Supracondylar fractures usually occur in which age group?
Children

In order to minimise loss of function, how are intra-articular distal humeral fractures treated?
Which fracture commonly occurs with a fall ontop the point of the elbow with the triceps contracted?
Olecranon fracture

What is a comminuted fracture?
A break into many pieces (more than 2)
How can a simple avulsion olecranon fracture be treated?
Tension bend wiring
(compresses the tension side of the fracture)
Comminuted olecranon fractures must be treated via which method?
ORIF with plate and screws
Which fracture usually occurs when there is a fall onto an outstretched arm?
Radial head and neck fractures

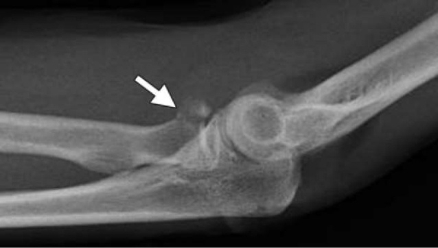
Some undisplaced radial head/neck fractures may not show up on X-ray except for which sign?
Fat pad sign
(usually seen on the lateral X-ray)
How are undisplaced or minimally displaced radial head/neck fractures treated?
With a radial head/neck fracture it is common for patients to lose up to __ degrees of terminal extension
10-15 degrees
How may displaced intra-articular radial head fractures be treated?
ORIF
(only if the fragment is large enough, otherwise it may be surgically excised)

Most elbow disloations occur in the ________ direction
Most elbow disloations occur in the posterior direction
In uncomplicated elbow dislocations what is the standard treatment?
Which fractures are commonly associated with elbow dislocation?