Differentials Flashcards

(6 cards)

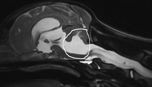
1
Q

Differential for this?

A

Arachnoid diverticulum or cyst

Stenotic lateral apertures of the fourth ventricle

Obstruction by a non-contrast enhancing lesion (inflammatory, neoplasia, cholesterol granuloma

How well did you know this?
1
Not at all
2
3
4
5
Perfectly
2
Q

Differentials for cyst like lesion in the brain?

A
  1. Cyst
  2. Diverticulum
  3. Neoplasia (Glioma, meningoma)
  4. Hydatid cysts
  5. Abscess
  6. Reduction in brain size (Dandy-Walker syndrom)
  7. Porencephaly from previous trauma, infarct or surgery
How well did you know this?
1
Not at all
2
3
4
5
Perfectly
3
Q

Differentials for a mass in the sella turcica or suprasellar?

A
  1. Macroadenoma
  2. Adenocarcinoma
  3. Meningioma
  4. Lymphoma
  5. Granular cell tumor
  6. Gliomatosis cerebri
  7. Craniopharyngiomas
How well did you know this?
1
Not at all
2
3
4
5
Perfectly
4
Q

Diffs for hypercalcemia?

A
  1. Hyperparathyroid
  2. Addison’s
  3. Cancer
  4. Renal disease
How well did you know this?
1
Not at all
2
3
4
5
Perfectly
5
Q

Diffs for a reduction in luminal size of the proximal urethra?

A
  1. Stricture
  2. Urethral spasm
  3. Inflammation
  4. Torsion
How well did you know this?
1
Not at all
2
3
4
5
Perfectly
6
Q
A
How well did you know this?
1
Not at all
2
3
4
5
Perfectly