Glaucoma 5- Modern imaging techniques Flashcards

(50 cards)

1
Q

What does OCT stand for?

A

Optical Coherence Tomography

How well did you know this?
1
Not at all
2
3
4
5
Perfectly
2
Q

What does tomography mean?

A

Produces images by sections

How well did you know this?
1
Not at all
2
3
4
5
Perfectly
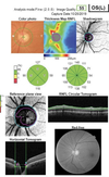
3
Q

This is a nice way of what an OCT shows, just for your information

A
How well did you know this?
1
Not at all
2
3
4
5
Perfectly
4
Q

Does an OCT only image the retina?

A

No- it can image other parts of the eye such as the cornea too

How well did you know this?
1
Not at all
2
3
4
5
Perfectly
5
Q

What are the 2D scans called from an OCT?

A

B-scans

How well did you know this?
1
Not at all
2
3
4
5
Perfectly
6
Q

What are B-scans made up from

A

A group of A-scans

How well did you know this?
1
Not at all
2
3
4
5
Perfectly
7
Q

What are c-scans?

A

A bunch of b-scans to see a structure in 3D, useful in investigating structures in the Renita

How well did you know this?
1
Not at all
2
3
4
5
Perfectly
8
Q

How does a Time domain OCT work?

A
  • infrared light is split into two arms by a beam splitter
  • these arms are sample arm and reference arm
  • There is a mirror that reflects the light back
  • The amount of light reflected back is dependent on reflectivity values of different tissues
How well did you know this?
1
Not at all
2
3
4
5
Perfectly
9
Q

What does the green line show?

A

An A scan

How well did you know this?
1
Not at all
2
3
4
5
Perfectly
10
Q

How are successive A-scans taken?

A

The mirror is tilted

How well did you know this?
1
Not at all
2
3
4
5
Perfectly
11
Q

What do Frequency-domain OCTs involve?

A

No mirror movement, Uses a broadband interference of using different frequencies of the light source which corresponds to different penetration in the tissues instead

How well did you know this?
1
Not at all
2
3
4
5
Perfectly
12
Q

Name two technologies of OCTs that use frequency-domain OCT?

A

Spectrum domain OCT (SD-OCT)
Swept source OCT (SS-OCT)

How well did you know this?
1
Not at all
2
3
4
5
Perfectly
13
Q

What is a pro of frequency-domain OCTs?

A

Faster

How well did you know this?
1
Not at all
2
3
4
5
Perfectly
14
Q

What is a broadband light source ?

A

A beam containing multiple frequencies

How well did you know this?
1
Not at all
2
3
4
5
Perfectly
15
Q

How does SD-OCT work?

A

Just like how we described FD-OCTs
The light goes through a dispersive detector and processes wavelengths individually which reconstructs the A-scan

How well did you know this?
1
Not at all
2
3
4
5
Perfectly
16
Q

How do SS-OCTs work?

A

Uses different wavelengths in the light sources and reconstructs an a-scan by decoding these signals over time

How well did you know this?
1
Not at all
2
3
4
5
Perfectly
17
Q

How do SS-OCTs work?

A

Uses different wavelengths in the light sources and reconstructs an a-scan by decoding these signals over time

How well did you know this?
1
Not at all
2
3
4
5
Perfectly
18
Q

What are 12 layers of the retina seen on an OCT?

A

1) Internal limiting membrane
2) Retinal nerve fibre layer
3) Ganglion cell layer
4) Inner plexiform layer
5) Outer plexiform layer
6) Outer nuclear layer
7) External limiting membrane
8) Photoreceptor layer
9) Retinal pigment epithelium
10) Bruch’s membrane
11) Choriocapillaries
12) Choroidal stroma

How well did you know this?
1
Not at all
2
3
4
5
Perfectly
19
Q

In terms of glaucoma, what can an OCT detect ?

A

Thinning of the NFL

How well did you know this?
1
Not at all
2
3
4
5
Perfectly
20
Q

What is OCT angiography used for?

A

Use to investigate the health of the retinal vasculature

How well did you know this?
1
Not at all
2
3
4
5
Perfectly
21
Q

What is another name for a c-scan?

22
Q

What are the four applications of an OCT in glaucoma?

A
  • Optic nerve assessment
  • Posterior pole assessment
  • OCT angiography
  • Anterior segment OCT
23
Q

What is the type of scan that is used to assess optic nerve damage?

A

Circular scan

24
Q

Which layer are we concerned about of the retina in glaucoma ?

25
Although a circular scan is done to assess optic nerve damage, how is the oCT scan laid out?
In a linear fashion, it is unrolled, goes from temporal, superior, nasal, inferior
26
What is measured in an OCT of the optic disc?
Thickness of NFL
27
What rule should an optic disc follow?
ISNT rule
28
This is a thickness diagram of NFL around optic disc, what do the colours mean?
Green- within normal limits Yellow- borderline Red- below average
29
How is the optic disc colour coded?
Compared against the average NFL thickness in this area
30
What does this show?
Diffuse advanced loss
31
What dies this show?
Localised/sectorial loss in the inferior and superior quadrants
32
Can you have both diffuse and localised loss?
Yes
33
Does green always indicate a healthy NFL?
Nope
34
Should you just be relying on this colour coding thickness profile?
No- look at the OCT image first
35
Is this eye healthy or not healthy ?
Healthy, this looks outside normal limits because the BVs are located slightly more nasally than normal
36
Why might the thickness be identified as green but be outside normal limits?
If it is between two sectors such as superior and temporal, an average will be collated and this can be within normal limits
37
Should you only be looking at OCT optic nerve scan for glaucoma?
No- you should be also taking into account other clinical pieces of information such as VFs
38
What is this scan measuring?
Edge of bruch’s membrane opening and closest point of the inner limiting membrane, the minimum rim width
39
When looking at the bruch’s membrane opening scan, what will you see if a px has glaucoma?
A reduced distance between the edge of bruch’s membrane and inner limiting membrane + displacement of the lamina cribosa
40
Is the brunch membrane opening scan good?
Yes - best in detecting how much tissue os left around Optic disc
41
What is an advantage of using the bruch’s membrane opening scan?
Resilient to tilted discs and displaced BVs therefore more accurate
42
What is a disadvantage of making a cube scan out of the RNFL scan? (The colourful 3D scan)
Requires lots of px corporation
43
Why would you assess the macula for glaucoma?
To see if there is any damage to central visual
44
How is a macula scan normal carried out?
As dense cube scans, measures the thickness of the different layers
45
If there is a superior VF defect where on the retina is there an issue?
Inferior retina
46
This is an example of the famous Guowei Heat clusters fyi
This is for the 24-2 grid , good for showing defects in glaucoma
47
Can your visual field plot GHT show within normal limits but there actually be something wrong with the optic disc?
Yes- you need to look at a combination of tests to arrive at your diagnosis
48
The anterior segment can be OCT scanned, what can this help with in terms of glaucoma?
Observing the drainage angle, seeing if they are at risk of having angle closure glaucoma
49
What is main cause of pigment dispersion syndrome?
Posterior bowing of the iris which rubs against zonules of the lens —-> leading to shedding
50
What px is pigment dispersion syndrome more prevalent in ?
Highly myopic px