DATA INTERPRETATION Flashcards

(24 cards)

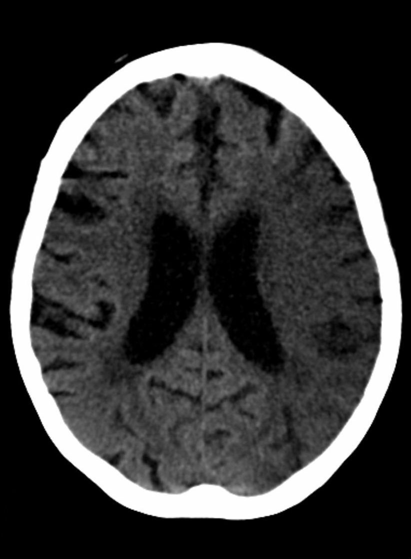
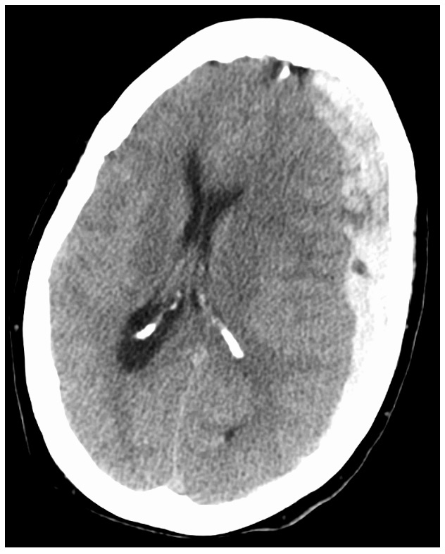
1
Q

what does this CT head show?

A

hyperdense left middle cerebral artery thrombus

How well did you know this?
1
Not at all
2
3
4
5
Perfectly
2
Q

what does this CT scan show?

A

hypodense ischaemic stroke

How well did you know this?
1
Not at all
2
3
4
5
Perfectly
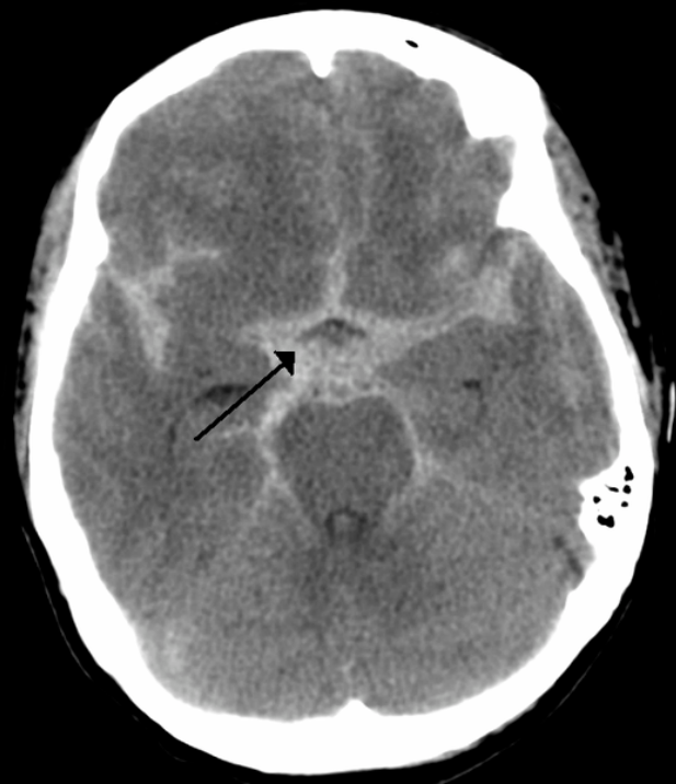
3
Q

what does this CT scan show?

A

hyperdense haemorrhagic stroke

How well did you know this?
1
Not at all
2
3
4
5
Perfectly
4
Q

what does this CT head show?

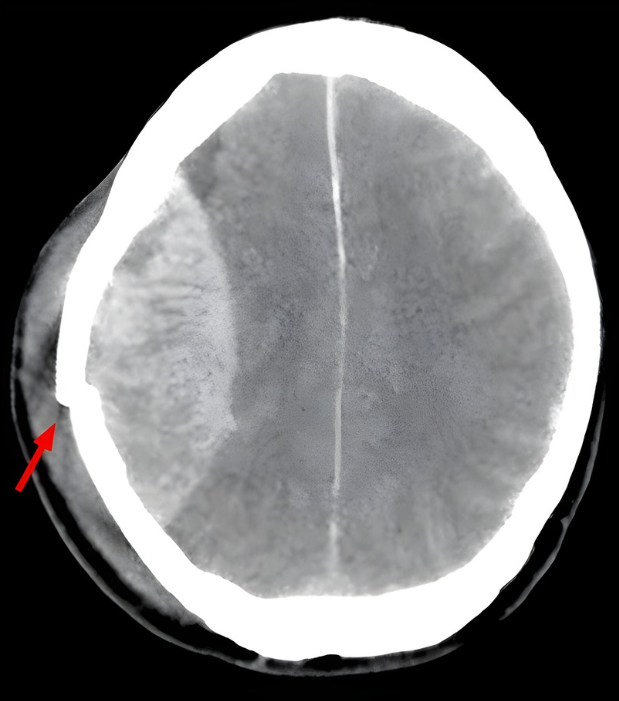
A

extradural haematoma
- biconvex lemon shaped hyperdense mass
- bleeding limited by sutures
- midline shift
- associated skull fracture

How well did you know this?
1
Not at all
2
3
4
5
Perfectly
5
Q

what does this CT head show?

A

left subdural haematoma
- crescent hyperdense mass
- midline shift
- not limited by sutures

How well did you know this?
1
Not at all
2
3
4
5
Perfectly
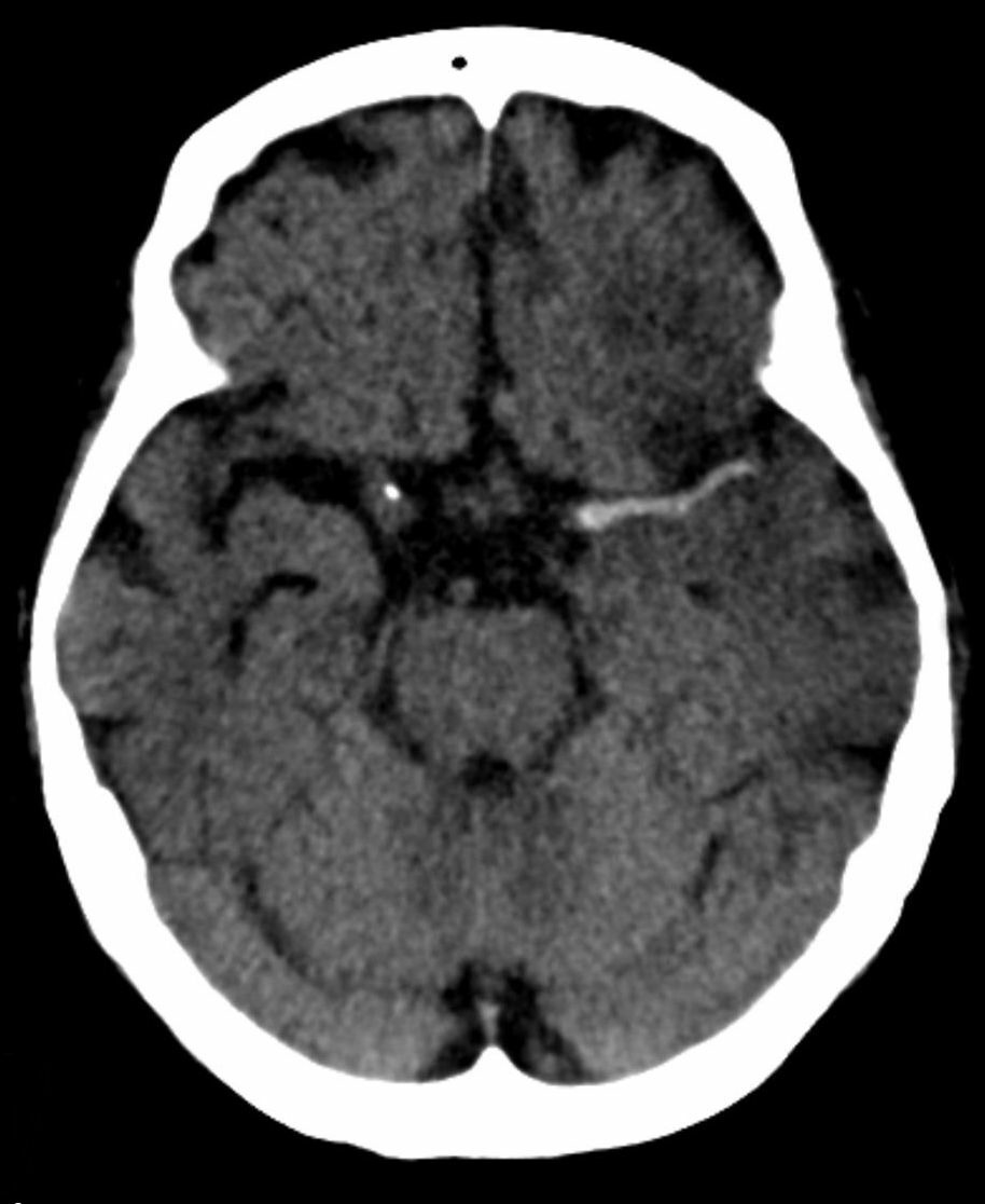
6
Q

what does this CT head show?

A

subarachnoid haemorrhage

How well did you know this?
1
Not at all
2
3
4
5
Perfectly
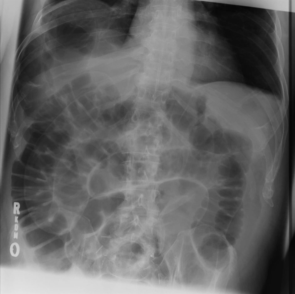
7
Q

what does this AXR show?

A

small bowel obstruction
- central bowel loops
- bowel loops >3cm diameter
- valvulae conniventes crosses whole diameter of bowel

How well did you know this?
1
Not at all
2
3
4
5
Perfectly
8
Q

what does this AXR show?

A

large bowel obstruction
- peripheral bowel loops
- large dilated bowel loops >6cm diameter
- haustra partially crosses diameter of bowel

How well did you know this?
1
Not at all
2
3
4
5
Perfectly
9
Q

what does this AXR show?

A

bowel perforation
- Rigler’s sign = both sides of bowel wall are visible
- gas below diaphragm

How well did you know this?
1
Not at all
2
3
4
5
Perfectly
10
Q

what does this AXR show?

A

toxic megacolon
- significant large bowel dilation >6cm without obstruction
- lead-pipe colon
- thumbprinting

How well did you know this?
1
Not at all
2
3
4
5
Perfectly
11
Q

what does this AXR show?

A

sigmoid volvulus
- coffee bean sign
- dilation of proximal large bowel
- rigler’s sign (both sides of bowel visible) if perforation has occurred

How well did you know this?
1
Not at all
2
3
4
5
Perfectly
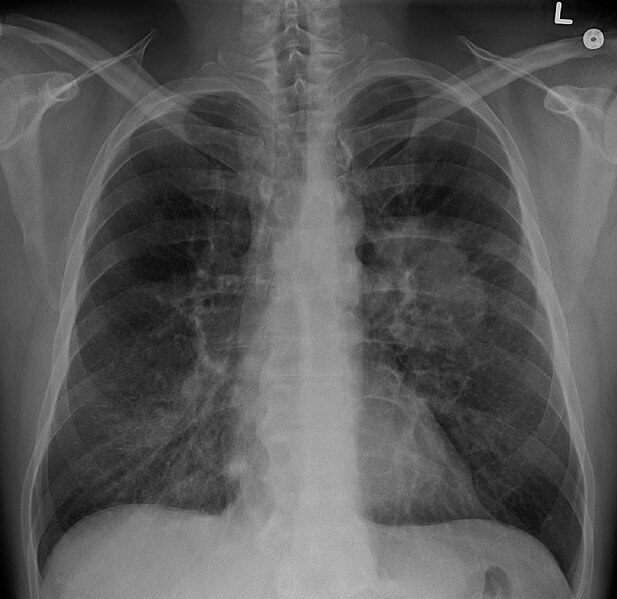
12
Q

what does this CXR show?

A

pneumonia
- right upper zone consolidation

How well did you know this?
1
Not at all
2
3
4
5
Perfectly
13
Q

what does this CXR show?

A

simple pneumothorax
- visible rim of air between lung margin + chest wall
- no visible lung markings

How well did you know this?
1
Not at all
2
3
4
5
Perfectly
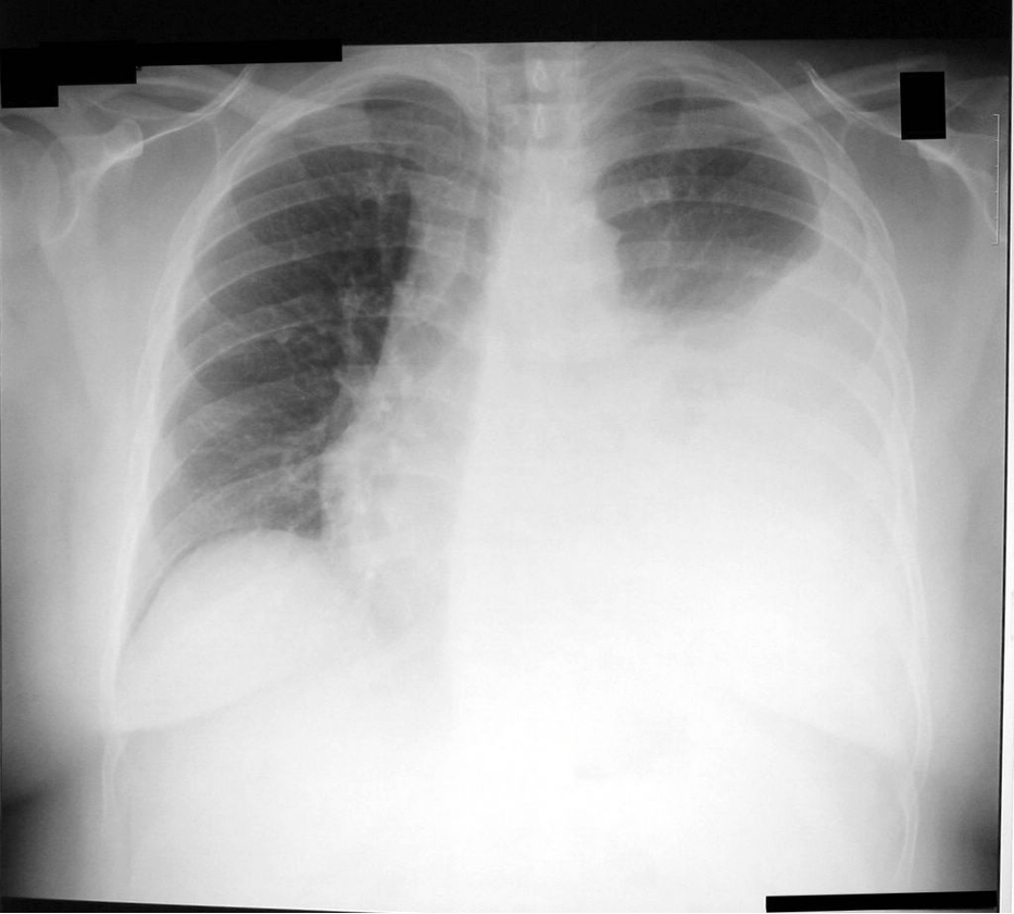
14
Q

what does this CXR show?

A

tension pneumothorax
- mediastinal shift to right
- absent lung markings

How well did you know this?
1
Not at all
2
3
4
5
Perfectly
15
Q

what does this CXR show?

A

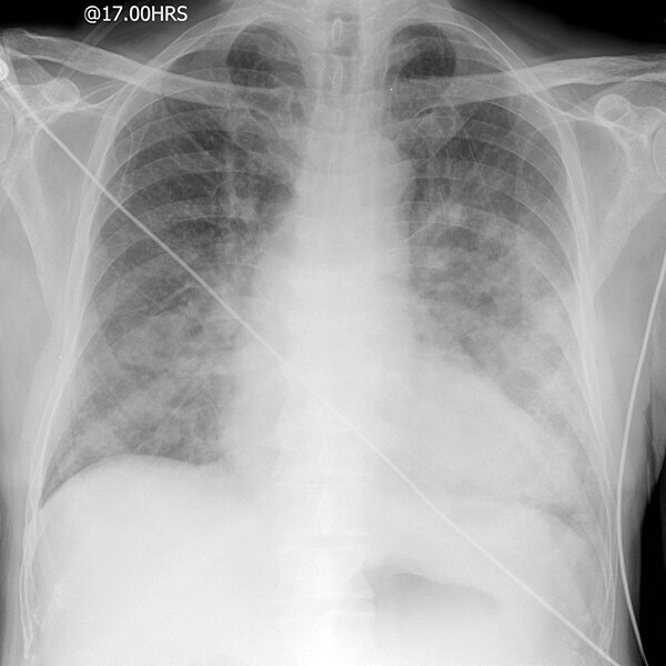
chronic heart failure
- alveolar oedema (batwing)
- Kerley B lines
- cardiomegaly
- dilated upper lobe vessels
- pleural effusion

How well did you know this?
1
Not at all
2
3
4
5
Perfectly
16
Q

what does this CXR show?

A

pulmonary oedema
- bilateral peri-hilar shadowing
- blunting of costophrenic angles
- fluid in fissures
- kerley B lines

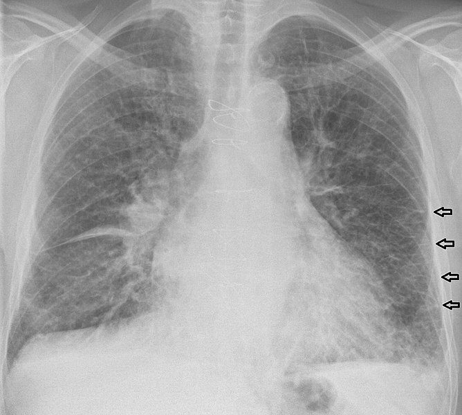
17
Q

what does this CXR show?

A

left-sided pleural effusion
- blunting of costophrenic angles
- blunting of cardiophrenic angle
- fluid in fissures
- fluid level
- mediastinal shift away from effusion in larger volumes

18
Q

what does this CXR show?

A

left-sided lung cancer
- single or multiple masses or nodules
- pleural effusions
- lung collapse
- air-space shadowing

19
Q

what does this ECG show?

A

inferior STEMI

20
Q

what does this ECG show?

A

atrial fibrillation
- irregularly irregular rhythm
- absence of P waves

21
Q

what does this ECG show?

A

2nd degree heart block Mobitz type 1
- progressive PR interval prolongation until drops QRS complex

22
Q

what does this ECG show?

A

2nd degree heart block mobitz type 2
- ratio of dropped QRS complexes

23
Q

what does this ECG show?

A

complete (3rd degree) heart block

24
Q

what does this ECG show?

A

pericarditis
- widespread saddle ST elevation
- PR depression
- reciprocal ST depression + PR elevation in aVR