
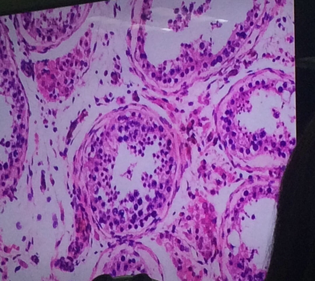
Seminiferous tubules
Stratified cuboidal epithelium resting on the basement membrane
Spermatogonia - spherical nuclei, immediately adjacent to basement membrane
Primary spermatocyte
Spermatids
Sertoli cells (in between cuboidal cells, triangular, blood testis barrier)
Leydig cells - acidophillic, produce testosterone, in between the tubules in the interstital space
Organ: Pancreas
Islets of Langerhans
Cells of the Pancreas:
Organ: Pancreas
Islets of Langerhans
Cells of the Pancreas:
Organ: Thymus
Hassal’s Corupuscle
Endocrine function: Thymopoeitin (for lymphocyte development)
Organ: Thymus
Hassal’s Corupuscle
Endocrine function: Thymopoeitin (for lymphocyte development)
*notice the lobated areas
Organ: Thymus
Hassal’s Corupuscle
Endocrine function: Thymopoeitin (for lymphocyte development)
*notice the medullary area which is pale-staining
Organ: Thymus
Hassal’s Corupuscle
Endocrine function: Thymopoeitin (for lymphocyte development)
Organ: Parathyroid Gland
Principal cells and oxyphil cells
*Notice that the slide is pale-staining
Organ: Parathyroid Gland
Parathyroid gland
Parathyroid gland
Organ: Pituitary Gland
Left side is pale staining: Pars nervosa (Posterior Lobe); whitish in appearance due to predominance of nerve fibers; small cells are pituicytes
Right side is darker staining: Anterior Lobe; note acidophillic cells, basophillic cells, and chromophobes
Middle part: Pars intermedia
Cells of the Anterior Pituitary:
Organ: Pituitary gland, Anterior Lobe
Cells of the Anterior Pituitary:
Cells of the Anterior Pituitary:
Cells of the Anterior Pituitary:
Organ: Pituitary Gland
Cells of the anterior pituitary
Pinker cells: Acidophils
Bluer cells: Basophils
Non-staining: Chromophobes
Cells of the anterior pituitary
Light pink cells: Acidophils
Darker pink cells: Basophils
Non-staining: Chromophobes
Organ: Thyroid Gland with thyroid follicles
Secretions are inside the thyroid follicle. Follicles are filled with colloid.
Lining of thyroid follicles:
Cell types:
Organ: Thyroid Gland with thyroid follicles
Secretions are inside the thyroid follicle. Follicles are filled with colloid.
Lining of thyroid follicles:
Cell types:
Organ: Thyroid Gland with thyroid follicles
Secretions are inside the thyroid follicle. Follicles are filled with colloid.
Pointed structure: Clear cells/C cells/Parafollicular cells
Cell types:
Organ: Thyroid Gland with thyroid follicles
Red Arrow: Follicular cells
Blue arrow: Parafollicular cells
Cell types:
Organ: Thyroid Gland with thyroid follicles
Notice the more flattened epithelium; Hypoactive thyroid gland
Lining of thyroid follicles:
Organ: Thyroid Gland with thyroid follicles
Pointed Structure: Simple cuboidal epithelium; normal thyroid