Histopathology Flashcards

(50 cards)

1
Q

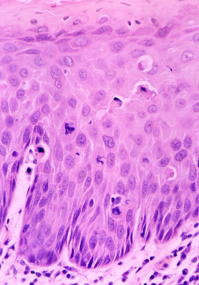
What is cell atypia?

A

Changes in the cell type/structure/shape/contents.

How well did you know this?
1
Not at all
2
3
4
5
Perfectly
2
Q

What type of stain is needed to demonstrate hyperplastic candidosis pathology?

A

Periodic Schiff Stain (PAS)

How well did you know this?
1
Not at all
2
3
4
5
Perfectly
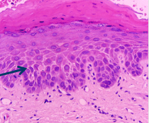
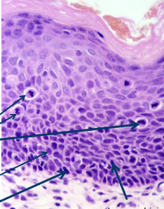
3
Q

What does the arrow indicate on this slide, and what implication do these cells have with regards to diagnosis?

A

Cell atypia - changes within the cell.

They can be found in both cancerous and non-cancerous cells, so not necessarily and indication of cancer.

How well did you know this?
1
Not at all
2
3
4
5
Perfectly
4
Q

What is abnormal about the epithelium of these tissues, and what may that indicate with regards to malignancy?

A

Epithelial dysplasia.

Does not necessarily indicate cancer, however they can develop into cancer.

How well did you know this?
1
Not at all
2
3
4
5
Perfectly
5
Q

What are the WHO 2005 grades for dysplasia?

A

Mild
Moderate
Severe
Carcinoma-in-situ

The higher the grade, the higher malignant potential of the cells.

How well did you know this?
1
Not at all
2
3
4
5
Perfectly
6
Q

How is cell dysplasia assessed?

A

Architecture changes
Mild - only in basal third
Moderate - extends to middle third
Severe - extends to upper third

How well did you know this?
1
Not at all
2
3
4
5
Perfectly
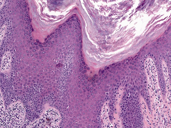
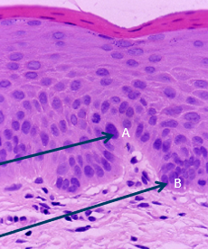
7
Q

What do points A and B indicate? Describe the dysplasia of this tissue.

A

A = Pleomorphism/hyperchromatisism
B = Basal cell hyperplasia

Architecture changes confined to lower third, indicating mild dysplasia. Cell atypia is mild.

How well did you know this?
1
Not at all
2
3
4
5
Perfectly
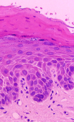
8
Q

What can be seen in this tissue, and comment on its malignant potential?

A

Moderate dysplasia extending from basal third to middle third. Moderate cellular atypia.

Moderate chance of malignant potential.

How well did you know this?
1
Not at all
2
3
4
5
Perfectly
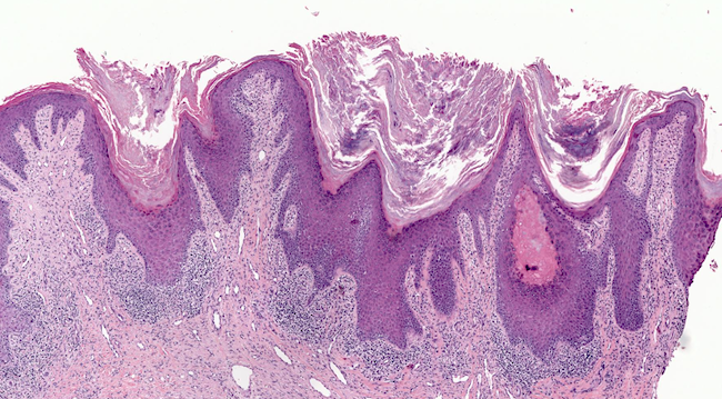
9
Q

What can be seen in this tissue, and comment on its malignant potential?

A

Severe dysplasia extending from basal third to upper third. Severe Atypia and numerous mitosis.

Severe chance of malignant potential.

How well did you know this?
1
Not at all
2
3
4
5
Perfectly
10
Q

What is a potentially malginant lesion?

A

Altered tissue in which cancer is more likely to form.

How well did you know this?
1
Not at all
2
3
4
5
Perfectly
11
Q

What is a potentially malignant condition?

A

General state with increased cancer risk.

How well did you know this?
1
Not at all
2
3
4
5
Perfectly
12
Q

Give four examples of potentially malignant conditions?

A

Lichen planus
Oral submucous fibrosis
Iron deficiency
Tertiary syphilis

How well did you know this?
1
Not at all
2
3
4
5
Perfectly
13
Q

Which lesions are potentially malignant?

A

Leukoplakia:
- Chronic hyperplastic candidosis
- Proliferative verrucous leukoplakia

Erythroplakia

How well did you know this?
1
Not at all
2
3
4
5
Perfectly
14
Q

What treatment options are there for chronic hyperplastic candidosis?

A

Systemic anti-fungal
Biopsy
Smoking cesation
Observation

How well did you know this?
1
Not at all
2
3
4
5
Perfectly
15
Q

By what degree is leukoplakia more likely to progress to cancer than clinically healthy mucosa?

A

50-100 times more likely.

How well did you know this?
1
Not at all
2
3
4
5
Perfectly
16
Q

What are the indications that leukoplakia may develop into cancer?

A

Age and gender
Idopathic lesion
Site (buccal low risk, FoM and tongue high risk)

How well did you know this?
1
Not at all
2
3
4
5
Perfectly
17
Q

Clinically how can leukoplakia present?

A

Homogenous

Non-homogenous: verrucous, ulcerated, leuko-erythroplakia

Proliferated verruvous leukoplakia (highest malignant potential)

How well did you know this?
1
Not at all
2
3
4
5
Perfectly
18
Q

What are the best indications for assessing malignant change?

A

Dysplasia
Atrophy of healthy tissue
Candida infection
Biomarkers (inc DNA in leukoplakia)

How well did you know this?
1
Not at all
2
3
4
5
Perfectly
19
Q

What are the two main factors for carcinogenesis?

A

Genetic and environmental.

How well did you know this?
1
Not at all
2
3
4
5
Perfectly
20
Q

What is the molecular environmental basis of cancer development?

A

Damage
Altered gene expression
Altered cell function

How well did you know this?
1
Not at all
2
3
4
5
Perfectly
21
Q

What are the key points to note about oral pathology reports?

A

Diagnosis (95% are squamous cell carcinoma)

Differentiation and grading (80% are moderately differentiated)

Pattern of invasive front related to nodal spread

Local extension of disease into CT, bone, lymphatics, blood vessels.

22
Q

Give TWO common findings in a histopathological analysis of lichen planus.

A

Hydropic degeneration of the basal layer

Band-like chronic lymphocytic inflammatory cells in sub-epithelial layer

23
Q

Give a diagnosis for the following slide, and what has led you to this.

A

Hypertrophic lichen planus.

Acanthosis with papillomatosis
Hypergranulosis and sawtoothed rete ridges
Representing hypertrophic lichen planus
A band-like infiltrate hugs the rete ridges

24
Q

Give a diagnosis for the following slide, and what has led you to this.

A

Hypertrophic lichen planus.

Wedge shaped hypergranulosis
Hyperketaosis
Sawtoothed rete ridges

25
What is meant by the term hypergranulosis?
An increase in the cell mass of the granular layer of the epithelium.
26
What is meant by the term acanthosis?
Epidermal hyperplasia preferably involving the stratum spinosum.
27
Give a diagnosis for the following slide, and what has led you to this.
Pemphigus vulgaris. Suprabasal epidermal acantholysis, clefting and blister formation.
28
What special test can be performed on a histopathology sample to confirm pemphigus vulgaris?
Direct immunofluorescence. Positive result from peri-lesional skin, which show up in classic web like pattern due to presence of Ig3 in the intracellular space.
29
Name the special test used for the following slide, a diagnosis, and what has led you to this.
Bullous Pemphigoid. Sub-basal blister formation. Linear stratum of IgA typical of pemphigoid along basement membrane.
30
Identify structuress A to D in this histology slide of the keratinised gingva.
A - Keratin Layer B - Stratum Granulosum C - Stratum Spinosa D - Lamina properia (stratum basale between this and spinosa)
31
Identify structures A to D in this histology slide of the parakeratinised gingiva.
A - Stratum corneum B - Stratum Granulosum C - Stratum Spinosa D - Lamina properia (stratum basale between this and spinosa)
32
Identify structuress A to D in this histology slide of the non-keratinised gingva.
A - Superficial layer B - Stratum Intermedia C - Stratum Spinosa D - Stratum Basale
33
Identify structures A to E on this histological cross section of the lower lip.
A - Vermillion Border B - Orbicularis Oris muscle C - Hairy Skin D - Labial mucosa E - Labial minor salivary gland
34
Which mucosa in the mouth is keratinized?
Keratinized mucosa is found in areas of the mouth that are subjected to mechanical stress and friction, such as the gingiva (gums) and the hard palate. This type of mucosa has a thick, protective layer of keratin on its surface, making it tough and resistant to damage.
35
Which mucosa in the mouth is non-keratinized?
Non-keratinized mucosa is typically found in areas of the mouth that are not exposed to as much mechanical stress, such as the buccal mucosa (inner lining of the cheeks), the floor of the mouth, and the ventral surface of the tongue. This type of mucosa lacks the protective layer of keratin and is more delicate and sensitive.
36
Which mucosa in the mouth is para-keratinized?
Parakeratinized mucosa is a transitional type of mucosa found in some parts of the mouth, like the junction between the hard and soft palates. It has a partially keratinized surface, which means it contains some keratin but not as much as fully keratinized mucosa.
37
What is atypical about this histological sample of the hard palate, and why could this be?
Hyperkeratinisation Large keratin layer on the outermost surface, likely from the result of trauma, smoking, or intesive irriation.
38
What is atypical about this histological sample of the bucall mucosa, and why could this be?
Partial keratinization of the buccal mucosa Likely from trauma, or irriation from smoking.
39
What is the function of basal cells in the epithelium?
Basal cells are essential for the maintenance, repair, and regeneration of stratified squamous epithelial tissues, and they serve as a source of new cells that contribute to the tissue's structural and functional integrity.
40
What is the function of the stratum spinosum?
The stratum spinosum is an important transitional layer in the epidermis, where cells prepare to fulfill their roles in maintaining integrity and protecting the body from the external environment. This layer is crucial for the overall function of the skin as a protective organ. Also key for desmosome formation.
41
What is the function of squamous cells?
Squamous cells are typically located in the outer or superficial layers of stratified squamous epithelium, where their flat shape contributes to the protective and barrier functions of the tissue. The specific location and function of squamous cells may vary depending on the type of epithelial tissue in the body.
42
Identify the structures in this slide of the posterior third of the tongue.
E - Epithelium Cr - Crypt L - Lymphoid tissue F - Lymphoid folicle
43
Identify the structures in this slide of the tongue.
CV - Circumvilate Pappila C - Crypt VE - von Ebner's Gland
44
Identify the structures in this slide of the tongue.
FG - Fungiform papilla FL - Filiform papilla
45
Identify the structures in this slide of the anterior two thirds of the tongue.
FL - Filiform papilla CV - Circumvillate papilal SG - Serous gland M - Skeletal muscle LP - Lamina propria M - Mucous glands
46
Identify the lablled stuctures on this slide of the hard palate.
B - Bone S - Submucosa L - Lamina propria E - Epithelium
47
Identify structures A to H on this histological cross section of a mucous membrane.
A - Epithelium B - Lamina Propria C - Submucosa D - Pupillary layer E - Reticular layer F - Minor salivary gland G - Nerve and vein H - Bone
48
Identify the following tissue reactions, indicated by arrows below.
Keratosis - keratinisation of a normally non keratinised site. Acanthosis - hyperplasia of teh stratum spinosum Elongated rete ridges - hyperplasia of the basal cells
49
Outline the ways in which the epithelium can react to trauma/pathology.
Atropy - reduction in viable layers Erosion - partial thickness loss Ulceration - full thickness loss with fibrin on surface Oedema - intra/intercellular Blister - formation of vesicle or bulla
50
What is dysplasia?
Disordered maturation growth in a tissue, leading to cellular atypia.