E-module Spierweefsel Flashcards

(22 cards)

1
Q

Welke vorm hebben de nuclei van skeletspiervezels?

A

Nuclei zijn ovaal

How well did you know this?
1
Not at all
2
3
4
5
Perfectly
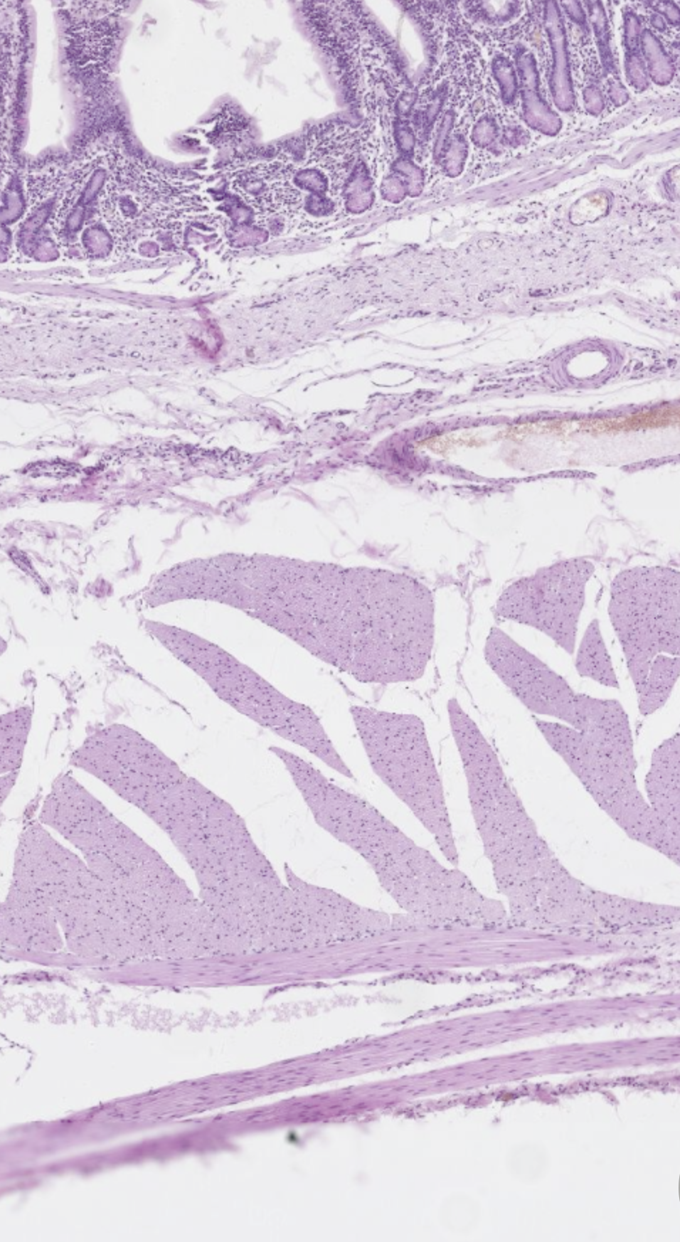
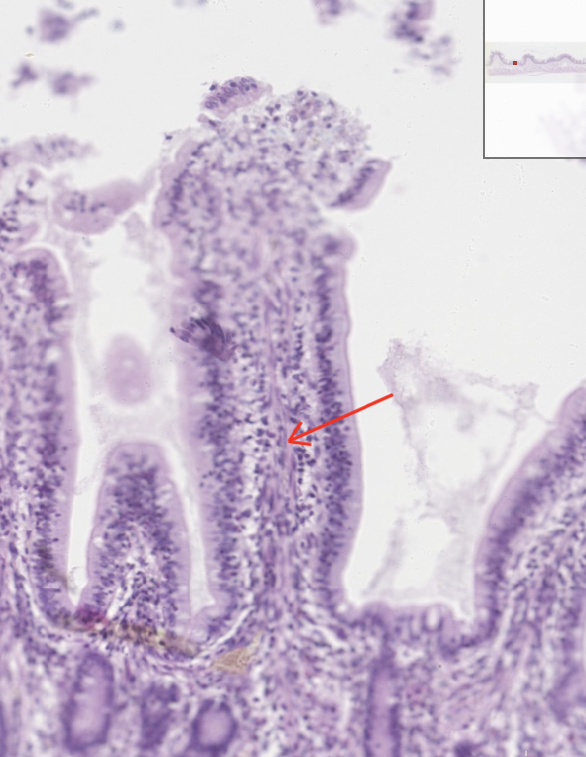
2
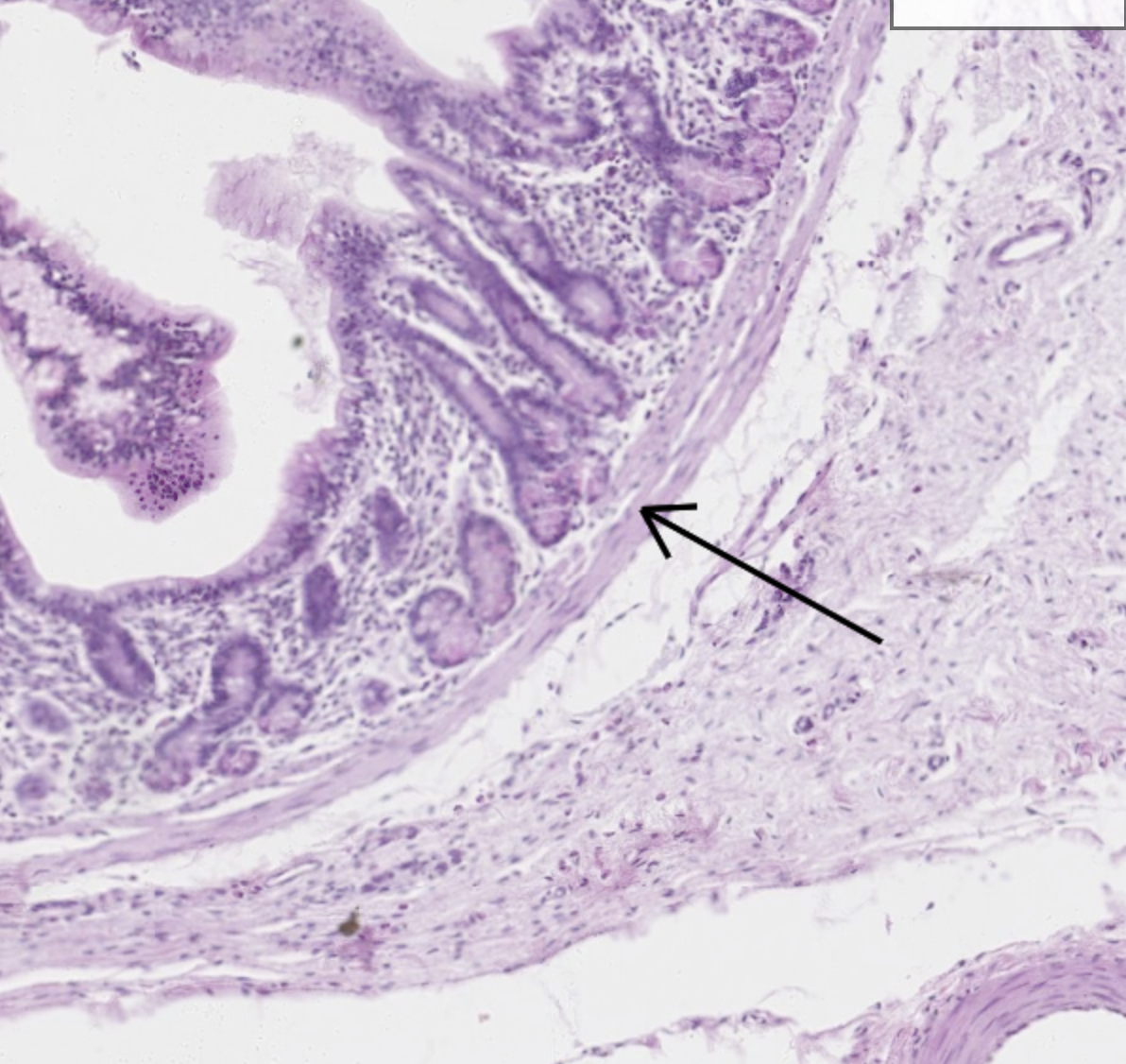
Q

Je kijkt naar het jejenum van een paard. Wat wordt hier aangegeven?

A

Gladde spierweefsel vezels in de lamina propria

How well did you know this?
1
Not at all
2
3
4
5
Perfectly
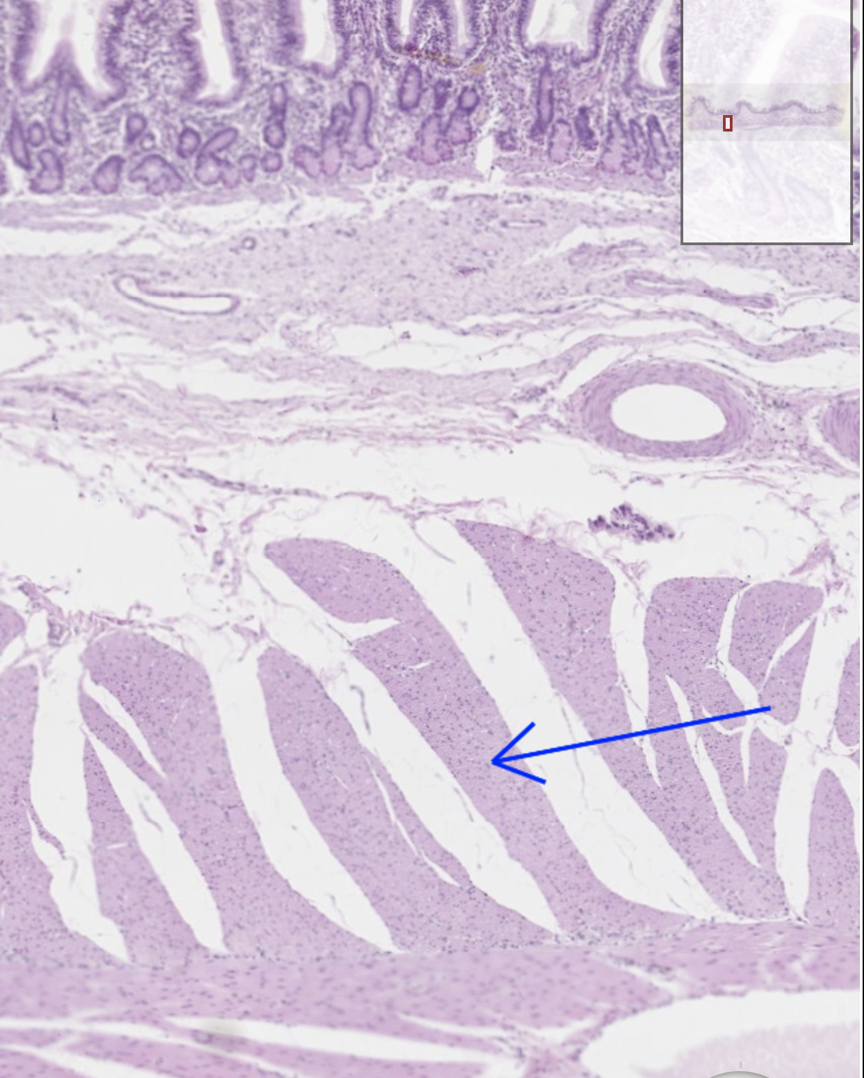
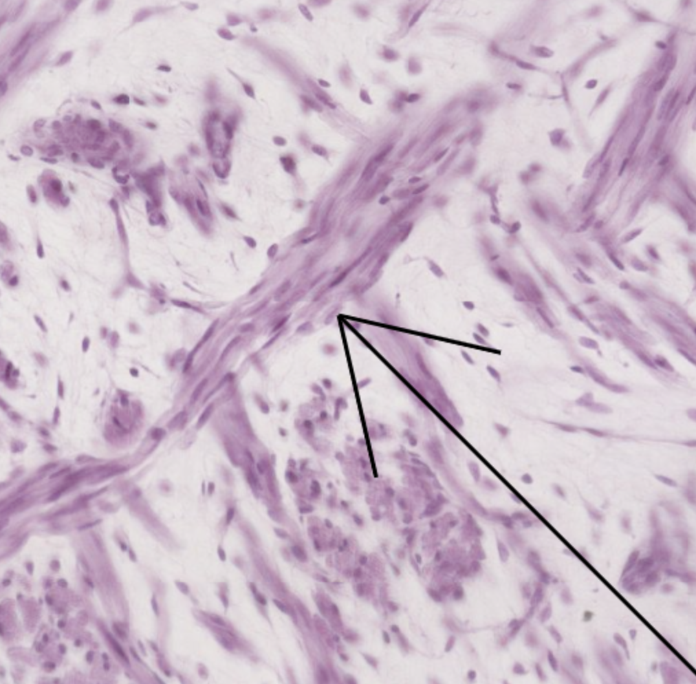
3
Q

Je kijkt naar het jejenum van een paard. Wat wordt hier aangegeven?

A

Gladde spierweefsel vezels in de lamina muscularis mucosa

How well did you know this?
1
Not at all
2
3
4
5
Perfectly
4
Q

Je kijkt naar het jejenum van een paard. Wat wordt hier aangegeven?

A

Gladde spierweefsel vezels in de lamina muscularis circularis

How well did you know this?
1
Not at all
2
3
4
5
Perfectly
5
Q

Je kijkt naar het jejenum van een paard. Wat wordt hier aangegeven?

A

Gladde spierweefsel vezels in de lamina muscularis longitudinis

How well did you know this?
1
Not at all
2
3
4
5
Perfectly
6
Q

Is dit een longitudinale of transversale doorsnede van het jejenum?

A

Longitudinale doorsnede (parallel aan de vezels in de lamina muscularis longitudinalis, die je kan zien als strepen)

How well did you know this?
1
Not at all
2
3
4
5
Perfectly
7
Q

Je kijkt naar een skeletspier van een hond. Wat wordt er hier aangegeven?

A

Gele haakje = spiervezel
Rode pijl = nucleus van een spiercel
Rode cirkel = bloed haarvat
Zwarte pijl = endomysium

How well did you know this?
1
Not at all
2
3
4
5
Perfectly
8
Q

Geef in deze sarcomeer van een skelet spier de A-band en I-band aan

A

Gele pijl = I-band (lichte band)
Rode pijl = A-band (donkere band)

How well did you know this?
1
Not at all
2
3
4
5
Perfectly
9
Q

Verklaar het gestreepte uiterlijk van gestreept spierweefsel

A

Het gestreepte patroon wordt gevormd door opeenvolgende sarcomeren

How well did you know this?
1
Not at all
2
3
4
5
Perfectly
10
Q

Welke proteïnen zijn aanwezig in de filamenten van een sarcomeer?

A

Sarcomeren bevatten dunne myofilamenten die gemaakt zijn van actine, troponine en tropomyosine, en dikke myofilamenten die gemaakt zijn van myosine-II.

How well did you know this?
1
Not at all
2
3
4
5
Perfectly
11
Q

Hoe ziet een sarcomeer er uit in een aanspannende spier (welke banden zijn zichtbaar en welke niet)?

A

Tijdens aanspanning komen Z-banden dichter naar elkaar toe, waardoor de A-band zichtbaar blijft, maar de I-band (veel) kleiner wordt

How well did you know this?
1
Not at all
2
3
4
5
Perfectly
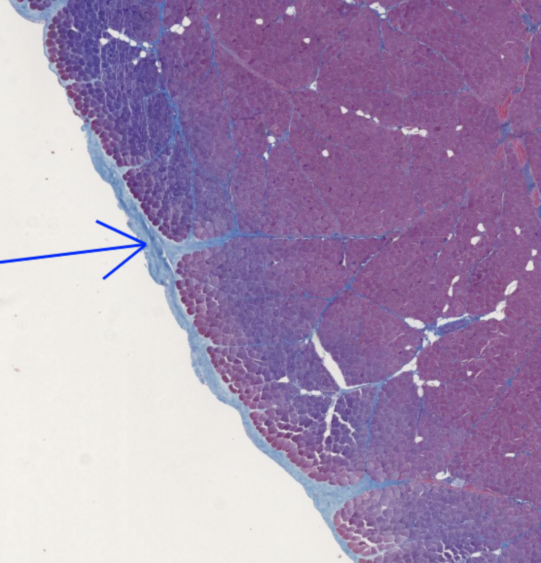
12
Q

Je kijkt naar een skeletspier van een veulen. Wat wordt er hier aangewezen?

A

Het epimysium

How well did you know this?
1
Not at all
2
3
4
5
Perfectly
13
Q

Je kijkt naar een skeletspier van een veulen. Wat wordt er hier aangewezen?

A

Het perimysium

How well did you know this?
1
Not at all
2
3
4
5
Perfectly
14
Q

Geef in dit plaatje het perimysium, endomysium, een spiercel, en een nucleus van een spiercel aan

A

Rode pijl = perimysium
Gele pijl = endomysium
Zwarte pijl = nucleus van een spiercel
Gele cirkel = spiercel
Rode cirkel = doorsnede van myofibrillen

How well did you know this?
1
Not at all
2
3
4
5
Perfectly
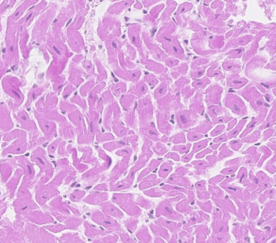
15
Q

Waar liggen de nuclei van spiercellen t.o.v. de cel en waarom? Hoeveel nuclei heeft een skeletspiercel?

A

De nuclei van spiercellen liggen helemaal aan de rand van de cell, omdat de hele cel vol zit met myofilamenten.
Skeletspiercellen zijn syncytia die gevormd zijn door de fusie van een hoop cellen, dus ze hebben ook een hoop nuclei.

How well did you know this?
1
Not at all
2
3
4
5
Perfectly
16
Q

Geef in stukje hartspier het volgende aan:
- Nucleus van een spiercel
- Glansstreep
- Erytrocyt
- Myofibrillen
- Endomysium
- Bloedvat

A

Rood = nucleus van een spiercel
Zwart = glansstreep
Blauw = erytrocyt
Groen = myofibrillen
Geel = endomysium
Oranje = bloedvat

17
Q

Je kijkt naar een hartspier van een paard. Geef…

A

Rode cirkel = hartspiercel
Zwarte pijl = cell nucleus
Blauwe pijl = myofibrillen
Groene pijl = haarvat
Gele pijl = endomysium

18
Q

In de glansstrepen zijn gap junctions aanwezig, waarom?

A

De gap junctions zijn aanwezig om passage van elektrische signalen tussen cellen mogelijk te maken.

19
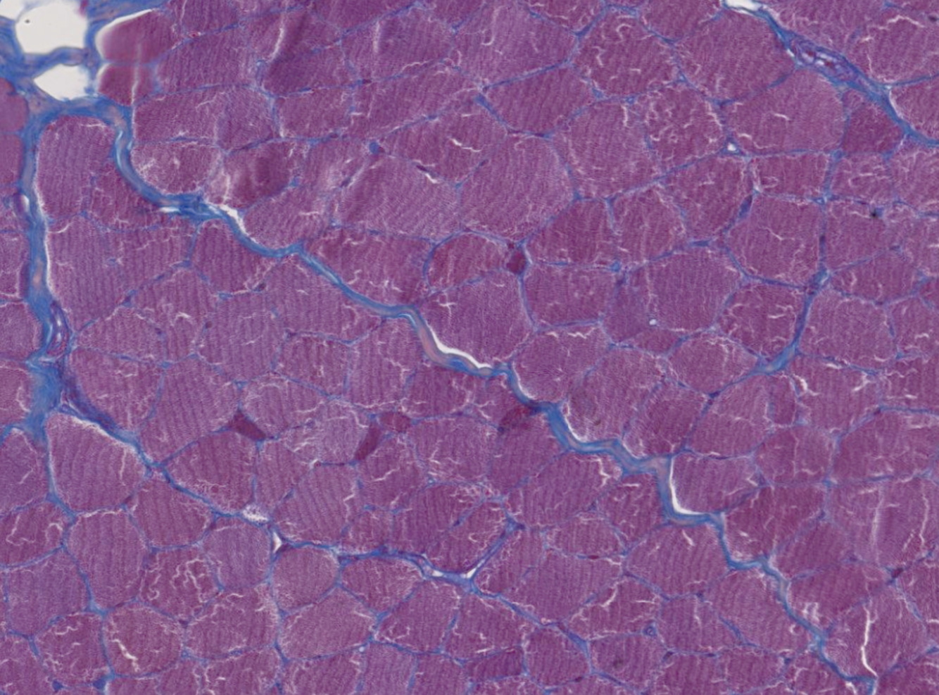
Q

Wat voor type weefsel zie je hier?

A

Skeletspierweefsel

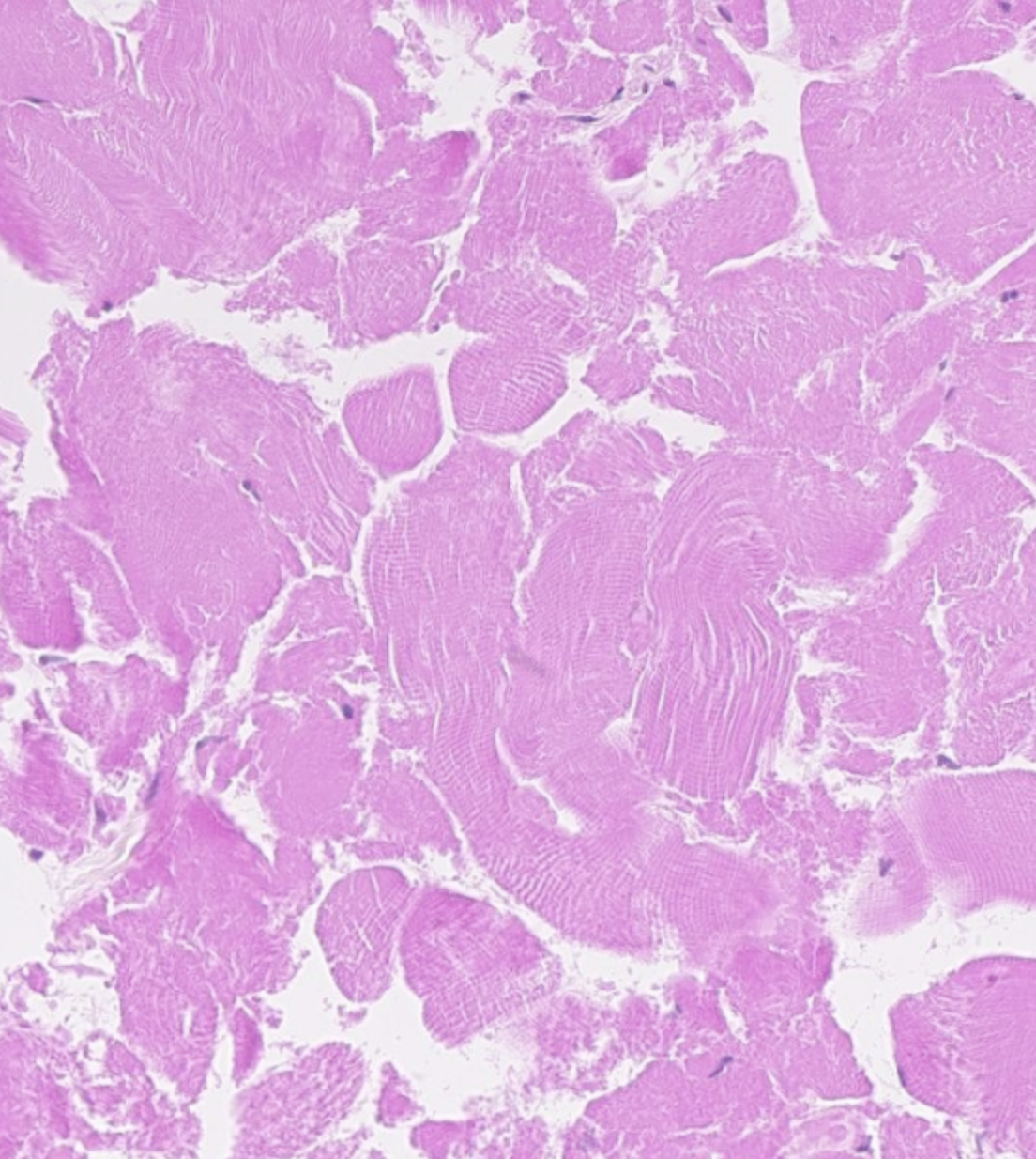
20
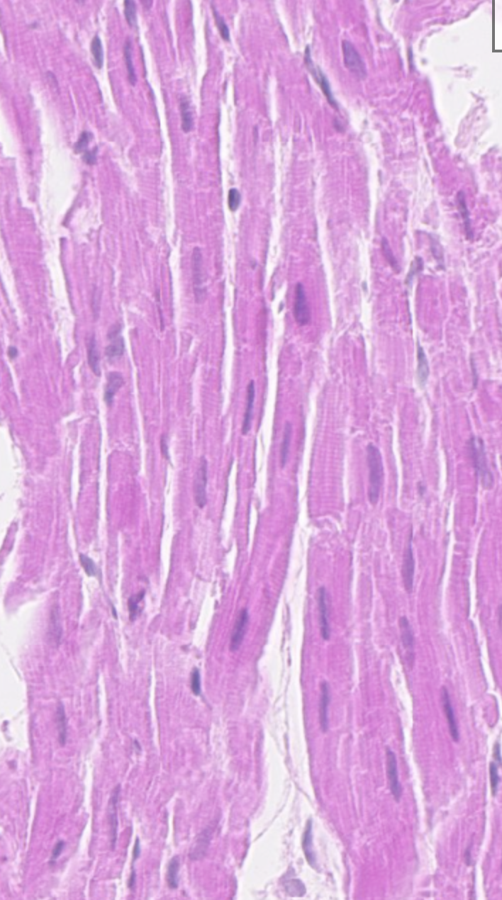
Q

Wat voor type weefsel zie je hier?

A

Hartspierweefsel

21
Q

Wat voor type weefsel zie je hier?

A

Hartspierweefsel

22
Q

Hoe kan je hartspierweefsel van skeletspierweefsel onderscheiden?

A

Hartspierweefsel heeft glansstrepen, en de locatie van de nucleus is anders