What is the function of endocrine organs
What does the hypothalamus link
It links the NS to the endocrine system via the pituitary gland/hypophysis
Releasing hormones are released into what?
the “portal system” to target cells in the adneohypophysis
Hormones that are axonally transported and stored where?
Stored in the neurohypophysis, then released into blood to target differnt sites.
Antidiuretic hormones (ADH) + oxytocin
What are the characteristcs of endocrine organs
What does the hypophyseal pouch develop into?
The anterior pituitary
(Pars tuberalis, pars intermedia and pars distalis)
What does the neurohypophyseal bud develop into?
Posterior Pituitary
Give an example of oxytocin and explain the process
-Milk letdown-
Calf stimulates mammary gland -> neural loop (spinal cord) -> neural pathway to hypothalamus -> Neuroendocrine cells snythesis ocytocin -> Pars Nervosa (posterior pitutary/ Neurohypophysis) -> oxytocin stored in nerve terminal stimulation of nerve releases oxytocin in capillary -> Oxytocin release in blood -> oxytocin stimulates concraction of myoepithelial cells for milk let down -> alveoli- milk production of mammary gland.
What are the 3 portions of adenohypophysis
Pars distalis, pars intermedia, pars tuberalis.
What does the pars intermedia secrete ?
Source of melanocyte-stimulating hormone (MSH)
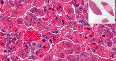
What is the following image? What is the purpose what is in this image?

Pars distalis of adenohypophysis with acidophils, basophils and chromophobes.
The pars distalis is the bulk of the adenohypophysis and seretes the majority of hormones
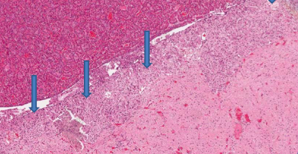
What are the arrows pointing to?

Pars intermedia (arrows)
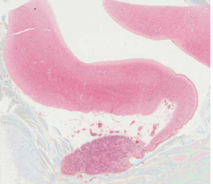
-Hypophyseal cleft, between the adenohypophysis and neurohypophysis.
Adenohypophysis- how and where do hormones travel?

The second hormone travels to a target endocrine organ where a 3rd hormone is produced
The 3rd hormone causes an effect on the target cell/organ.
What is the arrow pointing to?

Pineal gland
Pinealocytes produce what hormone?
Melatonin
What is the main function of the epiphysis?
Main function is to regulate daily rhythms of bodily activity.
What are the secretory cells of the epiphysis?
They are the pinealocytes
What are the arrows pointing to?

Pinealocytes
What are the arrows pointing to?

Pinealocytes
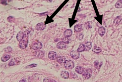
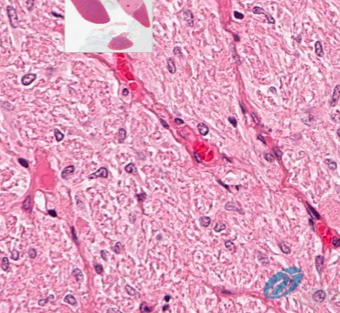
what is the following image

Neurohypophysis with pituicytes and herring bodies
What is the following image showing?

Hypophysis/pituitary gland. Masons stain
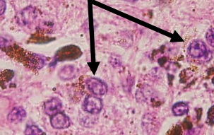
What is the arrow pointing to?

Herring body -They represent the terminal end of the axons from the hypothalamus and hormones are temp. stored in these locations.
What is the following image showing?

Pineal gland