Herpes simplex Flashcards

(23 cards)

1
Q

¿Cuántas y que proteínas codifican aproximadamente los HSV-1 y HSV-2?

A
  • 80 proteínas
  • DdDp y timidina cinasa
  • 10 glucoproteínas de adhesión, fusión y evasión inmune
How well did you know this?
1
Not at all
2
3
4
5
Perfectly
2
Q

Tipos de infecciones de HSV-1 y HSV-2

A
  • Infecciones líticas → fibroblastos y células epiteliales
  • Infecciones latentes→neuronas
  • Infecciones persistentes → linfocitos y macrófagos
How well did you know this?
1
Not at all
2
3
4
5
Perfectly
3
Q

¿Donde ocurre la primer replicación de HSV-1 y HSV-2?

A

Células mucoepiteliales
Posteriormente establecen infección latente en las neuronas

How well did you know this?
1
Not at all
2
3
4
5
Perfectly
4
Q

¿Que factores pueden activar una recurrencia de HSV-1 y HSV-2?

A

Estrés, inmunosupresión, fiebre, traumatismos

How well did you know this?
1
Not at all
2
3
4
5
Perfectly
5
Q

¿Quien tiene mayor capacidad de causar viremia HSV-1 o HSV-2?

A

HSV-2

How well did you know this?
1
Not at all
2
3
4
5
Perfectly
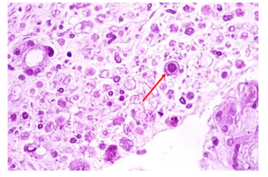
6
Q

¿Qué son los cuerpos de inclusion de Cowdry?

A
  • Son formados por HSV-1 y HSV-2.
  • Marginación de la cromatina
How well did you know this?
1
Not at all
2
3
4
5
Perfectly
7
Q

Epidemiología de HSV-1 y HSV-2

A
  • HSV-1 se asocia a lesiones bucofarínfeas y HSV-2 a genitales.
  • La persona infecta es contagiosa para siempre.
  • Seroprevalencia de HSV-1 del 90% a los 2 años de vida
How well did you know this?
1
Not at all
2
3
4
5
Perfectly
8
Q

¿Cómo se transmiten HSV-1 y HSV-2?

A

Líquido de vesículas, saliva, secreciones vaginales

How well did you know this?
1
Not at all
2
3
4
5
Perfectly
9
Q

Características de las vesículas de HSV-1

A
  • Vesículas claras, sobre base eritematosa; muy dolorosas y ardosas
  • La vesículas contienen muchos viriones

“Gotas de rocío sobre pétalos de rosa”

How well did you know this?
1
Not at all
2
3
4
5
Perfectly
10
Q

A traves de qué nervio viaja HSV-1 que causa recurrecias mucocutaneas

A

Trigémino

How well did you know this?
1
Not at all
2
3
4
5
Perfectly
11
Q

Herpes mucocútaneo

Presentaciónes de las vesículas producidas por HSV- 1

A
  • Gingivoestomatits herpética (muchas úlceras adentro de los labios)
  • Faringitis herpética
  • Queratoconjutivitis herpética
  • Panadizo herpético (vesículas en los dedos por chuparselos)
  • Herpes gladiatorum (vesículas en el cuerpo en edad adulta)
How well did you know this?
1
Not at all
2
3
4
5
Perfectly
12
Q

Presentaciónes de las vesículas producidas por HSV- 2

A

Ulceras en genitales extremadamente dolorosas

How well did you know this?
1
Not at all
2
3
4
5
Perfectly
13
Q

Características de la encefalitis por herpes

A
  • Rápidamente progresiva
    Alta mortalidad y secuelas
  • Convulsiones y Alteración del edo. de alerta

adultos jóvenes

How well did you know this?
1
Not at all
2
3
4
5
Perfectly
14
Q

Herpes neonatal

A
  • La madre puede o no tener síntomas
  • El RN puede o no tener vesículas
  • Afeccion al hígado, pulmón y SNC.
  • Alta mortalidad
How well did you know this?
1
Not at all
2
3
4
5
Perfectly
15
Q

Diagnóstico para herpes simplex

A
  • Frotis de Tzanck: sincitios y cuerpos de Cowdry
  • PCR
  • Serología (infección primaria)
How well did you know this?
1
Not at all
2
3
4
5
Perfectly
16
Q

¿Cuál es el tipo de herpes que tiene la mayor capacidad de producir viremias?

17
Q

¿Cuáles son los factores que pueden activar una recurrencia del herpes simplex?

A
  • Inmunosupresión (px. muy graves)
  • Estrés
  • Rayos UV
  • Fiebre
  • Traumatismos
18
Q

¿Tipo de herpes simplex que se asocia más a lesiones bucofaríngeas?

19
Q

¿Tipo de herpes simplex que se asocia más a lesiones genitales?

20
Q

¿Cuál es una característica del herpes genital?

A

halo eritematoso

21
Q

Px acude a consulta por presentar mucho dolor en los labios, a la exploración notamos la presencia de muchas llagas en los labios, basado en esto, ¿de qué virus se puede sospechar es el causante de esto y qué Dx daríamos al paciente?

A

Tiene Gingivoestomatits herpética causada por HSV-1

Acyclovir

Timidin cinasa inserta análogo de guanosina en la replicación viral

22
Q

Px acude a consulta porque nota que tiene dolor en sus dedos y la presencia de elementos anormales que no tenía, a la exploración, nos percatamos de la presencia de vesículas en los dedos, le preguntamos si suele chuparse mucho los deos y nos comenta que sí, lo hace con mucha frecuencia, basado en esto, ¿qué podría estar causando esto y que Dx le darías al px?

A

Panadizo herpético (vesículas en los dedos por chuparselos) causado por el HSV-1

23
Q

Px masculino de 78 años de edad llega a consulta porque presenta múltiples vesículas, le realizamos análisis y nos percatamos que tiene Herpes gladiatorum, ¿qué tipo de VSH causa herpes gladiatorum?