What are the three C’s?
Contour
Colour
Cup

Normal Optic Disc

Normal disc - small common in hypermetropes

Open Angle Glaucoma

Dry Age Related Macular Degeneration - drusen

Proliferative Diabetic Retinopathy

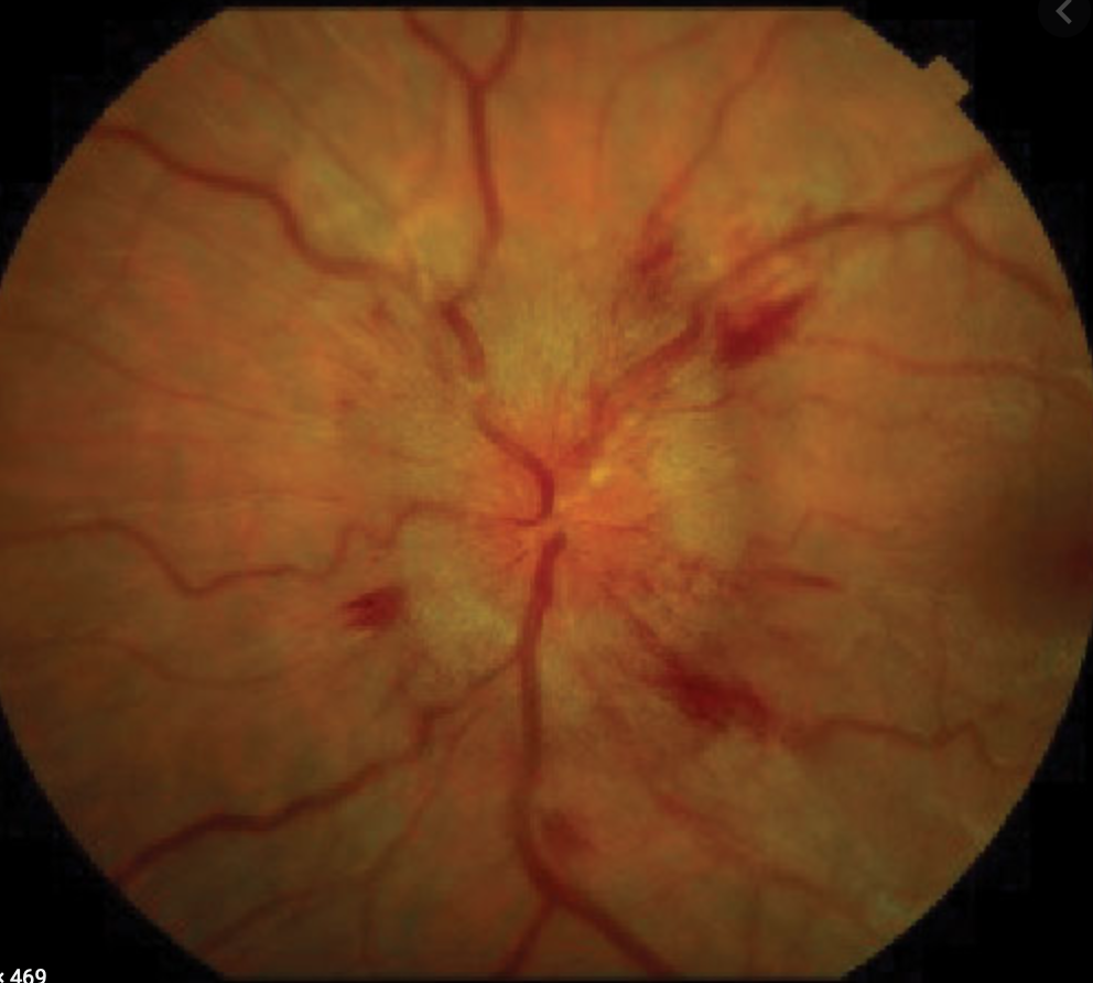
Papilloedema

Hypertensive retinopathy

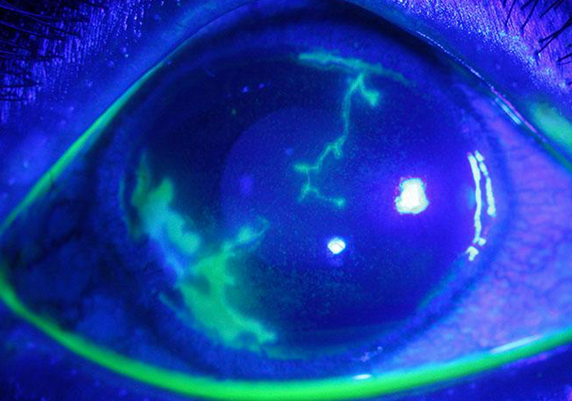
Dendritic ulcer in herpes keratitis

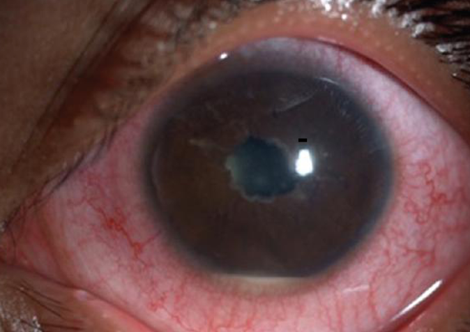
Uveitis

Glaucoma
*

Cataracts

Diabetic Retinopathy

Panretinal Photocoagulation

ARDM

Dry ARDM

Retinal Detachment

Central Vein Occlusion

Giant Cell Arteritis

Vitreous Haemorrhage

Papilloedema

Central Artery Occlusion
Pale with cherry red spot

Optic Neuritis