Causas de DP?
Empiema?
Pus na pleura.
Hemotórax
Sangue na pleura.
Quilotórax
Linfa/gordura na pleura
(Rotura de ducto torácico)
Urinotórax
Acúmulo de urina na pleura nas nefropatias obstrutivas com extravasamento de líquido.
Sintomatologia?
Ué, mas = atelectasia!!!
Como diferenciar no exame físico?
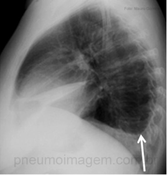
Sinal de Lemos-Torres - abaulamento do espaço intercostal quando da expiração
Sinal de Signorelli - macicez móvel, paramediana às apófises espinhosas
(Percute sentado e em decúbito lateral)

Linha de Damoiseau
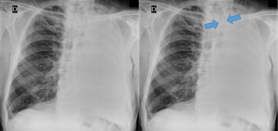
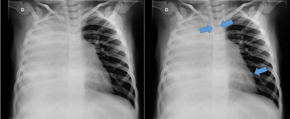
Classificação (Volume)

Tórax Opaco - Atelectasia

Tórax Opaco
DP

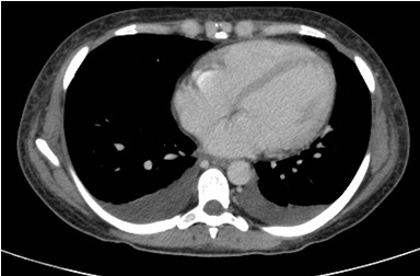
Laurell
(Decúbito lateral com raios horizontais)
Se > 01 cm = derrame pleural importante.

Derrame pleural bilateral.
Quando investigar?
Quando não se sabe a causa e é significativo.
Derrame pleural por acúmulo de água (sem inflamação)
Transudato
Derrame pleural com inflamação/proteínas…
Exsudato
Transudato…
Causas?
Derrame (geralmente) bilateral
Exsudato
Causas?
(Geralmente) Unilaterais…
Critérios de Light?
É água? Não é água?

Colesterol do líquido pleural?
> 60 = exsudato!
O derrame pleural da cirrose é mais comum à…?
Direita!
Derrame da embolia?
Pode ser transudato ou exsudato!
Principal causa de transudato?
IC
Principais causas de exsudato?