Pt Reported Outcomes:
Lower Extremity Functional Scale
LEFS
Pt Reported Outcomes
Western Ontario and MacMaster Universities Osteoarthritis Index
WOMAC
Pt Reported Outcomes
Hip Injury and OA Scale
HOOS
Pt Reported Outcomes:
Hip Outcome Score
HOS
Pt Reported Outcomes
Harris Hip Function Scale
Minimal ROM req’s for Basic Function:
Gait, Sitting, Bed mobility, stairs
Problem Solve:
Unloading of Hip using ADs
Pathomechanics of Hip Jt Injury
Motion Deficiency
What develops?
Pathomechs of Hip Jt Injury
Excessive and Uncontrolled Motion
What develops?
Pathomechanics of Hip Jt Injury
Osseous Overloads
What develops?
MANY roads lead to…..
OA
Explain OA….

Hip Fx and Rule of Thirds
1/3 Recover
1/3 Recover BUT reduced mobility
1/3 Die
Hip Fx is one of leading causes of death in older adults.
Why?
Hip Fxs– Prox. Femur
Risk Factors for Falls in Elderly:
Hip Fxs – Prox. Femur
Hip Hemiarthroplasty (1/2)
Indications:
Hip Fx’s – Prox. Femur
Hip Hemiarthroplasty
uni vs bipolar, Sx approach, Rehab
Hip Fx’s – Prox Femur
ORIF
Indications???
Hip Fxs—Prox Femur
ORIF
Traction procedure

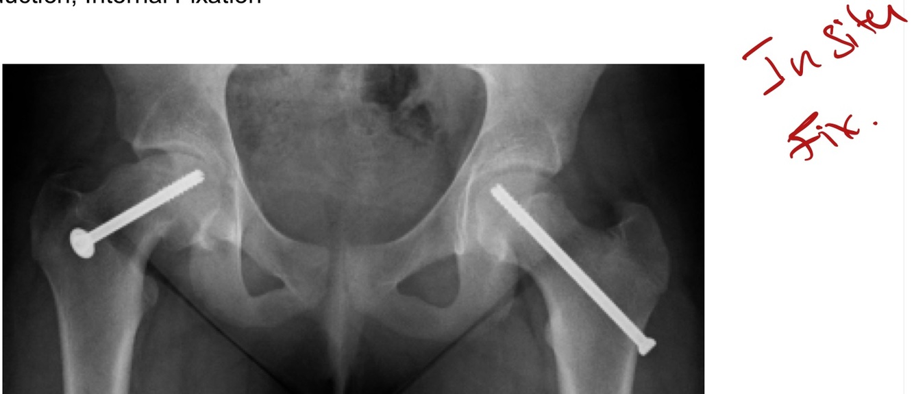
Hip Fx’s—Prox Femur
ORIF
In Situ Fixation

Hip Fx’s —Prox Femur
ORIF
Dynamic (MVMT) extramedullary fixation w/ a sliding (compression) hip screw and lateral compression plate
Hip Fxs–Prox Femur
ORIF
Static (NO MVMT) interlocking intramedullary nail fixation OR sliding hip screw coupled w/ an intramedullary nail
For SUBtrochanteric fx *******
Hip Fx’s –Prox Femur
ORIF
Bone force and healing