What structure is indicated in the T2 image below?

Middle cerebellar peduncles. Note that most of the white matter (which is dark on FLAIR) from the MCP makes up the core of the cerebellum.
What structure is indicated below?

Medulla. Note that it looks like a butterfly.
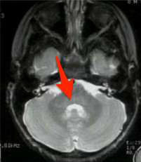
What structure is indicated below?

Midbrain. Note that it looks like Mickey Mouse w/ his hears being the cerebral peduncles.
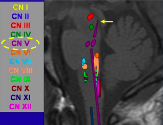
What cranial nerves are associated with the medulla, pons and midbrain?
*

Why is the olfactory nerve the weird one?
It is the only one that does not cross over or synapse in the thalamus.
What is the only cranial nerve that comes out the back of the brainstem?
CN IV.
Where is the olfactory nerve found?
Only in the cribriform plate, once it passes through there it is the olfactory bulb and tract, which is a brain white matter tract.

A patient presents who had a seizure yesterday. He says he smelt something bad before it happened. Where is the seizure activity happening?
The medial temporal lobe. This stimulates electrical activity in the uncus which can cause smell sensation.
Where are olfactory bulbs and tracts located?
Not in the sulcus. It is UNDER the sulcus in the subarachnoid space.z

What is the most commonly injured cranial nerve in TBIs?
CN I. Patients will complain of things tasting weird because it controls 75% of taste.

What is the most common place to find a huge meningioma?
Frontal cortex. This will not present with clinical symptoms until it gets large, compared to the temporal cortex which only needs a small tumor to cause clinical symptoms.

What are the most common tumors outside the brain?
Meningiomas
A patient presents to the clinic with headaches and papilledema. What causes papilledema?
The optic nerves are covered in arachnoid matter which is filled with CSF, increased ICP from increased CSF will cause papilledema.

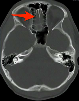
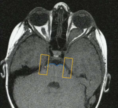
What structures are indicated below?

1) Opthalmic artery branching from carotid and going through the optic canal 2) Basilar artery
Where does the sympathetic innervation for the eye pass through?
Optic canal, it will be wound around the opthalmic artery.
What is your diagnosis?

Note that the patient’s left optic nerve is brighter (enhanced by gadolinium), which is abnormal because it does not have a BBB. The size of CN II is normal so the patient has optic neuritis.

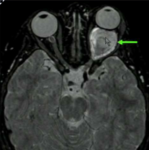
What is your diagnosis?

CN II is a part of the brain, so it is an optic nerve glioma.
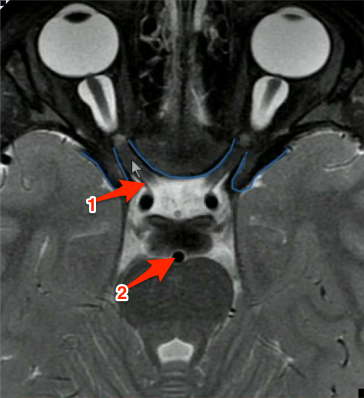
What nerve is coming off in the orange boxes? What is the pathology in this patient?

Trigeminal nerve. Note the cleavage of the brainstem (blue), this tells you that you are high up in the pons CN V comes off 1st in the pons. Note the patient has a big left optic nerve glioma.
Aside from optic gliomas, what other tumors can arise around the optic nerve?
Meningiomas, note the meningeal layer outside of CN II.

What is your diagnosis in each of these patients?

The patient on top has an optic meningioma (non-enchancing nerve surrounding by enhancing mass). The patient on bottom has an optic glioma (entire nerve enhancing).
Right off the bat, what does the lens do to the image that gets projected onto the retina?
It reverses and inverts it.

Which part of the eye field is seen by the right occipital lobe? The left?
The right occipital lobe sees the left half of the eye field in each eye and the left occipital lobe sees the right half of the eye field in each eye.

A patient comes to the ED after a car accident. She hit her head on the dashboard and can now no longer see anything from her left eye. Where is the lesion in the optic tract?
She has a lesion proximal to the optic chiasm, causing monocular blindness.

A patient presents complaining that she can never see their kids sneaking up on the side of her. Where in the optic tract does she have a lesion?
Optic chiasm. She has bitemporal hemianopsia. Remember that the image coming from the temporal nerve transmits stimuli from the nasal field.
