identify the luxator

A
B is coupland’s elevator
C is right cryer’s elevator
which number of forcept woudl you use to extract 11?
a - 74
b - 101
c - 2
d - 73
C - 2 (upper straight)

upper straight forceps for
maxillary incisors and canines
2

upper universal forceps for
maxillary premolars
76

upper molar forceps for
maxillary first and second molars
94 (right) and 95 (left)
beak to cheek

upper bayonet forceps for
upper third molars
101

lower universal forceps for
mandibular incisors, canines and premolars
74 and 74N (roots)

cowhorn forceps for
mandibular first and second molars
86
squeeze out

lower molar forceps for
mandibular first and second molars
73

extraction movements
buccal expansion - single rooted
figure of 8 - multi rooted
apical pressure for all
demonstarte how you would use a luxator on 26 XLA
Say you would wash your hands
Turn light on
anaesthetise area - 2 buccal infiltrations and 1 palatal
pt head at level of elbow
place finger and thumb of non-dominant hand on either side of the tooth to be extracted
once in PDL, the luxator is worked down the length of the root with rotation and apical pressure
cuts the PDL fibres and expands the socket
restoring 46
please place rubber dam
wash hands, gloves, light on, lower pt
tie floss around the appropriate clamp
place clamp first then rubber dam over with holes punched in (adj for restoration, single tooth for endo)
flick the rubber dam over the wings of the clamp
floss ligatures
wedjets
place the frame - make sure the pt airway not blocked at nose (fold if needed)

demonstrate how to assemble and give an IDB whilst describing the process
check expiry date and batch number
Lidocain not articaine for block - neurotoxic
long needle for block
aim 10mm above the occlual plane
inject syringe from opposite premolars and advance 2.5-3cm
hit bone and withdraw
aspirate
deposite 2/3 cartride and retract whilst depositing to get lingual nerve
impressions remember
adhesive
eval impression - anatomy should be seen
behind for uppers, in front for lower
breather through nose, wiggle toes
lift lip massage to capture anatomy
endo irrigation
choose correct irrigant (sodium hypochlorite),
luer lock syringe,
use index finger to plunge as more sensitive than thumb
describe the appearance

1 ulcer present on the right labial mucosa
inflammatory halo around yellow/grey base
oval in shape and sharply defined
what Qs to ask when taking this pt’s history

about ulcer(s)
about them
possible causes of uclers
managament apparoaches for ulcers
56yo pt had severe toothache for 4 weeks from upper right first molar which suddenly stopped
tooth was asymptomatic on the day he attended, he reported ‘part of the tooth came off recently’ whilst he was chewing
pt smokes 20/day and is a nocturnal bruxist
takes warfarin for atrial fibrilation
BPEs
2 2 2
2 2 2

introduce yourself
check ID
check MH and SH - recognise warfarin as bleeding risk
social history
Pick out main bits
56yo pt had severe toothache for 4 weeks from upper right first molar which suddenly stopped
tooth was asymptomatic on the day he attended, he reported ‘part of the tooth came off recently’ whilst he was chewing
pt smokes 20/day and is a nocturnal bruxist
takes warfarin for atrial fibrilation
BPEs
2 2 2
2 2 2
FURTHER SPECIAL INVESTIGATIONS?

probing depth - perio disease, #
tooth sleuth - # cusps
test cavity - last resort if unsure on tooth’s vitality status
how to explain dx to pt
BPE
2 2 2
2 2 2

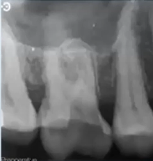
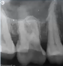
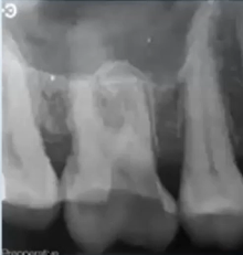
Large radiolucency – caries
Darkness, shadow that’s the decay/hole in your tooth, gone too far for us to save it as it have reached the nerves inside the tooth
Not sure if be able to restore it as since such a large proportion of it is decayed - empathy
BPE scores – have plaque and calculus in your mouth which can lead to advanced gum disease so need to go through Tx and instructions to help reduce this, smoking will also contribute to this
how to explain tx options to pt
list all tx options - split into immediate (pain relief), medium term, long term
explain risks and benefits of each option
explain it must be holistic decision taking into account the pt concerns, MH. OH, financial cost and biologic cost (price of the teeth/mouth will have to pay if go ceratin option)
56yo pt had severe toothache for 4 weeks from upper right first molar which suddenly stopped
tooth was asymptomatic on the day he attended, he reported ‘part of the tooth came off recently’ whilst he was chewing
pt smokes 20/day and is a nocturnal bruxist
takes warfarin for atrial fibrilation
BPEs
2 2 2
2 2 2
IMMEDIATE MANAGEMENT
give cooling period for pt to have time to decide