ch4 Flashcards

(131 cards)

1
Q

Charactersitics of epithelial tissue

A

cellularity (composed of all cells with little extracellular matrix)
polarity (apical surface and basal surface, lateral surface w intercellular junctions.)
attachment to basement membrane (in the basal surface the epithelial layer is bound to basement membrane)
avascularity (lack of tissues and blood vessels)
innervation (detect changes in enviro)
high regen capacity (apical surface damaged more frequently, so they replace themselves quick through mitotic divison of deep epithelial cells(stem cells) near basement membran)

How well did you know this?
1
Not at all
2
3
4
5
Perfectly
2
Q

how do epithelial cells obtain nutrients

A

from apical surface or diffusion on basal surface from connective tissue

How well did you know this?
1
Not at all
2
3
4
5
Perfectly
3
Q

what can be on the apical surface

A

cilia or microvilli

How well did you know this?
1
Not at all
2
3
4
5
Perfectly
4
Q

what is attached to the basal surface

A

epithelium in basal surface attached to a basement membrane which is part of both the epithelium and connective tissue underneath

How well did you know this?
1
Not at all
2
3
4
5
Perfectly
5
Q

functions of epithelial tissue

A

physical protection
selective permability
secretion
sensation

How well did you know this?
1
Not at all
2
3
4
5
Perfectly
6
Q

what do epithelial tissues protect against

A

dehydration, abrasion, and phyisical chemical or biological destruction

How well did you know this?
1
Not at all
2
3
4
5
Perfectly
7
Q

what are exocrine glands

A

epithelial cells specialized to produce secretions. can either be scattered or clumped to form a gland

How well did you know this?
1
Not at all
2
3
4
5
Perfectly
8
Q

neuroepithelium

A

a specialized epithelium hat some organs contain that house specific cells that a responsble for senses like taste, smell, vision, hearing, and equilibrium

How well did you know this?
1
Not at all
2
3
4
5
Perfectly
9
Q

why dont epithelial cells contain blood vessels?

A

to prevent bleeding bc this cell is frequently injured, and bc its protective function would be compromised

How well did you know this?
1
Not at all
2
3
4
5
Perfectly
10
Q

3 layers of basemement membrane and what do they contain

A

lamina lucida, lamina densa( both of these have protein and collagen) and reticular lamina (has protein and carbs)

How well did you know this?
1
Not at all
2
3
4
5
Perfectly
11
Q

functions of the basement membrane

A

1 physical support for epithelium
2 anchors epithelium to connective tissue
3 barrier to reg movement of large molecules btwn epi and underlying tissue

How well did you know this?
1
Not at all
2
3
4
5
Perfectly
12
Q

intercellular junctions

A

speciliazed connections in plasma membranes of the lateral surfaces of eipthelial cells that bind them together

How well did you know this?
1
Not at all
2
3
4
5
Perfectly
13
Q

types of intercellular junctions

A

tight, adhering, desmosomes, and gap junctions

How well did you know this?
1
Not at all
2
3
4
5
Perfectly
14
Q

tight junctions

A

encircle cells near their surface and completely attach each cell to its neighbor. very tightly sealed, forcing all materials to move through the cells instead of between them. allows them to control anything that enters the body

How well did you know this?
1
Not at all
2
3
4
5
Perfectly
15
Q

adhering junctions

A

located deep to tight junctions. microfillaments extend from cytoplasm into plasma membrane that completely circles the cell. they have a bit more space between them allowing things that have already passed through the tight junctions on the surface to pass between the cells instead of thru on their way to the basement membrane.

How well did you know this?
1
Not at all
2
3
4
5
Perfectly
16
Q

desmosome

A

like a button between epithelial cells. each cell contributes half of the complete desmosome. they dont cover the whole cel and only attach to neighboring cells at potential stress points

How well did you know this?
1
Not at all
2
3
4
5
Perfectly
17
Q

gap junctions

A

formed across gap btwn neighboring cells. bridged by connexons. they provide passageways for small molecules into neighboring cells, allowing for ions, glucose, and amino acids to pas thru. also in muscle tissue to help with contractions.

How well did you know this?
1
Not at all
2
3
4
5
Perfectly
18
Q

what intercellular junction provides resistance to mechanical stress at a single point

A

desmosomes

How well did you know this?
1
Not at all
2
3
4
5
Perfectly
19
Q

hemidesmosomes

A

some basal cels have half demisomes that anchor them to the basement membrane

How well did you know this?
1
Not at all
2
3
4
5
Perfectly
20
Q

simple epithelium and wher eis it found

A

one cell layer so all cells touch basement membrane. found where stress is minimal and diffusion/filtration/absorption/secretion is the main function (air sace, intestines, blood vessels)

How well did you know this?
1
Not at all
2
3
4
5
Perfectly
21
Q

stratified epithelium and whre is it found

A

2 or more layers of epithelial cells. only deep cells touch basement. multiple layesr make it strong so it is found in areas subjected to more stress (skin, esophagus, vagina) cells in basal layer continually regen as the apical cells are lost from damage

How well did you know this?
1
Not at all
2
3
4
5
Perfectly
22
Q

pseudostratified epithelium

A

appears layered bc nucleui are at dif levels but all of the cells are actually attached to basement membrane. some cells dont reach apical surface. (nasal cavity, respiratory passageways)

How well did you know this?
1
Not at all
2
3
4
5
Perfectly
23
Q

squamous cells

A

flat, wide, irregular shaped. nucleus looks like flat disc, cells look like irregular floor tiles.

How well did you know this?
1
Not at all
2
3
4
5
Perfectly
24
Q

cuboidal cell shape

A

as tall as they are wide, not perfect cubes bc rounded edges. nucleus spherical and in center of cell.

How well did you know this?
1
Not at all
2
3
4
5
Perfectly
25
columnar shaped cells
slender, tall. look like hexagonal columns. nucleus oval and sits lenthwise in basal region.
26
transitional shaped cells
can change shape depending on how stretched epithelium becomes. (bladder, etc) polyhedral when cell is relaxed, looks squamous when stretched.
27
types of simple epithelium
simple squamous, simple cuboidal, simple columnar, pseudostratified columnar
28
types of stratified epithelium
transitional, stratified columnar, stratified cuboidal, stratified squamous(keratinized and nonkeratinized)
29
simple squamous epithelium
STRUCTURE:single layer of thin flat cells like floor tiles, nucleus bulges at center of each cell FUNCTION: rapid diffusion and filtration, some secretion in serous membranes LOCATION: amnion, inner later of membran around embry, air sacs, lining of heart, blood vessels, serous membrans of body cavities
30
simple cuboidal epithelium
STRUCTURE:single layer tall and wide ells, spherical, central nucleus FUNCTION:absorption and secretion LOCATION:kidney tubules, thyroud follicles, ducst and secretory regions of most glands, surface of ovaries,
31
NONCILIATED SIMPLE COLUMNAR EPITHELIUM
STRUCTURE:single layer of tall narow cells, oval nuc lengthwise at basal, apical reg has macrovili, can contain goblet cells FUNCTION:absorbtion and secretion, secretion of mucin LOCATION:lining of digestive tract, lining of stomach does not contain goblet cells
32
ciliated simple columnar epithelium
STRUCTURE: same as nonciliated but without microvilli. FUNCTION: secretion of mucin and movement along apical surface with the cilia. oocyte movement thru uterine tube. LOCATION: lining of uterine tubes and larger bronchioles of resp tract
33
pseudostratified columnar epithelium
STRUCTURE:single layer. varying heights that look multilayered. all cells connect basement membrane but not all to apical. ciliated form has goblet cells and cilia, nonciliated form does not. FUNCTION: protection, ciliated forms secrete mucin and movement LOCATION: ciliated lines resp tract like nasal, pharynx, larynx, trachea, bronchi. nonciliated isRARE, lines epididymus and male urethra.
34
endothelium
simple squamous epithelium that lines lumen of blood, lymphatic vessels, and heart
35
mesothelium
simple squamous epithelium of the serous membrane that lines internal walls of pericardial, pleural, and peritoneal cavities as well as external surfaces of organs withtin those cavities
36
brush border
what microvili appear as when viewd with light microscopy. lookslike a fuzzy structure
37
mucin
a glycoprotein secreted by mucin that when hydrated forms mucus.
38
keratinized vs nonkeratinized stratified squamous epithelium
STRUCTURE:multiple layers of cells, basal cells cuboidal/polyhedral, apical cells squamous. keratinized-more superficials cells dead and filled with keratin nonkeratinized-superficial cells are alive and kept moist FUNCTION:protection of underlying tissue LOCATION: keratinized- epidermis of skin nonkeratinized-lining of vagina, oral cavity, pharynx, espohagus, and anus
39
stratified cuboidal epithelium
STRUCTURE:2+ layers, cells are apical surface cuboidal FUNCTION: protection and secretion LOCATION: large ducts in exocrine glands and some parts of male urethra
40
stratified columnar epithelium
STRUCTURE: 2+ layers of cells, cells at apical surface columnar FUNCTION: protection and secretion LOCATION: rare, found in regions of male urethra and large ducts of exocrine glands
41
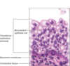
transitional epithelium
STRUCTURE: appearance varies depending on whether stretched or relzxed. some cels may be binucleated FUNCTION: distension and relaxtation to accomodate urin volume changes LOCATION: lining of bladder, ureters, and urethra
42
glands
individual or multicellular, composed of mostly epithelial tissue. secrete substances for use in body or for elimination from body (mucin, electolytes, hormones, enzyms, waste)
43
endocrine glands
lack ducts and secrete direct to blood and intersitital fluid. secrete hormones that are chem messenges to influence activites in other parts of bvody
44
exocrine glands
maintain contact with epithelial surface through a duct. secretes onto skin or epithelial surfaces lining passageways (Sweat, milk, enzymes)
45
connective tissue
most diverse and widely used version of tissue. supports, protects, and binds organs. glue that holds body structure together
46
what do all connective tissues share
cells, protein fibers, and ground substance
47
how are connective tissue cells and epithelial cells different
connective tissue cells are scattered, whereas some epi cells are clumped together
48
three types of protein fibers and what they signify ab the funciton of connective tissues
collagen fibers (strong and strech resistant) elastic fibers (flexible and reslient) reticular fibers (for interwoven framework)
49
ground substance, what is it and what types are there
nonlibving material produced by connective tissue cells. made of protein and carb molecules and some water. can be viscous (blood), semisolid (cartilage), or solid (bone).
50
extracellular matrix
formed by ground substance and protein fibers. most connective tissue is composed majority of this with smaller amount of cells.
51
functions of connective tissue
phys protection, support and structural framework, binding of structure, storage, transport, immune protection
52
how does connective tissue provide physical protection
bones protect organs
53
how does connective tissue provide support and. framwork
bones provide framwork and support soft tissues. cartilage supports body structures like trachea, ears. connectiv tusse sheets form capsules to support oragns like spleen and kidney
54
how does connective tissue bind to structure
ligaments bind bone to bone, tendons bind muscle to bond, connective tissue binds skin to muscle and bone
55
what does connective tissue store
fat, bone stores calcium and phosphorus
56
how does connective tissue suport imun protection
some type of tissue contain white. blood cells. extracelluluar matrix is viscuous and interferes w movement of disease cuasing organisms.
57
3 categories of connective tissue
connective tissue proper, supporting connective tissue, and fluid connective tissue
58
types of connective tissue proper and what do they contain
loose connective tissue (less fibers, more ground substance) -areolar, adipose, reticular dense connective tissue (more fibers, less gorund sub) -regular, irregular, elastic
59
types of supporting connective tissue and what do they contain
cartilage (semisolid matrix) -hyaline, fibrocartilage, elastic bone (solid matrix) -compact, spongy
60
types of fluid connectiv tissue
blood and lymph
61
connective tissue proper
these exhibit a variable mix of cell types and and protein fibers suspended in ground substance
62
2 classes of cells that form connective tissue proper
resident -stationary cells contained in conn tissue. support and repair extracellularmatrix wandering - move thru con tissue, used for immue protection and repair of damaged matrix
63
types of resident cells
fibroblasts, adipocytes, fixed macrophages, mesenchymal cells
64
fibroblasts
abundant, large, flat, tapered ends. produce fibers and ground substance in the extracellular matrix
65
adipocytes
fat, large lipid droplet. cell components pushed to one side store lipid reserves
66
fixed macrophages
large, derived from monocytes in blood. reside in matrix after leaving blood phagoctize foreign material
67
mesenchymal cells
stellate or spindleshaped embryonic stem cells divide when injured to produce new conn tissue
68
types of wandering cells
mast cells, plasma cells, free macrophages, other leukocytes
69
mast cells
small w granule filled cytoplasm release histamine and heparin to create inflamation
70
plasma cells
small, distinct nucleus, derived from activated b-lymphocytes form antibodies that bind to foreign substances like bacteria or viruses
71
free macrophages
mobile phagocytic cells made from monocytes of blood phagocytize foreign material
72
other leukocytes
white blood cells that enter conn tissue attack foreign materials or directly combat bactera
73
what are most wandering cells of the conective tissue proper a type of
leukocytes
74
protein fibers of conn tissue proper
collagen fibers, elastic fibers, reticular fibers.
75
areolar connective tissue
type of loose conn tiss STRUCTURE: fibroblasts, less amounts of collagen and elastic fiber, viscous ground substance FUNCTION: packs around and binds organs LOCATION:nerves, vessels, subcutaneous layer
76
adipose connective tissue
type of loose conn tiss STRUCTURE: adipoctyes FUNCTION: protects, stores fat, insulates LOCATION: subcutaneous layer, suround kidney and someother organs
77
reticular connective tissue
type of loose conn tiss STRUCTURE: meshwork of reticular fibers FUNCTION:forms stroma of lymphatic organs LOCATION:stroma of spleen, liver, lymph nodes ,and bone marrow
78
dense regular connective tissue
STRUCTURE: densely packed collagen fibers parallel to direction of stress FUNCTION: strength and flexibility in a single direction LOCATION:tendons and ligaments
79
dense irregular connective tissue
STRUCTURE:collagen fibers interwoven, irregularly clumped and project in all directions FUNCTION: tensile strength in all directions LOCATION: dermis of skill, capsules of organs
80
elastic connective tissue
STRUCTURE: elastic and collagen fibers arranged irregularly FUNCTION: framwork and supports organs LOCATION: walls of large arteries
81
cartilage
has firm, gell like extracellular matrix made of protein and gorund substance. more strong and resilient(due to collagen) that all types other than bone, and more flexible than bone(due to elastic fibers).
82
chondrocytes
mature cartilage cells. produce chemical that precvents blood vessel formation in extracellular matrix. exchange nutrients and waste with blood vessels OUTSIDE of cartilage through diffusion
83
lacunae
small spaces within extracellular matrix
84
perichondrium and its 2 layers
covers cartilage. outer, fibrous region of dense irreg conn tissue inner, cellular layer (contains stem cells for growth of cartilage)
85
3 types of cartilage
hyaline cartilage , fibrocartilage, elastic cartilage
86
hyaline cartilage
STRUCTURE: glassy matrix, lacunae house chondrocytes, covered by perichondrium FUNCTION: smooth surfaces for joint movement, model for bone growth, support soft tissue LOCATION: articular ends of long cones, fetal skeleton, costal cartialage, larynx, trachea, nose
87
fibrocartilage
STRUCTURE:visible, parallel collagen fibers, lacunae house chondrocytes, no perichondrium FUNCTION: resists compression and absorbs shocks in joints LOCATION: intervertebral discs, pubic symphysis, menisci of knee joints
88
elastic cartilage
STRUCTURE: abundant elastic fibers that form web mesh around lacunea, perichondrium present FUNCTION: maintain structure and shape but allow flexibility LOCATION: eternal ear, epiglottis of larynx
89
bone connective tissue
makes up mass of most body structures called bones. more solid that cart and provides more support.
90
what is bone made of
1/3 organic components(collagen, protein-carb molecules) flexibility and tensile strenght 2/3 inorganic (calcium salts) provide compressional strength
91
periosteum
dense irregular conn tissue covering bone surfaces
92
osteons and what travels thru them
cylindrical structures that form compact bone. run parallel to shafts of bone and contain lamalle that circle and central canal blood vessels and nerves
93
lamallae
layer of bone connective tissue in teh form of a ring
94
osteocytes
bone cells housed by lacunae between neighboring lamellae. communicate with one another and the blood vessels in the central canal through canaluculi in order to excahnge materials with blood vessels
95
canaluculi
minute passageways in the matrix that osteocytes use to communicate with blood vessels
96
compact bone vs spongy bone
STRUCTURE: -compact: calcified matrix arranged in osteons -spongy: lacks organization of compact, contains microscopic spaces, arranged in meshwork pattern FUNCTION: support soft structures, protect vital organs, levers for movement, store calcium and phos. -spongy bone only: cite of hematopeoiesis LOCATION:bones of the body
97
hematopoietic cells
form reticular connective tissue responsible for producing blood cells. contained in spongy bone
98
blood
STRUCTURE: contains erythrocytes, leukocytes, platelets. soluble protein fibers and watery ground substance form plasma FUNCTION: -erythrocytes xport oxygen and CO2 -leukocytes control immune response -plasma contains clotting elements and transports nutrients/waste/hormones -platelets also help with clotting LOCATION: within blood vessels and heart -leukocytes located in lymphatic organs to migrate to inflamed tissues
99
erythrocytes
red blood cells that xport oxygen and CO2 btwn lungs and tissues
100
platelets
involved in vlood clotting
101
plasma
xports nutrients and waste and hormones through body
102
lymph
derived from plasma and is returned to blood. has no elements.
103
mucous membrane
lines. body passageways that can open to the environment. digestive, respiratory, etc. composed of conn tiss call lamina propria and epithelium.
104
cutaneous membrane
largest body membrane (aka, skin) made of keratinized squamous epithelium (called epidermis) and a layer of connective tissue called the dermis.
105
synovial membrane
lines some joints, made of vascularized areolar, fibrous, or adipose tissue under a superficial cellular lining.
106
how are tissues formed
the germ layer
107
extracellular matrix of this tissue varies from liquid to solid
connective
108
most glands are composed of
epithelial tissue
109
is epithelial tissue innervated?
yes, richly so
110
what would the study of blood be in regards to types of anatomy
histology
111
what type of tissue is for storage and transport
connective
112
how many human tissue types are there (primarily)
4, connective tissue, epithelial tissue, muscle tissue, and nervous tissue
113
locations of epithelial tissues
covers body surfaces, lines organs, covers organs, lines body cavities NOT attached to bone
114
are epithelial tissues boudn close together
no
115
do epthelial tissues consist mostly of extracellular matrix?
no
116
does a large amount of extracellular matrix separate epithelial cells?
yes
117
are epithelial tissues composed almost entirely of cells?
yes
118
what surfaces of epithelial cells contain intercellular junctions
lateral
119
which of the 4 tissue types have little extracellular matrix
epithelial, nervous, and muscle
120
what do glands secrete
121
which tissues have a lot of extracellular matrix and which dont out of the 4 types
connective has a lot, muscle, nervous, and epi have lil
122
which tissue type has cellular matrix that can be solid or liquid
connective
123
what categories are used to classify epithelia
cell shape, cells at apical surface
124
endothelum
simple, squamous cells that line blood and lymphatic vessels
125
what does endothelium line
it lines the heart
126
what type of cells does connective tissue proper contain
fibroblasts
127
what type of cells does fat tissue contain
adipocytes
128
what type of tissue does cartilage contain
chondrocytes
129
what type of tissue does bone contain
osteocytes
130
what do all connective tissues share
ground substance, cells, protein fibers
131
fixed macrophages
large cells that phagocytize damaged cells and pathogens