Dermatopathology Flashcards

(26 cards)

1
Q

Scaly, pigmented plaques that appear pasted on and easily rub off. They are composed of broad anastomosing cords of mature stratified squamous epithelium associated with small keratin cysts (horn cysts). Usually innocuous, but a sudden appearance has been associated with internal malignancies.

A

Seborrheic keratosis

How well did you know this?
1
Not at all
2
3
4
5
Perfectly
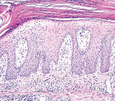
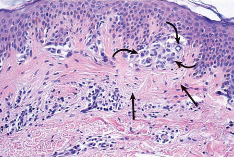
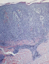
2
Q

Darkly pigmented, variegated lesions distributed primarily on the trunk and non-sun-exposed skin. These moles feature a combination of architectural disorder (rete-to-rete bridging of melanocytes) and cytologic atypia (melanocytes with large atypical nuclei). These patients are at an increased risk of developing melanoma.

A

Dysplastic nevi

(image displays bridging of rete ridges and melanocytes with cytological atypia, curved arrows)

How well did you know this?
1
Not at all
2
3
4
5
Perfectly
3
Q

Keratinocytic neoplasms that develop in sun-damaged skin, commonly on the face or backs of hands. The basal keratinocytes of the stratum spongiosum display significant atypia, as well as hyperkeratosis and parakeratosis. This lesion is a precursor to SCC.

(image displays parakeratosis)

A

Actinic Keratosis

(image displays cytologic atypia of basal keratinocytes)

How well did you know this?
1
Not at all
2
3
4
5
Perfectly
4
Q

A 45-year-old man presents with painful, purple nodules on the dorsal surface of his left hand. A biopsy displays atypical spindle-shaped neoplastic cells and extravasated red cells. Similar lesions are found in the lymph nodes and liver.

Disease and etiology?

(note extravasated red cells in image)

A

Kaposi Sarcoma

HHV-8

(note extravasated red cells, cytologic atypia of spindle cells, and formation of slit-like spaces)

How well did you know this?
1
Not at all
2
3
4
5
Perfectly
5
Q

What disease is being discussed below?

In the radial growth phase, cells grow in all directions. In the vertical growth phase, the dominant direction of tumor growth shifts to the dermis.

The most important prognostic factor is the depth of invasion.

BRAF V-600E mutations are common.

(image displays radial growth phase)

A

Malignant Melanoma

(image displays vertical growth phase)

How well did you know this?
1
Not at all
2
3
4
5
Perfectly
6
Q

In the image below, vertical growth is manifested by the distinct spheroid tumor nodule (right), that has a growth advantage over other nests in the radial growth phase (left).

Which marker of cell proliferation increases during the vertical growth phase of malignant melanoma?

A

Ki-67

How well did you know this?
1
Not at all
2
3
4
5
Perfectly
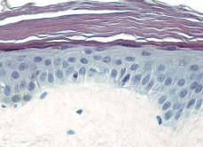
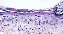
7
Q

This heritable disease begins in early childhood, and features small white scales on the extensor surfaces of extremities and on the trunk and face. Biopsy reveals a thin stratum granulosum, which is due to reduced synthesis of profilaggrin. The stratum corneum is thickened.

A

Ichthyosis Vulgaris

(image displays thickened stratum corneum, and think and focally absent stratum granulosum)

How well did you know this?
1
Not at all
2
3
4
5
Perfectly
8
Q

This variant of melanoma is a large pigmented macule that develops in fair-skinned elderly persons who are chronically exposed to solar UV light. It is a flat, irregular, brown-to-black patch that may cover a large part of the face or dorsal hands.

A

Lentigo maligna melanoma

(aka Hutchinson melanotic freckle)

How well did you know this?
1
Not at all
2
3
4
5
Perfectly
9
Q

This variant of melanoma is the most common form of melanoma in dark-skinned people and is found on the palms, soles, and subungual regions.

(radial growth phase is depicted in the image)

A

Acral lentiginous melanoma

(vertical growth phase is depicted in image)

How well did you know this?
1
Not at all
2
3
4
5
Perfectly
10
Q

This skin disease is characterized by persistent epidermal hyperplasia, and features large, erythematous, silvery, scaly plaques, commonly on the dorsal extensor cutaneous surfaces. When the scales are detached, pinpoint foci of bleeding occur.

Microscopically, rete ridges and dermal papillae are elongated, giving a pattern of alternately reversed “clubs.” Neutrophils become localized in the epidermis or in small Munro microabscesses due to alterations in the capillary loops of dermal papillae.

A

Psoriasis

How well did you know this?
1
Not at all
2
3
4
5
Perfectly
11
Q

This condition involves blister formation in the basement membrane zone. The blisters are almost always noted at birth or shortly thereafter.

Mechanisms of blister formation include

1) disintegration of lower regions of epidermal basal cells (epidermolytic)
2) cleavage in the lamina lucida (junctional)
3) fragmented anchoring fibrils of the dermis (dermolytic)

A

Epidermolysis Bullosa

How well did you know this?
1
Not at all
2
3
4
5
Perfectly
12
Q

This autoimmune disease’s characteristic lesion is a large, easily ruptured blister that leaves extensive crusting. Lesions are most common on the scalp, mucous membranes, and in the periumbilical and intertriginous areas.

Histologically, lesions show separation of stratum spinosum from basal layer. Immunofluorescence reveals IgG antibodies deposited in the intercellular substance of the epidermis.

The IgG antibodies are reacting with desmoglein 3, a surface desmosomal protein. This interaction results in release of proteolytic enzymes that mediate dyshesion and blister formation.

A

Pemphigus Vulgaris

How well did you know this?
1
Not at all
2
3
4
5
Perfectly
13
Q

This disease develops on sun-damaged skin of people with fair skin and freckles. It features pearly nodules, that upon biopsy reveal buds of atypical, deeply-basophilic keratinocytes extending from the overlying epidermis into the papillary dermis.

It is the most common malignant tumor in persons with pale skin.

A

Basal Cell Carcinoma

(image displays pearly nodule with rodent ulcer in center)

How well did you know this?
1
Not at all
2
3
4
5
Perfectly
14
Q

These cutaneous tumors are caused by HPV infection. They include common warts (on back of hand or face) and plantar warts (on soles of feet).

Histologically, they display koilocytes, which are enlarged keratinocytes with a pyknotic nucleus surrounded by a halo-like area). Also, there are squamous epithelial-lined fronds with fibrovascular cores.

A

Verruca vulgaris

How well did you know this?
1
Not at all
2
3
4
5
Perfectly
15
Q

This cutaneous disorder is triggered by exposure to drugs or microorganisms. It manifests acutely as dome-shaped, exquisitely-tender, erythematous nodules on the anterior aspects of the lower limbs.

Biopsy discloses focal hemorrhage, neutrophilic infiltrates in the subcutaneous fibrous tissue septa, and giant cells at the interface between the septa and adipose tissue.

It usually appears in the third decade of life, and is more common in women.

A

Erythema nodosum

How well did you know this?
1
Not at all
2
3
4
5
Perfectly
16
Q

This is an autoimmune blistering disease in which complement-fixing IgG antibodies are directed against two basement membrane proteins, BPAG1 and BPAG2.

Immunofluorescent studies demonstrate linear deposition of C3 and IgG along the epidermal basement membrane zone.

Pathologically, the blisters are subepidermal, with an edematous papillary dermis as its base and an intact epidermis as its roof.

The medial thighs and flexor aspects of the forearms are most commonly affected.

A

Bullous Pemphigoid

“a subepidermal blistering disease caused by autoantibodies against basement membrane proteins”

17
Q

This disease is associated with gluten sesnsitivity, and the cutaneous lesions are related to granular deposits of IgA at the tips of dermal papillae.

The lesions are intensely pruritic, symmetric, grouped vesicles on an erythematous base, and are especially prominent at elbows, knees, and buttocks.

Dermal papillary abscesses of neutrophils with vesicle formation at the dermal-epidermal junction are characteristic.

A

Dermatitis Herpetiformis

18
Q

A young woman has experienced malaise, joint pain, sporadic fever, and weight loss over several months. Physical exam reveals a malar rash, erythematous pink plaques with telangiectatic vessels, oral ulcers, and nonblanching purpuric papules on her legs.

Labs are positive for anti-dsDNA antibody.

Biopsy of sun-damaged lesional skin displays granular distribution of immune complexes in the basement membrane zones.

What is the most likely diagnosis?

A

Systemic Lupus Erythematosus

(image displays thickening of basement membrane zone and vacuolization on either side of the BMZ)

19
Q

This disorder of the pilosebaceous unit is often a response to Prionibacterium acnes. It typically affects adolescents, resulting in intermittent formation of discrete papular or pustular lesions called comedones, which are either open (blackheads) or closed (whiteheads).

A

Acne vulgaris

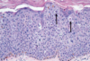
20
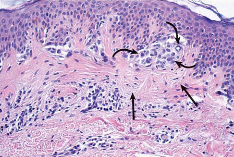
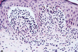
Q

This condition is a hypersensitivity reaction with a band-like lymphocytic infiltrates at the dermal-epidermal junction.

Clinical features include flat-topped papules, usually on the flexor surfaces of the wrists, and white patches or streaks on oral mucous membranes.

A

Lichen planus

(image displays band-like lymphocytic infiltrate at the dermal-epidermal junction)

21
Q

This condition is a variant of cutaneous T cell lymphoma. The most important histologic feature is the presence of CD4+ lymphocytes in the epidermis (“epidermotropism”).

A

Mycosis Fungoides

22
Q

This condition is a cell-mediated delayed hypersensitivity to exogenous sensitizing agents. Following exposure to an agent, the site of contact becomes intensely pruritic, after which erythema and small vesicles rapidly develop.

The pathogenesis of this condition involves formation of a hapten-carrier complex, which gets processed as an antigen by Langerhans cells. Langerhans cells then migrate through dermal lymphatics to regional lymph nodes and present this antigen to CD4+ T cells, which become sensitized. When sensitized CD4 cells return to the epidermis and encounter the original antigen, all inflammatory hell breaks loose.

A

Allergic contact dermatitis

23
Q

This skin condition that features characteristic “target” or “iris” lesions is often a reaction to a drug or infection (eg, HSV).

The characteristic morphologic feature is the presence of apoptotic keratinocytes, which have a pyknotic nucleus and an eosinophilic cytoplasm.

A

Erythema multiforme

24
Q

These lesions are rapidly growing keratotic papules on sun-exposed skin that develop over 3 to 6 weeks into crater-like nodules.

The lesion is cup-shaped, with a central keratin-filled umbilication and overhanging (“buttressing”) edges.

A

Keratoacanthoma

25
This skin neoplasm is most common on sun-damaged skin of fair-skinned individuals with light hair and freckles. It often originates in actinic keratoses. It typically arises on the backs of hands, face, lips, and ears. Histologically, the entire epidermis is replaced by atypical keratinocytes. Mitoses and mulinucleation of keratinocytes are apparent.
Squamous Cell Carcinoma
26
This skin condition occurs most commonly on the dorsum of the hands and feet, primarily in children and young adults. It features asymptomatic, skin-colored or erythematous plaques. Histologically, a central area of acellular degenerated collagen is surrounded by palisaded macrophages with the long axes of their nuclei radiating outward.
Granuloma annulare