Which intra-cranial lesions are associated with marked surrounding oedema?
Metastasis Abscess Glioblastoma multiforme Radiation necrosis Hematoma (mild)
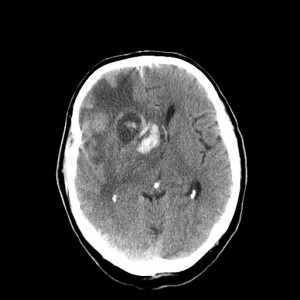
What is the DDx for a haemorrhagic tumour?
Glioblastoma multiforme: most common overall Metastasis: second most common overall Renal cell carcinoma Thyroid carcinoma Choriocarcinoma Melanoma Oligodendroglioma: second most common primary tumor
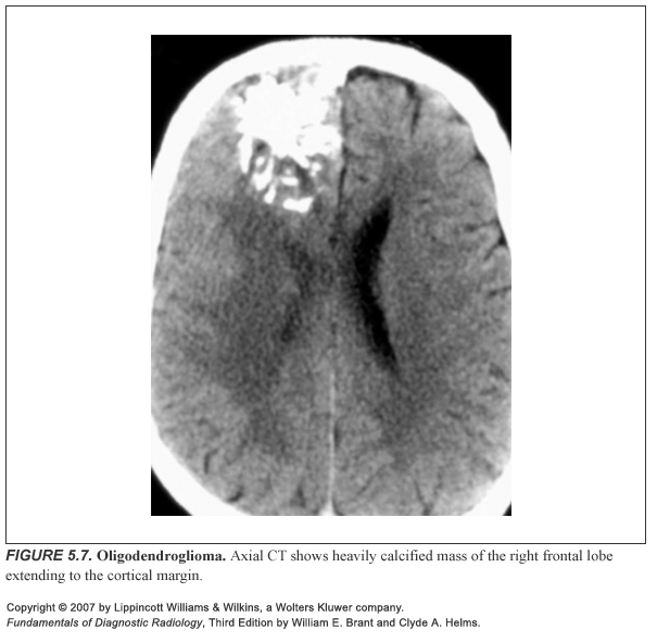
DDx for a calcified glial tumour?

Oligodendroglioma: 75% are Ca++ Ependymoma Astrocytoma (commonest cause, but purely because it is the commonest glial tumour) Glioblastoma multiforme
What primary tumours are associated with a solitary brain met.
1: melanoma 2: lung ca 3: breast ca
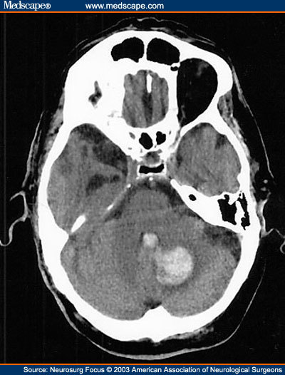
DDx for posterior fossa tumour in a child includes?
1: Medulloblastoma 2: Cerebellar astrocytoma 3: Ependymoma 4: Brain stem glioma NB: Haemangioblastoma is the commonest lesion in adults
1: Where do Medulloblastoma’s arise from? 2: How can they be differentiated from an astrocytoma?
1: the Cerebellar vermis 2: They are HYPERdense on an unenhanced CT cf pilocytic astrocytoma which are hypo
What is the management of Medulloblastoma?
What is the commonest tumour in NF1?
Pilocytic astrocytoma is the most common tumor seen in neurofibromatosis type 1 (NF1) and is present in 15% to 21%.
What is the key imaging fx of a pilocytic astrocytoma?
About 66% are cystlike with an enhancing mural nodule.
DDx for hydrocephalus

DDx Hydrocephalus
Non-Communicating - Think
Location:
Communicating / Extraventricular obstruction
Which Tumours May Have Ca++?
Tumours with Ca++
Remember infections:
Where is the aneurysm likely to be in this patient?

The location of the haemorrhage can help localise the site of the ruptured aneurysm.
Anterior Comm Artery Aneurysm:
MCA aneurysm: (previous case)
PCA aneurysm (see below)
