CT Flashcards

(26 cards)

1
Q

what are 5 common scans used in CT

A
  1. Head
  2. cervical spine
  3. abdomen and pelvis with contrast
  4. abdomen and pelvis without contrast
  5. CT angiography
How well did you know this?
1
Not at all
2
3
4
5
Perfectly
2
Q

how do low density object appear on CT? High?

A

low densities are dark, high densities are lighter

How well did you know this?
1
Not at all
2
3
4
5
Perfectly
3
Q

what are 4 complications in getting a good Ct

A
  1. patient movement
  2. pt size
  3. inability to lay flat
  4. metallic artifact
How well did you know this?
1
Not at all
2
3
4
5
Perfectly
4
Q

hounsfeld units

A

units of density, air is -1000, bone is +1000

How well did you know this?
1
Not at all
2
3
4
5
Perfectly
5
Q

image windowing

A

different computer adjustments to make structures on a CT more or less clear

How well did you know this?
1
Not at all
2
3
4
5
Perfectly
6
Q

what are 5 ways to introduce contrast for a CR

A
  1. Oral
  2. rectal
  3. IV
  4. arthrography
  5. myelography
How well did you know this?
1
Not at all
2
3
4
5
Perfectly
7
Q

what is the difference between these two pictures

A

the left is without contrast, the right is with contrast

How well did you know this?
1
Not at all
2
3
4
5
Perfectly
8
Q

what is the relevance of contrast timing to getting a good CT

A

if the contrast isnt in at the right time it won’t be in the structures you are trying to view

How well did you know this?
1
Not at all
2
3
4
5
Perfectly
9
Q

how long after oral contrast should a CT be taken

A

1-2 hours

How well did you know this?
1
Not at all
2
3
4
5
Perfectly
10
Q

what is necessary when introducing contrast by IV

A

a high quality IV that can take the pressure needed for injection

How well did you know this?
1
Not at all
2
3
4
5
Perfectly
11
Q

three CT protocols

A
  1. with IV contrast
  2. without contrast
  3. with and without contrast
How well did you know this?
1
Not at all
2
3
4
5
Perfectly
12
Q

what are three contraindications for contrast

A
  1. Iodine allergy
  2. compromised renal function
  3. recent adminstration of contrast
How well did you know this?
1
Not at all
2
3
4
5
Perfectly
13
Q

when is MRI indicated over Head CT

A

when there are suspected metastatic diseases or masses

How well did you know this?
1
Not at all
2
3
4
5
Perfectly
14
Q

what are three diagnoses that would indicate getting a CT head with contrast

A
  1. stroke
  2. hemorrhage
  3. hematoma
How well did you know this?
1
Not at all
2
3
4
5
Perfectly
15
Q
A

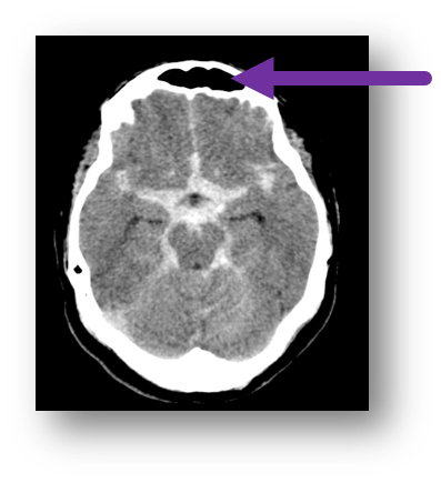
subarachnoid hemorrhage

How well did you know this?
1
Not at all
2
3
4
5
Perfectly
16
Q
A

hemorrhagic stroke

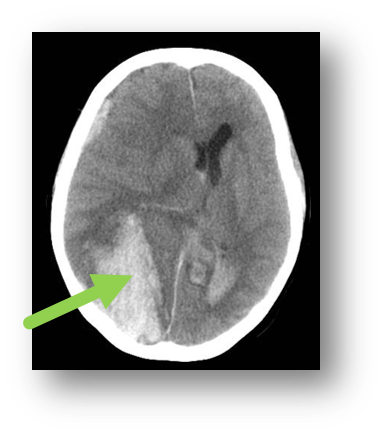
17
Q
A

subdural hematoma

20
Q
A

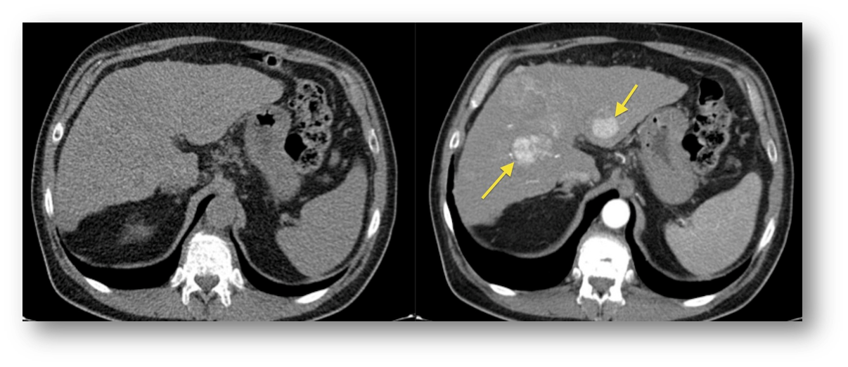
metastatic lesion

21
Q

what are three indications to perform a CT angiograph

A
  1. stroke symptoms
  2. carotid occulsion/dissection/stenosis
  3. aneurysms
22
Q

T/F it is necessary to get an MRI or CT before doing a CT angiogram

23
Q

what view is this? what is missing

A

CT angiogram

the interal carotid is not visable because it is occluded

24
Q

what would indicate a CT sinus screen

A

chronic sinusitis or post operative follow up

25
T/F xray should not be used for evaluating the sinuses
false, it can be used to minimize radiation exposure but it is less conclusive
26
what CT study should be performed if a sinus mass or abcess is suspected
CT with and without contrast