What is hypertrophic osteopathy? What is it a sign of? What occurs? What clinical signs may you see in a patient?
• Hypertrophic osteopathy
◦ Paraneoplastic syndome related to space occupying lesion in the thorax
◦ You will see proliferation of bone in the periosteum. Usually the dog will appear painful with lameness and swollen limbs. Particularly occurs in the long bones.

What is one way to diagnose Psittacosis? What is the most ideal way to diagnose it?
You can do a gram stain to see if it is a gram negative bacteria. Since you cant differentiate it from another gram negative bacteria you should use, machiavelli stain, since the elementary bodies will apear a periwinkle color. To be 100% sure you must use IHC or In situ hybridization.
What are permenant, quiescent/ stable, continous/ cycling labile cells?
What is the route of transmission for avian pox?
Transmission:
- Insect bites, skin lacerations
What is the common name for psittacosis?
Pirates disease
What is gastric carcinoma? What can be seen in tumors of this kind? Where do these tumors arise from, who is it common in? What tissue is involved in this? Ect?

What is the likely cause of this lesion?

Canine TVT
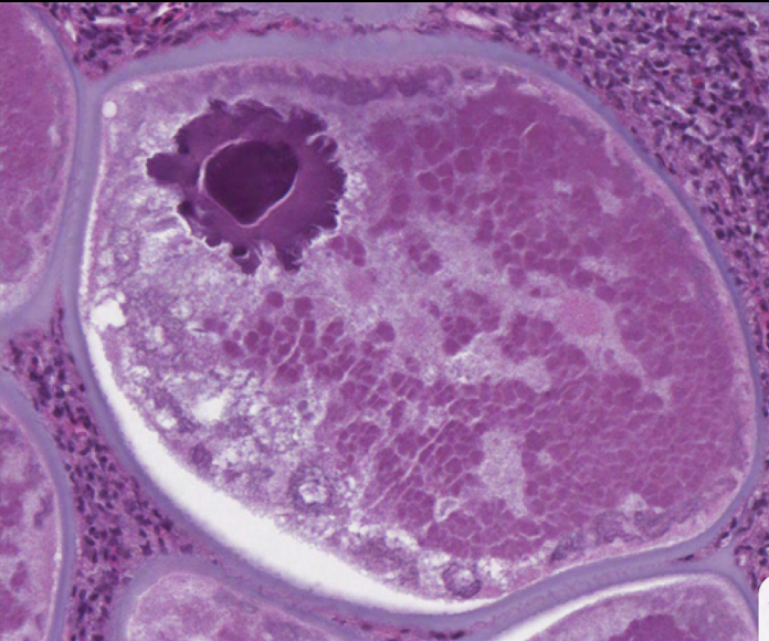
What is seen in this image? What is the large dark puple area in the upper left corner? What are the small dots surrounding the large cell?

This is a fibroblast with lymphocystis. It is up to a million times larger than normal. The fibroblast keeps growing and growing.
The small dots are the nuclei of normal sized cells. The large dark purple area is the nucleus of the infected cell.
What is the strongest argument for immune survailences role in cancer? Are the survailence mechanisms as effective as they should be?
• Unfortunately tumor immune surveillance mechanisms are not as
effective as they should be. The reason is that tumor cells have the
capability to develop mechanisms to evade the immune system of
the immunocompetent host.
Where is it difficult to import from due to concerns for BSE?
Alberta Canada.
ALSO IMPORTANT


What is paraesthesia?
Paresthesia: abnormal sensation of the
skin (tingling, pricking, chilling, burning, numbness) with no apparent physical cause.
What stain is depicted here for this gram negative bacteria? What is the bacteria and what can be seen in this image?

Machiavelli stain - you will see elementary bodies staining a fuschia color. This is psittacosis.
How do prions cause metabolic dysfunction of neurons/ neural cells?
in short -> changes normal protein to prion protien/ mutated protein.
What is carcinogenesis?
Carcinogenesis is a multistep process at both the phenotypic and genetic level -> tumor progression.
What is the transmission route of psittacosis? What is important about the bacteria in the environment. What kind of disease can it cause in humans?
Transmission:
- Via respiratory droplets, feather dust,
feces
- Inhalation, ingestion or mucosal
(conjunctival) contact
-Survives desiccation
In humans Respiratory disease may be severe, even if you are not immunocompromised you can get bad pneumonia.
What can paraneoplastic syndromes indicate in patients? Why are they important?
What is a way they can treat Canine TVT?
What is differentiation/ anaplasia?
a) Differentiation/ Anaplasia
“ Refers to the extend to which parenchymal cells resemble the correspondent normal parenchymal cells, both morphologically & functionally
“ Benign tumors are well -differentiated
“ Malignant neoplasms can be well - differentiated or undifferentiated (the latter are said to be “anaplastic”).
What are the steps of change from normal protein to prion protein?
Explaination corresponds to the image attached with numbers indicating the steps.
1.) Prion protein looks similar but is slightly different. Slightly different in a way that makes the protein useless. “ kinda similar, but kinda useless”
2 .) and 3.) Prion interaction begins to cause normal protein to change shape and replicate as the useless prion protein.
3.) This useless protein begins to accumulate in the cytoplasm. You cannot get rid of it.
Essentially a buld up of alot of useless protein and loss of function of normal protein.

What is grading of tumors? What are they classified by? And why is it useful?
• Grading: Gives a semi-quantitative evaluation of the degree of
differentiation of the tumor. Cancers are classified from I to IV with
increasing anaplasia.
• Although histologic grading is useful, histologic appearance not always correlates with biologic behavior.
What is the morphologic diagnosis of these images?
Etiologic diagnosis?
Disease name?

Morphologic diagnosis: Acute severe diffuse necrotizing/ proliferative dermatitis
What species can get chronic wasting disease? Is this a wild animal problem?
White tailed Deer, Mule Deer and Moose.
Can be found in captive and domestic species.
What are the diffences between benign and malignant tumors in the following categories?
Differentiation
Benign: Well differentiated morphologic features and function. Structure similar to tissue of origin, little or no anaplasia.
Malignant: Poorly differentiated, morphologic features and function. Tissue of origin sometimes unclear. Variable degrees of anaplasia
Growth Rate
Benign: Slow, progressive, expansion, rare mitotic figures, notmal mitotic figures, little necrosis.
Malignant: Rapid growth, frequent mitotic figures, abnormal mitotic figures, necrosis if poor blood supply.
Local Invasion
Benign: No invasion, cohesisve and expansile growth. Capsule often present
Malignant: Local infiltrative growth, capsule often absent or incomplete
Metastisis
Benign: No metastisis
Malignant: Metastasis sometimes present.