images Flashcards

(18 cards)

1
Q

Label all 5 arrows

A
  1. tight
  2. adherens
  3. gap
  4. desmosome
  5. hemidesmosome
How well did you know this?
1
Not at all
2
3
4
5
Perfectly
2
Q

Lable the two arrows

A
  1. microfilaments
  2. intermediate filaments
How well did you know this?
1
Not at all
2
3
4
5
Perfectly
3
Q

Label the cell junction and label the 3 arrows

A
How well did you know this?
1
Not at all
2
3
4
5
Perfectly
4
Q

What cell junction is this and label it (5)

A
  1. adjacent plasma mambranes
  2. microfilament (actin)
  3. plaque
  4. cadherin
  5. intercellular space
How well did you know this?
1
Not at all
2
3
4
5
Perfectly
5
Q

What cell junction is this and label it (5)

A

Desmosome
1. adjacent plasma membranes
2. intercellular space
3. plaque
4. cadherin
5. keratin

How well did you know this?
1
Not at all
2
3
4
5
Perfectly
6
Q

What cell junction is this and label it (5)

A

Gap junction
1. adjacent plasma membranes
2. connexons
3. gap between cells

How well did you know this?
1
Not at all
2
3
4
5
Perfectly
7
Q

What cell junction is this and label it (5)

A

Hemidesmosome
1. intermediate filament (keratin)
2. plaque
3. transmembrane glycoprotein
4. plasma membrane
5. basement membrane

How well did you know this?
1
Not at all
2
3
4
5
Perfectly
8
Q
A

Simple squamous

How well did you know this?
1
Not at all
2
3
4
5
Perfectly
9
Q

type of cell epithelium and label (4)

A

Simple cuboidal
1. simple cuboidal epithelium
2. nucleus
3. lumen of duct
4. connective tissue

How well did you know this?
1
Not at all
2
3
4
5
Perfectly
10
Q

Label the microvilli

A
  1. microvilli
  2. cytoplasm
  3. nucleus
  4. basil lamina
  5. loose connective tissue
How well did you know this?
1
Not at all
2
3
4
5
Perfectly
11
Q

type and label

A

non-ciliated columnar epithelium

How well did you know this?
1
Not at all
2
3
4
5
Perfectly
12
Q

type of epithelium tissue cell

A

ciliated columnar epithelium

How well did you know this?
1
Not at all
2
3
4
5
Perfectly
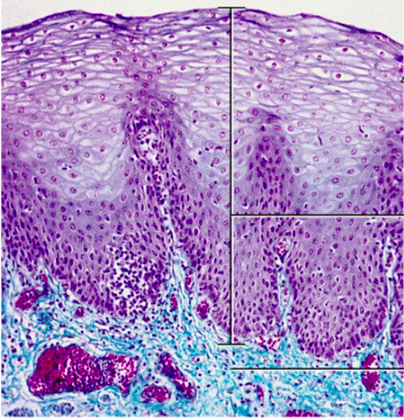
13
Q

type of epithelial tissue

A

non-keratinised stratified squamous epithelium

How well did you know this?
1
Not at all
2
3
4
5
Perfectly
14
Q

name

A

keratinised stratified squamous epithelium

How well did you know this?
1
Not at all
2
3
4
5
Perfectly
15
Q
A

pseudostratified columnar epithelium

How well did you know this?
1
Not at all
2
3
4
5
Perfectly
16
Q

identify and label

A

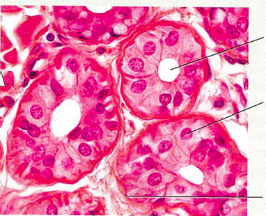
Endocrine gland

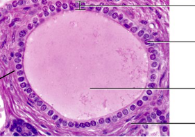
17
Q

identify and label

A

Exocrine gland

18
Q
A

Hylaronic acid