Image Échographique Flashcards

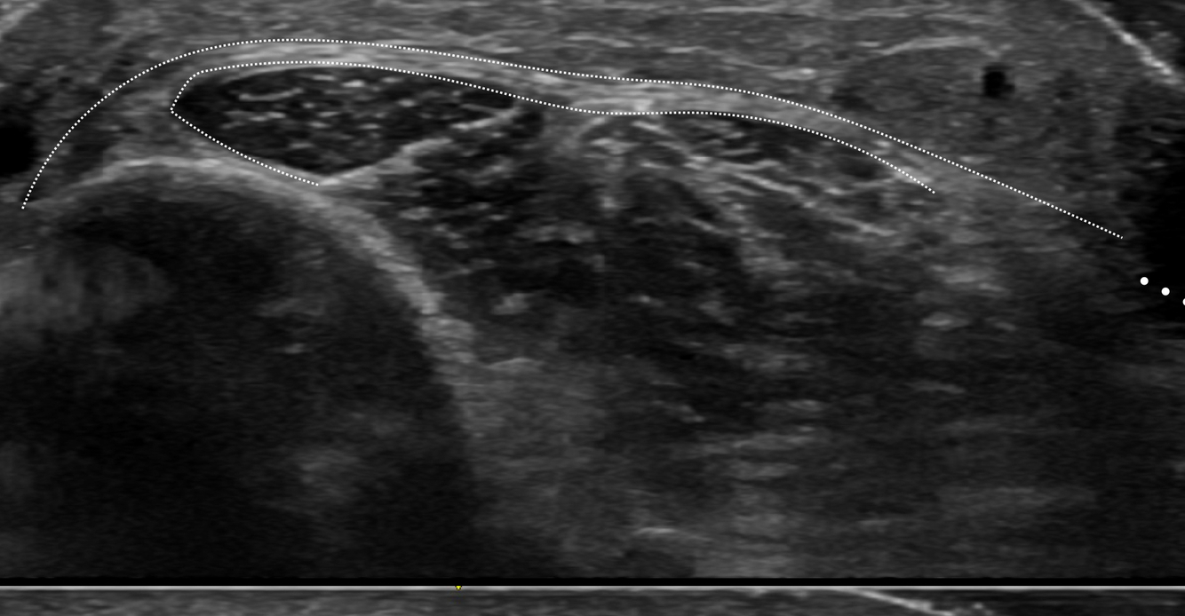
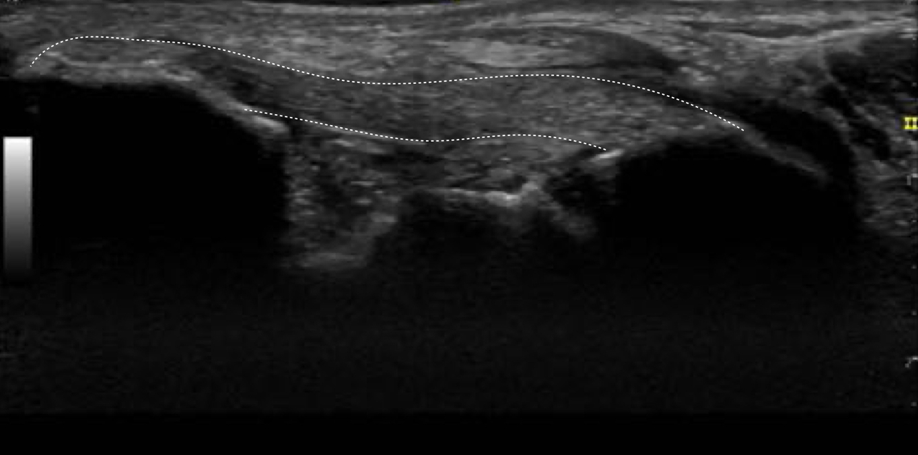
(16 cards)

1
Q

Identifier les structures suivantes
- Tibial post
- LFO
- Nerf tibial

A
How well did you know this?
1
Not at all
2
3
4
5
Perfectly
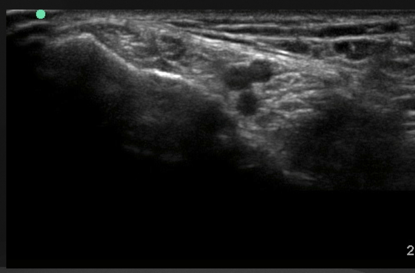
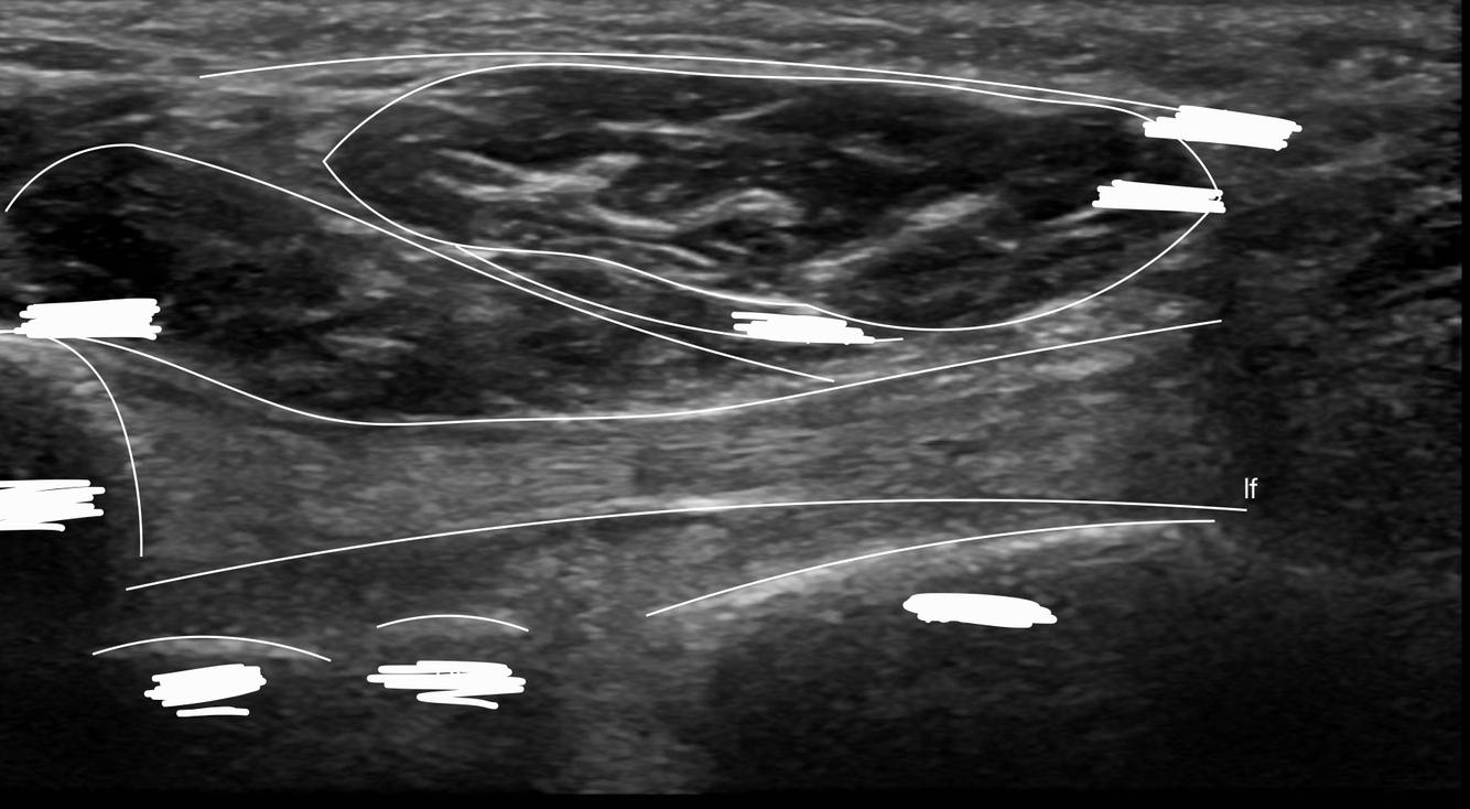
2
Q

Identifier les 6 structures situées en médial de la cheville

A
How well did you know this?
1
Not at all
2
3
4
5
Perfectly
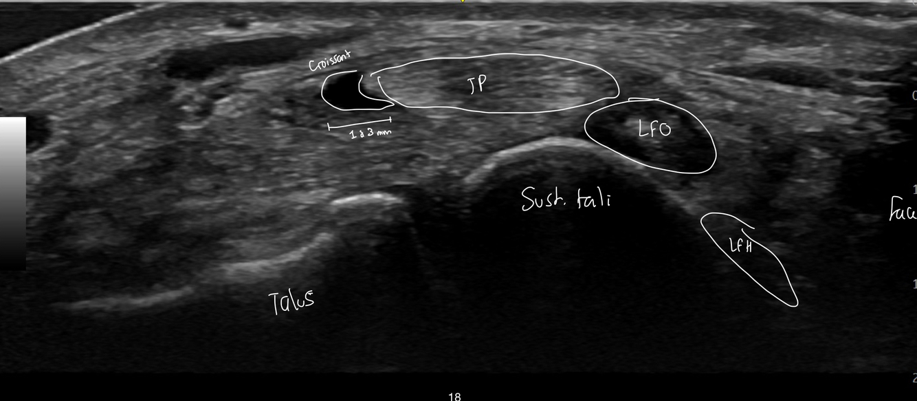
3
Q

Identifier les structures sur cette image.

Indice: On y voit les os suivants : Tibia, talus et calcanéus

A
How well did you know this?
1
Not at all
2
3
4
5
Perfectly
4
Q

Quoi la pathologie ici?

A

Kyste ganglionnaire intra-neural (où il y a des petites étoiles

How well did you know this?
1
Not at all
2
3
4
5
Perfectly
5
Q

Place ta sonde sur l’image où le nerf tibial va se diviser en ses 2 branches, donc ou tu devrais le mesurer en court axe dans ton évaluation du syndrome du tunnel tarsien

A
How well did you know this?
1
Not at all
2
3
4
5
Perfectly
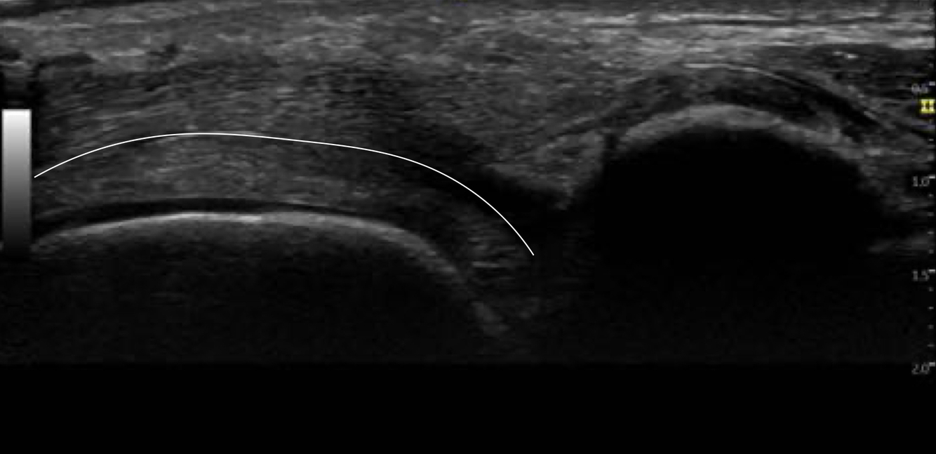
6
Q

Place ta sonde sur l’image au niveau du tunnel tarsien distale

A
How well did you know this?
1
Not at all
2
3
4
5
Perfectly
7
Q

Identifie la région du pied analysée ici

A

Il s’agit de la tubérosité médial du calcanéus avec le fascia et les épaisseurs de la peau au dessus

How well did you know this?
1
Not at all
2
3
4
5
Perfectly
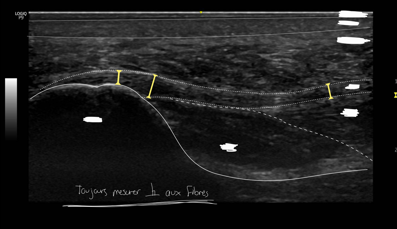
8
Q

Identifie la région étudiée

Identifie les structures en blanc

A
How well did you know this?
1
Not at all
2
3
4
5
Perfectly
9
Q

Identifie la pathologie ici

Nous somme en plantaire du pied

A

Épine infra calcanéenne

How well did you know this?
1
Not at all
2
3
4
5
Perfectly
10
Q

Identifie le muscle long fibulaire sur l’image

Dans quelle structure ce muscle passe-t-il?

A
How well did you know this?
1
Not at all
2
3
4
5
Perfectly
11
Q

Identifie les structure sur l’image
Dites dans quelle region du pied il se situe

A

Région du long fibulaire en long axe, donc sous le pied

How well did you know this?
1
Not at all
2
3
4
5
Perfectly
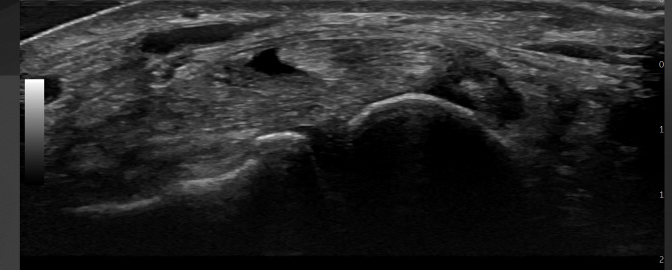
12
Q

Identifie les structure sur l’image

Dites dans quelle region du pied il se situe

A

Situer en antérieur de la cheville

How well did you know this?
1
Not at all
2
3
4
5
Perfectly
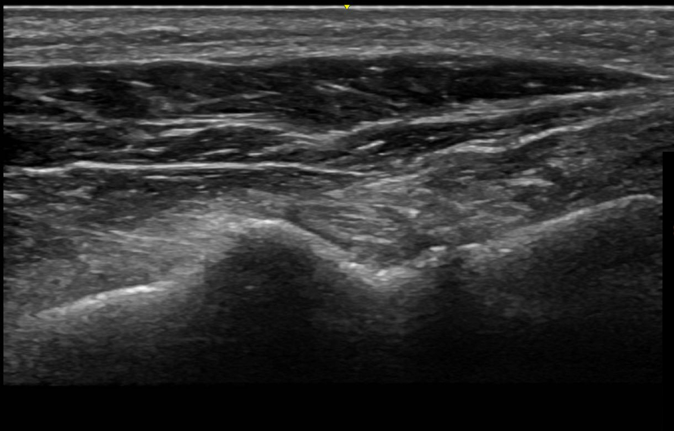
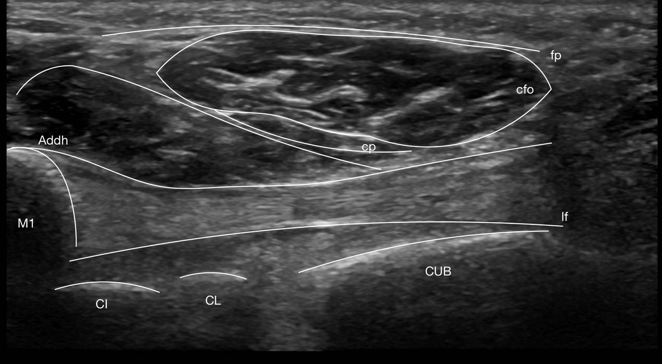
13
Q

Identifie les structure sur l’image

Dites dans quelle region du pied il se situe

A

Nous sommes en médial de la cheville

How well did you know this?
1
Not at all
2
3
4
5
Perfectly
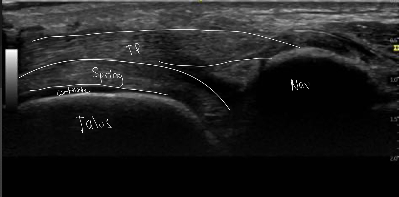
14
Q

Identifie les structure sur l’image

Dites dans quelle region du pied il se situe

A

Nous sommes en médial de la cheville
C’est écrit talus, mais c’est le tibia à gauche

How well did you know this?
1
Not at all
2
3
4
5
Perfectly
15
Q

Identifie les structure sur l’image

Dites dans quelle region du pied il se situe

A

Nous sommes en médial de la cheville

How well did you know this?
1
Not at all
2
3
4
5
Perfectly