Achalasia
Ineffected - 1. parastalsis, 2. swallowed induced relaxation of L esophageal sphinctor
Sxs
Dx
Tx
Acute and Chronic Pancreatitis
dx
Dx:
Ranson’s Criteria
At admission:
48 hrs after admission
Acute Pancreatitis
eti, sxs
MC gallstones, 2/2 ETOH N/V
Sxs:
Acute Pancreatitis
tx
Mild - bowel rest NPO Pain control Severe - ICU
Anal Abscess and Fistula
Dx, tx
Clinical
I&D followed by WASH
Anal Abscess
eti, sxs
Bacterial infx of perianal ducts/glands - MC S Aureus
MC posterior rectal wall
Sxs:
Anal Fissures
dx and tx
Anal Fissures
eti, sxs
Painful, linear tear/crack low fiber diet
MC in posterior midline
2/2 Crohn’s and Granulomatous (TB or sarcoid)
Sxs:
Anal Fistula
eti, sxs
open tract btwn two epithelial-lined areas
MC with Crohn’s
Sxs:
Anorexia Ddx
Appendicitis
Gastric Ulcers
Duodenal Ulcers
Gastric Cancer
Lower GI Bleed
Carcinoma of GB
Pancreatic carcinoma
Appendicitis
Obstruction of appendix,
MC d/t fecalith, malignancy, inflammation, foreign body
Sxs:
Dx
Tx
Bariatric Surgery
complications
Early complications
Late complications
Bariatric Surgery
types
Indications
Restrictive procedures - less extensive but less wt loss +decr in morbidity
Malabsorptive procedures - more wt loss, but probs with malnutrition
Combination of restrictive and Malabsorptive procedures
Large Bowel Obstruction
Causes - volvulus, adhesions, hernias, colon cancer (MCC in elderly ppl)
Sxs:
Dx:
Tx:
Small Bowel Obstruction
MCC - adhesions d/t previous abd surgeries
Sxs:
Dx
Tx
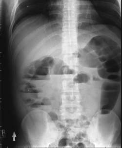
Volvulus
Bowel Obstruction
Twisting of any part of the bowel @ its mesenteric attachment site
MC Sigmoid Colon & cecum
Sxs - obstruction
Dx - KUB series
Tx -

Cholangiocarcinoma
Neoplasms
Rare biliary tumor, MC adenocarcinoma
RF - PSC, parasitic infx
Klatskin tumor - hilar cholangiocarcinoma (MC at junction of R and L main hepatic ducts)
Sxs
Dx - usu found late
Tx - improved prognosis if complete resection of tumor
Cholangitis
dx, tx
Dx:
Tx with Abx - Ceft + Metro - Zosyn (pip/tazo)
Cholangitis
eti, sxs
info of biliary tract 2/2 to obstruction - gallstones
MC Ecoli or Kleb
Charcot’s Triad
Reynold’s Pentad
Cholecystitis
dx & tx
Dx with RUQ US >3mm
HIDA scan (gold std)
Tx:
NPO IV fluids Abx (ceft + metron) Definitive - cholecystectomy
Cholecystitis
eti, sxs
Inflammation of GB
MC gall stones
Sxs:
Choledocholithiasis
dx, tx
Trans abd US gold - ERCP extraction tx
cholecystectomy definitive
Choledocholithiasis
eti, sxs
GS in Common Bile Duct
1ry - formation of gs in CBD
2ry - passage of gs from GB to CBD
Sxs:
asymp 50%
Biliary colic w/ RUQ tenderness +/- jaundice
may lead to shock