GI System Flashcards

(155 cards)

1
Q

what are the important factors of the GI in Dentistry?

A
  • Oral cavity is gateway to the digestive tract
  • GI disorders have far reaching
    consequences for systemic heath
  • Many oral conditions linked to GI
    disorders
  • Nutrition is a big part of what we do as
    dentists
  • Many drugs we prescribe have
    implications for the GI system
How well did you know this?
1
Not at all
2
3
4
5
Perfectly
2
Q

oral manifestations of GI dysfunction (3)

A

Crohn disease

ulcerative colitis

angular cheilitis

How well did you know this?
1
Not at all
2
3
4
5
Perfectly
3
Q

digestive system is essentially a ______ plant

A

processing plant

steps:
receives raw products

break them down
extract the parts that are needed

extrudes the rest

How well did you know this?
1
Not at all
2
3
4
5
Perfectly
4
Q

two general parts of digestive system

A

intake and processing

extraction and disposal

How well did you know this?
1
Not at all
2
3
4
5
Perfectly
5
Q

gut tube starts at the …

A

esophagus

How well did you know this?
1
Not at all
2
3
4
5
Perfectly
6
Q

how many layers in esophagus?

A

4 layers

mucosa, submucosa, muscularis, serosa/advenrtitia

How well did you know this?
1
Not at all
2
3
4
5
Perfectly
7
Q

gut tube layers and tissue

A

1) Mucosa:
Epithelium, Lamina
Propria, Muscularis Mucosa

2) Submucosa:
Dense irregular
connective tissue

3) Muscularis:
Mostly smooth
muscle

4) Serosa/Adventitia:
Connective tissue binding
everything together

How well did you know this?
1
Not at all
2
3
4
5
Perfectly
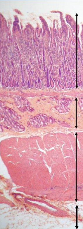
8
Q

identify the layers

A
How well did you know this?
1
Not at all
2
3
4
5
Perfectly
9
Q

identify the tissues associated with each layer

A
How well did you know this?
1
Not at all
2
3
4
5
Perfectly
10
Q

adventitia vs serosa

A

serosa: connective tissue which is covered with mesothelium

adventitia: connective tissue without the lining layer, usually attaches one organ to another

How well did you know this?
1
Not at all
2
3
4
5
Perfectly
11
Q

mesothelium

A

simple squamous epithelium
forming internal lining

How well did you know this?
1
Not at all
2
3
4
5
Perfectly
12
Q

retroperitoneal organs will have both adventitia and serosa and are where …

A

adventitia where organs are attached to one another, serosa everywhere else

How well did you know this?
1
Not at all
2
3
4
5
Perfectly
13
Q

label

A
How well did you know this?
1
Not at all
2
3
4
5
Perfectly
14
Q

label

A
How well did you know this?
1
Not at all
2
3
4
5
Perfectly
15
Q

salivary glands

A

lubrication
amylase

How well did you know this?
1
Not at all
2
3
4
5
Perfectly
16
Q

what happens in the oral cavity (GI System)?

A

chewing: breaks down food into managable pieces, starts forming food into bolus

saliva: softens and lubricates bolus

amylase begins breakdown of starches

swallowing: voluntary muscle introduce bolus into the oropharynx

How well did you know this?
1
Not at all
2
3
4
5
Perfectly
17
Q

peristalsis of pharynx

A
How well did you know this?
1
Not at all
2
3
4
5
Perfectly
18
Q

label

A
How well did you know this?
1
Not at all
2
3
4
5
Perfectly
19
Q

“gatekeeper” in GI system

A

epiglottis

How well did you know this?
1
Not at all
2
3
4
5
Perfectly
20
Q

three parts of the pharynx

A

nasopharynx

oropharynx

laryngopharynx

How well did you know this?
1
Not at all
2
3
4
5
Perfectly
21
Q

what are the two smooth muscle layers in digestive tract?

A

longitudinal (outer layer)

circular (inner layer)

How well did you know this?
1
Not at all
2
3
4
5
Perfectly
22
Q

peristalsis

A

adjacent segments of alimentary tract
organs alternately contract and relax, moving food
along the tract distally

How well did you know this?
1
Not at all
2
3
4
5
Perfectly
23
Q

segmentation

A

non adjacent segments of
alimentary tract organs alternatively contract and
relax, moving food forward, then backward. Food
mixing and slow food propulsion occurs.

How well did you know this?
1
Not at all
2
3
4
5
Perfectly
24
Q

pharynx is a “____ ___”

A

muscular tube

How well did you know this?
1
Not at all
2
3
4
5
Perfectly
25
what is the part of the digestive tract that doesn't have 4 layers?
pharynx
26
what sections are missing from the pharynx that is present in the rest of GI system?
no muscularis mucosa no submucosa
27
what are the three histological layers of the pharynx?
muscosa (non-keratinized stratified squamous epith) muscularis externa adventitia
28
active swallowing causes the ___ ____ to press against the back of the nasoppharynx, sealing it off
soft palate
29
the ____ blocks off the oral cavity the _____ moves down to block the trachea
tongue epiglottis
30
trachealis muscle allows for _____ _____ of trachea
partial collapse
31
the upper _____ _____ opens allowing the food bolus to engage the upper esophagus
esophageal sphincter
32
4 histological layers of the esophagus
1-Mucosa (with stratified squamous epithelium) 2-Submucosa 3-Muscularis externa 4-Adventitia
33
esophageal muscle types:
Upper 1/3 is skeletal Middle 1/3 is mixed smooth and skeletal Lower 1/3 is all smooth involuntary
34
esophageal glands are found in the ____ and ____ ____
Found in the submucosa and lamina propria *Add secretions to aid passage down the tube
35
the esophagus meets the stomach at the ____ ____ ____
lower esophageal sphincter
36
esophageal sphincter is composed of ____ (tissue)
smooth muscle *muscularis externa
37
when the esophageal sphincter dilates, what happens?
allow things into the stomach, then contracts the keep stomach contents in the stomach
38
stomach contents, including acid, enter the esophagus causing irritation/inflammation
GERD gastro-esophageal reflux disease
39
acidic fluid plus bolus =
chime
40
at the esophageal/stomach junctions, the epithelium changes from stratified squamous to ...
simple columnar
41
lipase is secreted to break down ____ in the stomach
lipids
42
pepsin is secreted to break down ____ in the stomach
proteins
43
amylase breaks down _____ in the stomach/oral cavity
carbohydrates
44
what are the four main parts of the stomach
1) Cardia – the pathway into the stomach 2) Fundus – upper curvature 3) Body – main, largest region of the stomach 4) Pyloris – where stomach joins small intestine
45
parasympatheitic nervous system will make muscularis externa do what?
contract when food is present in the stomach
46
stomach regions and there characteristics
Cardia: pits are shorter than glands (connect with lamina propria) Body/Fundus: relatively long glands, but pits are more defined than in cardia Pyloris: longer pits and shorter glands
47
gastric gland vs pit
48
stomach cells are their secretants
49
gastric glands contain ____ and ____ cells
parietal and chief cells
50
parietal vs chief cells
Parietal cells – produce and secrete gastric acid and intrinsic factor - Chief cells – produce and secrete pepsin and lipase
51
pyloric glands are primarily _____ glands
mucous
52
where are G cells found?
pyloric glands
53
what do G cells secrete?
gastrin
54
Stem cells are found in the ____ of the gland (in isthmus between pits and glands)
Stem cells are found in the TOP of the gland (in isthmus between pits and glands)
55
what does the mucous in the stomach lining do?
protects the tissues from acids and enzymes
56
Surface mucous cells are more _______in shape and secrete ______
Surface mucous cells are more "columnar" in shape and secrete "bicarbonate"
57
surface mucous cells secrete _____ and ____
bicarbonate and mucous
58
Mucous neck cells are more _____ in shape, have apical granules, but fewer of them.
Mucous neck cells are more "round" in shape, have apical granules, but fewer of them.
59
parietal cells secrete...
gastrin, acetylcholine, histamine, and gastric intrinsic factor (GIF)
60
gastric intrinsic factor for _____ absorption
B12
61
loss of gastric intrinsic factor leads to...
pernicious anemia (B12 not absorbed)
62
chief cells secrete...
pepsinogen (pepsin) gastric lipase
63
where are chief cells found?
bottom of the gastric glands
64
G cells are part of the _____
DNES diffuse neuroendocrine system
65
in the stomach, DNES cells secrete 4 main things:
1 - Gastrin and Histamine: triggers HCl secretion by parietal cells 2 – Ghrelin: peptide hormone – signals hunger to the brain 3 – Serotonin: neurotransmitter - Produces psychotropic effects from eating etc.
66
what cells are the messengers to the rest of the body signaling what is in the stomach and how much is there?
G cells
67
what controls parietal cell acid production
Gastrin Releasing Peptide (GRP)
68
three phases of the gastric secretion control
1. cephalic phase 2. gastric phase 3. intestinal phase
69
what phase?
cephalic phase
70
what phase?
gastric phase
71
what phase?
intestinal phase
72
label
73
74
three segments of the small intestine
duodenum jejunum ileum
75
duodenum is the site of...
most chemical digestion Bile from Gall Bladder – fat digestion Bicarbonate and digestive enzymes from Pancreas – fat, protein, carb digestion Mucous produced by Brunner’s Glands
76
bile is ____ digestion
bile
77
bicarbonate and digestive enzymes from pancreas digest (3)
fat protein carbohydrates
78
jejunum absorbs the digested things from the...
duodenum
79
ileum absorbs ____-____ ____
bile-lipid micelles and anything not absorbed in the jejunum
80
peyer's patches?
ileum?
81
organs that contribute to digestion (4)
liver bile duct gallbladder pancreas
82
liver, gallbladder, and bile duct produce ___ for ___ digestion
bile fat digestion
83
pancreas makes ____ and ________ to digest (3)
bicarbonate and digestive enzymes fat, protein, carbohydrate digestion
84
small intestine has an extremely large surface area due to ..(4)
length (22 ft) plica circulares (circular folds - absorb area 3X) villi (absorb area 10X) microvilli (absorb area15-40X)
85
plica circulares
circular or semilunar folds in the lining of small intestine
86
plica circulares consist of ... (2 layers)
mucosa submucosa
87
plica circulares is most pronounced in...
jejunum
88
villi are ...
dense covering of fingerlike projections
89
internal tissue of villi
lamina propria with microvasculature, lacteals and lymphatics – absorb fats
90
external tissue of villi
columnar epithelium
91
where are microvilli found?
apical ends of villi in the small intestine
92
microvilli increase absorption by
15-40 X
93
brush border is...
closely packed microvilli
94
____ glands secrete an alkaline fluid composed of mucin
Brunner *in duodenum
95
what does the the alkaline fluid (mucin) do? (secreted by Brunner's gland in the duodenum)
this exerts a physiologic anti-acid function by coating the duodenal epithelium, protecting it from the acid chyme of the stomach
96
Brunner's Gland
97
circular folds in the jejunum force ____ to spiral through the lumen
chyme *this slows it down for nutrient absorption
98
what feature of the jejunum help slow the speed at which chyme travels?
plica circulares (circular folds)
99
Ileum has ____ patches
Peyer's Patches
100
what are Peyer's patches?
in the ileum Lymphoid tissue seen as thickened patches in the ileum (storage unit for immune cells)
101
Peyer's patches in the Ileum
102
what do the Peyer's patches store in the ileum?
immune cells
103
MALT stands for
Mucosal Associated Lymphatic Tissue
104
how doe Peyer's patches recognize antigens in the lumen?
1. M cells 2. endocytosis of antigens (bring them to lymphocytes and dendritic cells) 3. immune response (AB production) 4. MALT (lymphoid tissue)
105
MALT is _____ tissue found in carious _____ ______ sites
lymphoid tissue submucosal membrane
106
MALT contains what four cells
T cells, B cells, Plasma cells, and Macrophages plus M cells
107
the epithelium of the small intestine is ....
simple columnar with microvilli projections
108
enterocytes are...
absorptive columnar cells in the mucosa of small intestine
109
goblet cells are...
mucous-producing cells in the mucosa of small intestine
110
enteroendocrine cells are...
local and systemic signals relating to digestion and transit in mucosa of small intestine
111
paneth cells are...
antimicrobial molecule secreting cells that regulate immune response in mucosa of small intestine
112
whare are four cells in the mucosa of small intestine?
enterocytes goblet cells enteroendocrine cells paneth cells
113
5 steps of lipid absorption
114
5 steps (in words): lipid absorption
1. Bile acids emulsify fats to micelles (liquid droplets) 2. Gastric lipase digests lipids to produce glycerol, FA (fatty acid) and monoglycerides 3. These are packaged as micelles and diffuse across the cell membrane entering the cell 4. Resynthesized in SER to triglycerides (glycerol plus 3 fatty acids) then pass through the RER, Golgi - eventually packaged into chylomicrons (lipid and protein) 5. Chylomicrons enter the lymphatic system and are transported throughout the body
115
Because of Lipid entry into the lymph circulation, fats end up in the tissues, bypassing the liver, unlike _____ and _____
carbohydrates and proteins
116
enterocytes secrete
disaccharidase & amino peptidases
117
disaccharides and dipeptides are digesting into
monosaccharides and amino acids
118
amino acids are absorbed via
active co-transport with sodium
119
carbohydrates are absorbed via __ with __ or __
active co-transport with sodium (glucose, galactose) or direct diffusion (fructose)
120
Water absorption in small intestine
- Sodium comes in with co-transporters and is pumped out of the lumen of the intestines - This creates a high sodium concentration in the intercellular space - Water diffuses from the lumen into the intercellular space and eventually into capillary blood
121
the vessels responsible for absorption are located in the...
lamina propria in the center of each villus
122
blood vessels for ____ and _____ lacteals for _____
blood vessels for proteins and carbohydrates lacteals for lipids
123
diarrhea is caused by...
an imbalance in the physiologic mechanisms of the GI tract, resulting in impaired absorption and excessive secretion
124
____ million children die yealry from diarrhea
1.6 mil
125
one of the main functions of the GI tract is to reabsorb ____
water
126
types of diarrhea
127
paneth cells are...
Paneth Cells are secretory epithelial cells located at the ends of intestinal crypts
128
Crypts of Lieberkuhn
intestinal crypts
129
what cells are intestinal crypts
paneth cells
130
function of paneth cells in the intestinal crypts
secretion of antibacterial proteins into the crypt lumen, thereby providing protection for the stem cells which line the crypt walls
131
Enteroendocrine cells are
distributed throughout the small intestine. They regulate digestion by responding to certain chemical signals and environmental cues They help the GI Tract keep track of what is where so it can respond appropriately.
132
secretin...
stimulates HCO3 and H2O secretion by the pancreas and bile ducts. It inhibits H+ production by the parietal cells in stomach.
133
CCK (cholecystokinin)...
stimulates pancreatic acinar cell secretion and smooth muscle contraction by the gall bladder. Signals immediate satiety to the brain.
134
GIP (gastric inhibitory peptide, glucose dependent insulinotropic hormone)...
stimulates insulin secretion by beta cells in pancreas
134
135
Peptide YY...
signals long term satiety to the brain
136
Muscularis mucosa (intestinal motility)
produce local movements of villi and plica circulae in order to gently mix/expel contents in the intestinal crypts.
137
submucosal plexus (intestinal motility)
submucosal plexus is a collection of parasympathetic nerve fibers which regulate contraction
138
muscularis externa (intestinal motility)
-Primary source of intestinal motility -Same circular/longitudinal bands as upper tract -The myenteric plexus (Aeurbach’s plexus) – collection of both sympathetic and parasympathetic nerve fibers as well as sensory nerves that regulate GI function
139
large intestine consists of
cecum colon rectum anal canal
140
functions of the large intestine
1- absorb water, electrolytes, little nutrients 2- secrete bicarbonate and mucous 3- store indigestible material as feces
141
The large intestine is ___ meters long
1.5 meters
142
colon layers
143
in the colon, the mucosa lacks ____
villi
144
what penetrates the mucosa in the colon?
tubular intestinal glands
145
what cells are in the mucosa of the colon?
goblet cells absorptive cells (colonocytes)
146
the colon has active fluid absorption that ______ the feces
dehydrates
147
tubular intestinal glands are ____ (epithelium_
simple columnar
148
The outer layer of colon has three extra longitudinal bands called the
taeniae coli
149
In the colon, the taeniae can produce a ‘___ ____’ designed to empty whole sections of the colon
mass movement
150
what is the transitional zone between mucosa of the GI tract and the external skin, which sort of wraps around and “tucks in.”
anal canal junction
151
what tissue is in the external anal sphincter?
skeletal muscle
152
when swallowing and it "goes down the wrong tube", which of the following has occurred: a. upper esophageal sphincter relaxed and let food enter trachea b. lower esophageal sphincter relaxed and let food enter trachea c. epiglottis action delayed or incomplete, allowing food to enter the trachea d. esophageal glands are not working and the esophagus inadequately lubricated to receive food bolus
c. epiglottis action delayed or incomplete, allowing food to enter the trachea
153
the pharynx differ histologically from the rest of the GI tract by this feature: a. has both circular and longitudinal muscle fibers in the muscularis ecterna b. does not have muscularis mucosa or a submucosa c. is covered by an adventitia layer not a serosa layer d. contains Auerbach's plexis of nerves in muscularis external to control motility
b. does not have muscularis mucosa or a submucosa
154
question #3-7 from mal