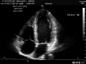
Name the view

apical four chamber
name the view

Left parasternal long axis
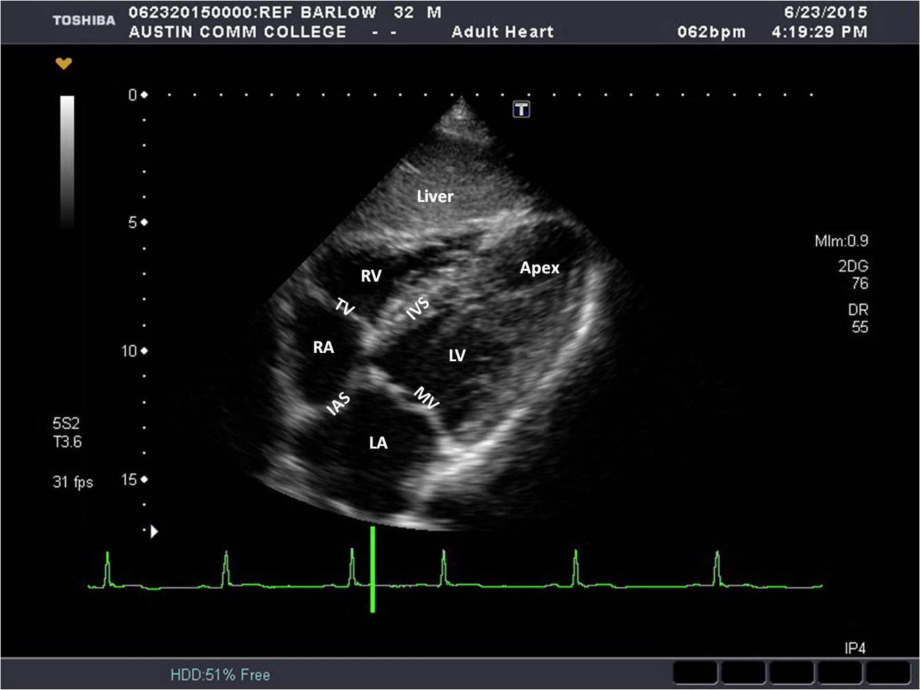
Name the view

Sub costal
To evaluate for pericardial effusion you need to use which view?
Sub costal
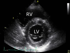
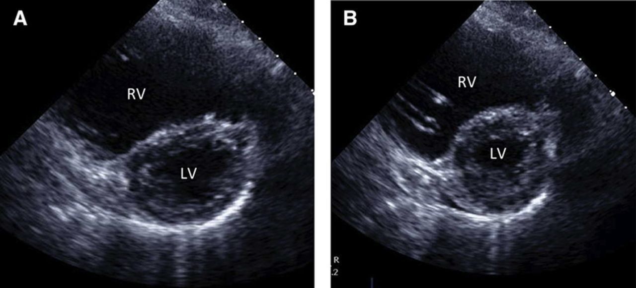
Name the view

short axis
What is wrong here

Left ventricle hypertrophy
What is wrong here

Right ventricle hypertrophy
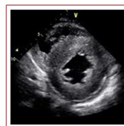
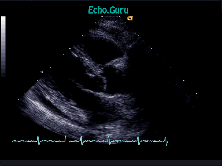
What is going on here?

Pericardial effusion