What modalities are used in neuroimaging?
What are their benefits/ uses/ disadvantages?

What is an MRI?
What are the different strengths of MRI that can be used and what are their advantages/ disadvantages?

How might the dural layers be used as landmarks in neuroimaging?
What sinuses are located with the dural reflections?

Label the ventricular system

Lateral ventricles split into an anterior horn, body, atrium, occipital horn and temporal horn.
Lateral ventricles drain into the 3rd ventricle via the interventricular foramen
CSF flows from the 3rd ventricle into the 4th ventricle via the cerebral aqueduct.

How can the ventricular system be used to landmark in neuroimaging?
How do they appear in an MRI?

What is a CT scan?
What modality does it use?
How do images appear?
CT = Computed tomography or CAT scan = Computed Axial Tomography –> same thing.
CT scans based on X-rays, takes sequential pictures of the body as it rotates around. Computed takes data from the single images and combines it with known angle and position to recreate 3D image of the body.
As CT based on XRAY therfore:
bones = white
air = black.

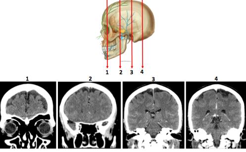
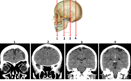
Label the image


What can help determine the level of a cross section in neuroimaging?

What key anatomical features help distinguish the plane of the section?


label the image
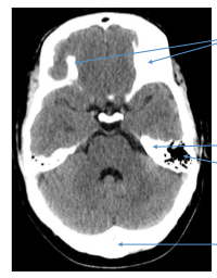
What type of image is this?
Why is there asymmetry?

The image is a CT scan, top two arrows point towards bone as bone appears white in CT scans.
The asymmetry is due to the plane of the cross secton and isn’t actually pathology but the plane at which it was taken.
Next two arrows are pointing to the petrous portion of the temporal bone and the mastoid air cells.
Last arrow is poiting towards the occipital bone.

What sinus is shown?
what is its sensory innervation and how is this clinically relevant?
How does this help us to know level of positioning?
What sinus is shown posteriorly?

Frontal sinus
Sensory Innervation of the frontal sinus is the same as parts of the dura. Dura is innervated by different divisions of trigeminal (v1/v2/v3), frontal sinus is innervated by V1, therefore inflammation of the meninges can refer to the frontal sinus causing headache.
Aids positioning of the scan as frontal sinuses are within the frontal bone superior to the eyebrow.
Superior sagittal sinus is shown posteriorly, in attachment with the falx cerebri.

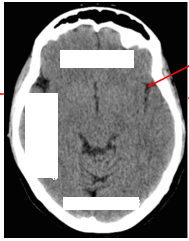
What lobes are shown?
What level is this scan at?
What fissure can be seen?

1) Frontal lobe
2) R temporal lobe
3) Occipital lobe
Fissure –> Sylvian or lateral fissure
Level of the scan must be at the level of the eyebrow region as the two frontal sinuses are shown.

What should coronal and axial head images normally be?
Is this is not identified what pathology may be indicated?
What anatomical features can be used to indicate pathology in a head scan?
What pathologies are shown in the following images?


Label image shown

Top to bottom R to L:

Label the image shown


What is the thalamus composed of?
Label the image shown


Label the image


T2 weighted MRI:
What is the appearance of bone?
What is the appearance of CSF?
On a T2 weighted MRI bone will appear black and CSF will appear white.
Note also that cerebral grey matter can be distinguished from white matter tracts on a T2 weighted MRI.

Label image


What are the arrows pointing to on the image?


What two important structures are shown in the image?


Label the image


How does neural tissue appear on a T2 MRI after a stroke?
What is a watershed infarct?
