Extrathoracic Structures Flashcards

(16 cards)

1
Q

What 4 divisions if the thorax divided into for interpretation?

A
  1. extrathoracic structures
  2. pleural space
  3. pulmonary parenchyma
  4. mediastinum
How well did you know this?
1
Not at all
2
3
4
5
Perfectly
2
Q

What are 4 important parts of the thoracic limbs that should be observed in thoracic radiographs?

A
  1. scapula - aggressive lesions, fractures
  2. glenohumeral joints - DJD, osteochondrosis, aggressive joint tumors
  3. humerus - proximal metaphysis aggressive lesions; diaphyseal metastatic disease, hypertrophic osteopathy, osteomyelitis
  4. cubital joints - DJD, septic arthritis, aggressive joint tumor
How well did you know this?
1
Not at all
2
3
4
5
Perfectly
3
Q

Thoracic limbs of thoracic radiographs:

A
  • normal cartilaginous growth of physis at proximal humerus
  • periarticular osteophyte proliferation at glenohumeral joint and sternebrae
How well did you know this?
1
Not at all
2
3
4
5
Perfectly
4
Q

What are 3 important structures in the cervical spinal area that should be observed on thoracic radiographs?

A
  1. trachea - size, luminal opacity, redudant dorsal tracheal membrane (trachealis collapse)
  2. esophagus - size, luminal opacity
  3. cervical spine - IVD degeneration, aggressive vertebral body lesions
How well did you know this?
1
Not at all
2
3
4
5
Perfectly
5
Q

Where are foreign bodies most commonly lodged in the esophagus?

A

thoracic inlet

How well did you know this?
1
Not at all
2
3
4
5
Perfectly
6
Q

Tracheal collapse:

A

redundant trachealis membrane

How well did you know this?
1
Not at all
2
3
4
5
Perfectly
7
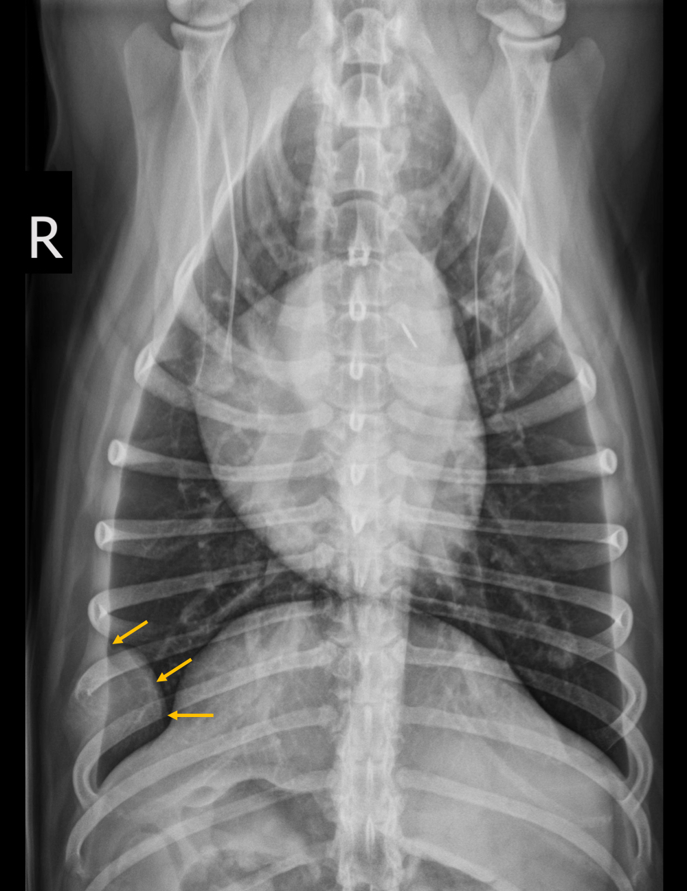
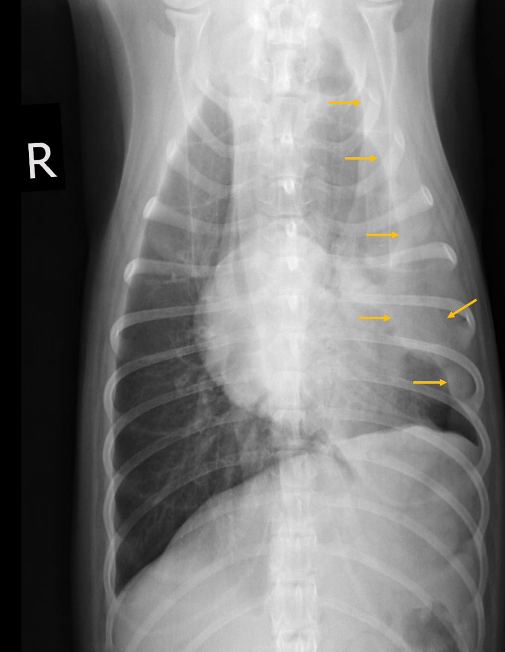
Q

Thoracic spine, ribs, and sternum:

A
  • VSD: osseous formation on ventral vertebral bodies
  • ventral radiopaque line secondary to rib/costal cartilage degeneration
  • costal cartilage fracture and callus formation
How well did you know this?
1
Not at all
2
3
4
5
Perfectly
8
Q

What is seen in these thoracic radiographs?

A
  • sternal lysis and collapse with soft tissue swelling
  • multiple, small pulmonary nodules
  • osteolytic diaphysis and osteophyte formation
How well did you know this?
1
Not at all
2
3
4
5
Perfectly
9
Q

What is seen in this radiograph?

A

expansile soft tissue lesion —> rib lysis, loss of cortices

How well did you know this?
1
Not at all
2
3
4
5
Perfectly
10
Q

What is likely happening in this radiograph?

A
  • large soft tissue mass - opacity extends into thorax
  • rib lesions
  • mass displaces cardiac silhouette to the left
How well did you know this?
1
Not at all
2
3
4
5
Perfectly
11
Q

How is diaphragmatic integrity observed?

A
  • observation of diaphragmatic margins (pleural surfaces)
  • lack of visualization of part of the diaphragm, likely by pleural fluid, pulmonary masses, or rupture
  • cranial displacement of abdominal contents
How well did you know this?
1
Not at all
2
3
4
5
Perfectly
12
Q

What is occurring in this radiograph?

A
  • left crura is cranial on a right lateral projection
  • gas and mineral opacity indicative of ingesta = herniated intestine in thorax!

(secondary to diaphragmatic rupture)

How well did you know this?
1
Not at all
2
3
4
5
Perfectly
13
Q

What is seen in this radiograph?

A
  • L crus displaced cranially
  • border effacement between heart and small intestine/effusion displaces into thorax
How well did you know this?
1
Not at all
2
3
4
5
Perfectly
14
Q

What 2 organ systems are able to be seen in the cranial abdomen in a thoracic radiograph? What should be observed?

A
  1. liver and biliary tree
  2. stomach

peritoneal detail - pneumoperitoneum, pneumoretroperitoneum, abdominal effusion

How well did you know this?
1
Not at all
2
3
4
5
Perfectly
15
Q

What is seen in these radiographs?

A
  • pneumoperitoneuum
  • metallic staples secondary to surgery

collection of gas likely a complication to the surgery

How well did you know this?
1
Not at all
2
3
4
5
Perfectly
16
Q

What is seen on this radiograph?

A
  • malpositioned stomach with gas within gastric wall (pneumatosis gastri)
  • also gas within portal vasculature

GDV!