **low** PO3- **low** ALP **high** PTH **high**
37
Diagnosis?
**Rickets**- rachitic rosary (increased cartilage in kids)
38
Treatment of osteomalacia/rickets should include _
Treatment of osteomalacia/rickets should include **vitamin D supplementation, increased Ca2+ intake**
39
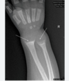
Diagnosis in this child?
**Rickets**- showing cupping and fraying of the metaphyses
40
_ is a genetic mutation of osteoclasts that results in decreased bone resorption and increased thick, poorly formed bone
**Osteopetrosis** is a genetic mutation of osteoclasts that results in decreased bone resorption and increased thick, poorly formed bone
41
Osteopetrosis is caused by a mutation in _ which impairs the osteoclasts ability to create an acidic environment (needed for bone resorption)
Osteopetrosis is caused by a mutation in **carbonic anhydrase II** which impairs the osteoclasts ability to create an acidic environment (needed for bone resorption)
42
Osteopetrosis is also called marble bone disease because of the increased risk of fracture due to _
Osteopetrosis is also called marble bone disease because of the increased risk of fracture due to **thick, poorly formed bone**
43
In addition to recurrent pathologic fractures, osteopetrosis may present with [neuro finding] or [hematologic finding]
In addition to recurrent pathologic fractures, osteopetrosis may present with **cranial nerve palsies** or **pancytopenia** * *Cranial nerve palsies due to hyperostosis of foramina* * *Pancytopenia because of overgrowth of cortical bone crowding the bone marrow space- can lead to extramedullary hematopoiesis*
44
Bone-in-bone appearance (stone bone) or symmetric dense osteosclerosis are common findings on x-ray of _
Bone-in-bone appearance (stone bone) or symmetric dense osteosclerosis are common findings on x-ray of **osteopetrosis**
45
Serum labs of osteopetrosis will show: Ca2+ PO4- ALP PTH
Serum labs of osteopetrosis will show: Ca2+ **normal or low** PO4- **normal** ALP **normal** PTH **normal**
46
Sometimes osteopetrosis may require _ for treatment; other times _ may be sufficient
Sometimes osteopetrosis may require **bone marrow transplant** for treatment; other times **high dose calcitriol** may be sufficient * *Calcitriol is activated vitamin D which may stimulate dormant osteoclasts*
47
Osteoporosis occurs when the activity of osteoclasts > osteoblasts leading to bone resorption and a loss of _ mass
Osteoporosis occurs when the activity of osteoclasts > osteoblasts leading to bone resorption and a loss of **cortical and trabecular bone** mass
48
Type I osteoporosis is caused by _
Type I osteoporosis is caused by **low estrogen (postmenopausal osteoporosis)**
49
Type II osteoporosis is caused by _
Type II osteoporosis is caused by **age-related osteoblast decline (senile osteoporosis)** * *Our osteoblasts decline as we age*
50
Name some risk factors for osteoporosis
Name some risk factors for osteoporosis: * Old age * Female sex * Smoking * Alcohol * Inactivity * Poor nutrition or malabsorption (vitamin D, calcium)
51
Secondary causes of osteoporosis include:
Secondary causes of osteoporosis include: * Corticosteroids * Hyperparathyroidism * Renal disease * Proton pump inhibitors (decrease Ca2+ and Mg2+)
52
The most common fragility fractures that result from osteoporosis include _ , _ , _
The most common fragility fractures that result from osteoporosis include **vertebral fractures** , **femoral neck** , **distal radius**
53
DEXA scan with T-score _ is diagnostic for osteoporosis
DEXA scan with **T-score < or equal -2.5** is diagnostic for osteoporosis
54
T-score -1 to 2.4 SDs on DEXA is diagnostic for _
T-score -1 to 2.4 SDs on DEXA is diagnostic for **osteopenia**
55
Pseudofractures or looser zones are commonly associated with _
Pseudofractures or looser zones are commonly associated with **osteomalacia**
56
First line pharmacologic therapy for osteoporosis is _
First line pharmacologic therapy for osteoporosis is **bisphosphonates**
57
_ is a monoclonal antibody against RANKL that can be used for osteoporosis
**Denosumab** is a monoclonal antibody against RANKL that can be used for osteoporosis
58
_ is a SERM drug that can be used for osteoporosis treatment
**Raloxifene** is a SERM drug that can be used for osteoporosis treatment
59
Adverse effects of bisphosphonates include _ , _ , and _
Adverse effects of bisphosphonates include **jaw osteonecrosis** , **esophagitis** , and **hypocalcemia**
60
Diagnosis?
Erlenmyer flask- osteopetrosis