
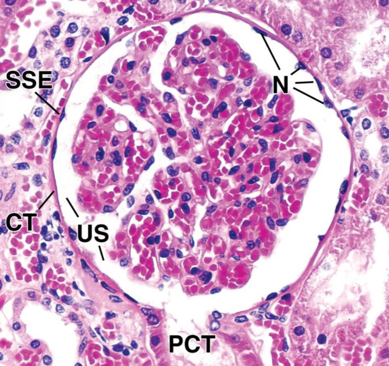
Kidney - Proximal convoluted tubule (PCT)


Vagina


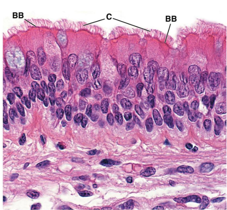
Trachea


Gallbladder


Microvilli


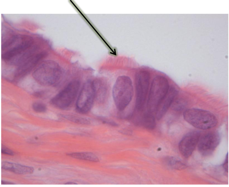
Cilia


Liver


Clathrin-Coated Pits
Receptor-Mediated Endocytosis

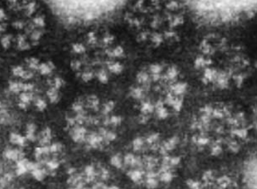
Arrows point to Nuclear Pore Complex (NPC)

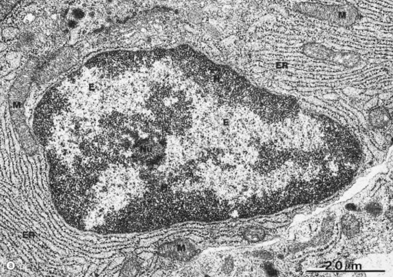
Chromatin in Nucleus


H&E stain of smooth muscle



Nuclear Pores






cell movement

Mitochondria in Heart Muscle



Trachea
Scanning EM



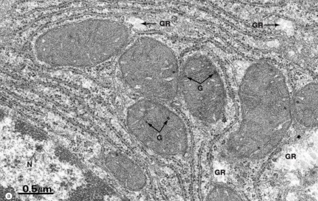
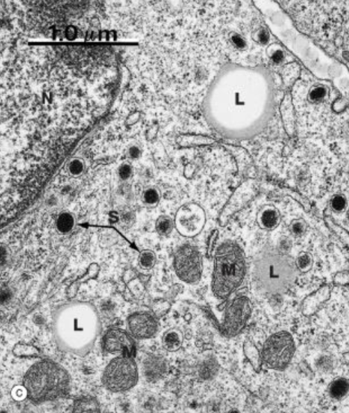
Mitochondria in Liver

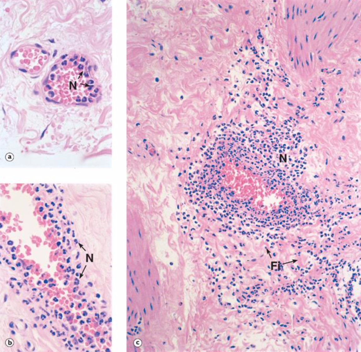
Neutrophil Migration:
a. white blood cells in blood vessel
b. after diapedesis
c. after chemotaxis



Lipid on EM