IVAS Flashcards

(86 cards)

1
Q

TTO resfriado comum

A

1) Antitérmicos (paracetamol ou dipirona) se > 38ºC; 2) Soluções salinas isotônicas

How well did you know this?
1
Not at all
2
3
4
5
Perfectly
2
Q

Quando a coriza no resfriado comum se torna purulenta significa infecção bacteriana secundária?

A

NÃO. É apenas descamação epitelial e presença de polimorfonucleares

How well did you know this?
1
Not at all
2
3
4
5
Perfectly
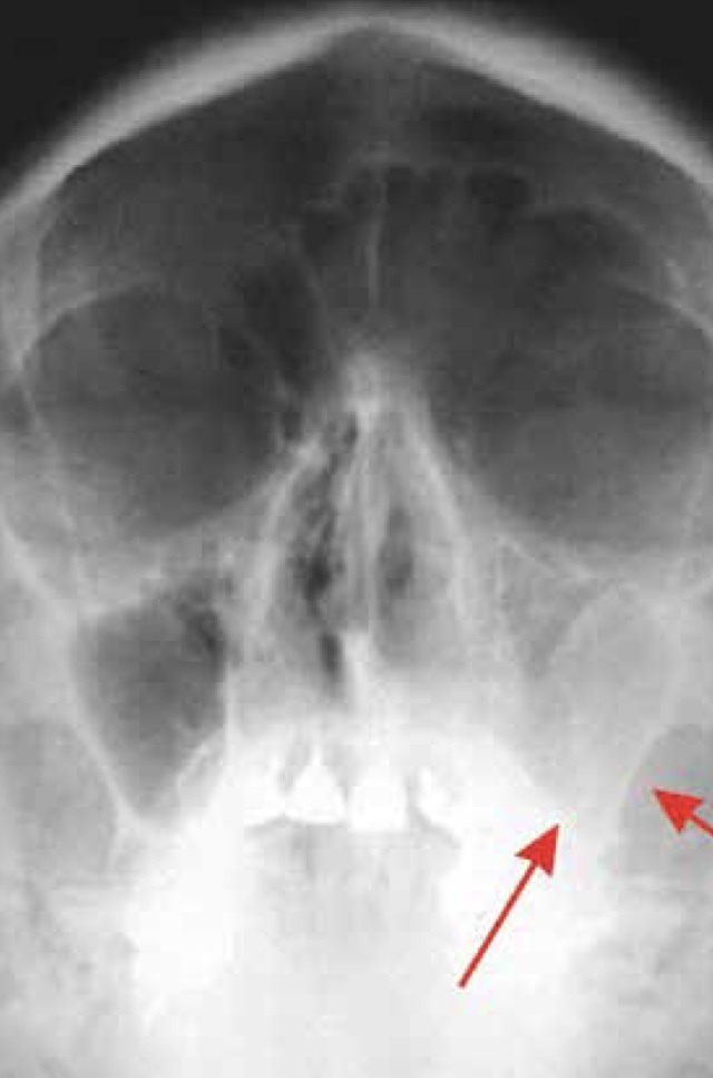
3
Q

Achado e exame

A

Radiografia: velamento do seio maxilar esquerdo.

How well did you know this?
1
Not at all
2
3
4
5
Perfectly
4
Q

2º agente etiológico mais comum do resfriado comum

A

Vírus sincicial respiratório

How well did you know this?
1
Not at all
2
3
4
5
Perfectly
5
Q

V ou F: coronavírus é um agente ocasional de resfriado comum

A

V

How well did you know this?
1
Not at all
2
3
4
5
Perfectly
6
Q

Achado mais específico à otoscopia para diagnóstico de OMA

A

Abaulamento membrana timpânica

How well did you know this?
1
Not at all
2
3
4
5
Perfectly
7
Q

Conduta sinusite frontal

A

Ceftriaxone EV

How well did you know this?
1
Not at all
2
3
4
5
Perfectly
8
Q

Em qual idade a incidência de otite média declina?

A

A partir dos 2 anos

How well did you know this?
1
Not at all
2
3
4
5
Perfectly
9
Q

Complicações rinossinusite bacteriana

A

Celulite periorbitária/orbitária, trombose seio cavernoso, meningite

How well did you know this?
1
Not at all
2
3
4
5
Perfectly
10
Q

Clínica OMA > 2 anos

A
  1. Otalgia
  2. Febre
  3. Astenia
How well did you know this?
1
Not at all
2
3
4
5
Perfectly
11
Q

Pq em < 2 anos é mais incidente a OMA?

A

Pela anatomia da trompa de Eustáquio (faz drenagem da orelha média)

How well did you know this?
1
Not at all
2
3
4
5
Perfectly
12
Q

Achado que é muito sugestivo de faringoamigdalite causado por adenovírus

A

Conjuntive

How well did you know this?
1
Not at all
2
3
4
5
Perfectly
13
Q

Caso ñ tenha resposta ao TTO com amoxicilina na OMA, o que usar?

A
  1. Amoxicilina + clavulanato OU
  2. Ceftriaxone
How well did you know this?
1
Not at all
2
3
4
5
Perfectly
14
Q

2 possíveis complicações supurarias das faringoamigdalites

A
  1. Abcesso retrofaríngeo
  2. Abcesso amigdaliano
How well did you know this?
1
Not at all
2
3
4
5
Perfectly
15
Q

O que ocorre quando se administra ampicilina para uma suposta faringoamigdalite bacteriana mas é EBV?

A

Exantema típico

How well did you know this?
1
Not at all
2
3
4
5
Perfectly
16
Q

Vírus que podem causar faringoamigdalite

A

Adenovírus, rinovírus, EBV, VSR, coronavírus

How well did you know this?
1
Not at all
2
3
4
5
Perfectly
17
Q

Pq na sinusite frontal o ATB deve ser feito EV?

A

Risco muito alto de complicações intracranianas

How well did you know this?
1
Not at all
2
3
4
5
Perfectly
18
Q

Principal etiologia bacteriana da faringoamigdalite

A

EBGA: estreptococo beta hemolítico do grupo A

How well did you know this?
1
Not at all
2
3
4
5
Perfectly
19
Q

Quando pensar em obstrução por corpo estranho em paciente com resfriado comum?

A

Secreção nasal unilateral, fétida, sanguinolenta

How well did you know this?
1
Not at all
2
3
4
5
Perfectly
20
Q

3 agentes etiológicos principais da rinossinusite

A

Estreptococo pneumoniae, hemófilo influenzae e moraxella catarrhalis

How well did you know this?
1
Not at all
2
3
4
5
Perfectly
21
Q

Clínica escalartina

A

Faringoamigdalite exsudativa + exantema em forma de lixa

How well did you know this?
1
Not at all
2
3
4
5
Perfectly
22
Q

V ou F: faringites virais podem cursar com exsudato na orofaringe

A

V

How well did you know this?
1
Not at all
2
3
4
5
Perfectly
23
Q

Qual a desordem infecciosa mais comum da infância?

A

Resfriado comum

How well did you know this?
1
Not at all
2
3
4
5
Perfectly
24
Q

Diagnóstico

A

Faringite estreptocócica

How well did you know this?
1
Not at all
2
3
4
5
Perfectly
25
Período de incubação resfriado comum
1 - 3 dias
26
Diagnóstico OMA
1. Sinais de otorreia purulenta OU 2. Sinais de efusão (alteração cor, mobilidade reduzida, opacificação membrana timpânica) + inflamação (abaulamento membrana)
27
Qual a principal complicação bacteriana do resfriado comum?
Otite média aguda
28
Definição anatômica do resfriado comum
Nasofaringite de etiologia viral que leva à inflamação da mucosa do nariz, faringe e seios paranasais
29
Agente etiológico + frequente do resfriado comum
Rinovírus
30
Definição manchas de Koplic
Pontilhado branco-amarelado na mucosa jugal
31
FR sinusite bacteriana aguda
Resfriado, rinite, estrutural (desvio de septo, corpo estranho), RGE
32
V ou F: ATB terapia precoce previne febre reumática e complicações superativas mas não previne GNPE
V
33
4 incidências na visualização dos seios da face nas rinossinusites
1) Caldwell - frontonaso; 2) Waters mentonaso; 3) Perfi; 4) Axial
34
1ª escolha ATB pra OMA
Amoxicilina
35
Vacina contra influenza protege contra resfriado comum?
Apenas parcialmente, pois uma das etiologias é influenza (mas protege mesmo é contra a gripe)
36
Clínica OMA \< 2 anos
1. Leva mão até ouvido 2. Irritabilidade 3. Choro
37
Faringoamigdalites: etiologia viral (%???) e etiologia bacteriana
Etiologia viral = 75%
38
O que é a Síndrome de Lemierre?
Complicação rara dá faringoamigdalite que cursa com tromboflebite veia jugular interna + êmbolos pulmonares
39
O que é miringite bolhosa?
Forma incomum de OMA onde há bolhas e eritema na membrana timpânica
40
Ministério da saúde recomenda anti-histamínicos e descongestionantes nasais para \< 2 anos. V ou F?
Falso. Não recomenda
41
O que é a otite média secretora? Requer TTO com ATB?
É quando há líquido estéril dentro da orelha média. NÃO
42
2 possíveis sequelas da infecção pelo EBGA
GNPE e febre reumática
43
Quando indicar o teste de suor (para diagnóstico de fibrose cística) em crianças com rinossinusite?
Quando são rinossinusites de repetição com manifestações pulmonares
44
Principal fator predisponente de OMA
Resfriado comum
45
Quando suspeitar de rinossinusite na criança?
Tosse que persiste por mais de 10-14 dias + descarga nasal purulenta
46
Exame fundamental pra diagnóstico de OMA
Otoscopia
47
Classificação sinusites
1) Viral; 2) Bacteriana aguda \< 4 semanas; 3) Bacteriana subaguda 4-12s; 4) Bacteriana crônica \>12s
48
Padrão ouro para diagnóstico faringoamigdalite
Swab orofaringe + cultura
49
Quando podemos indicar tonsilectomia/adenoidectomia em pacientes com faringoamigdalite?
Naqueles que tem de repetição. 1. \> 7 episódios em 1 ano ou 2. \> 5 episódios/ano nos últimos 2 anos
50
Resfriado comum X gripe
Gripe: febre alta, mialgias, prostração. Resfriado: quadro + restrito às VAS
51
Clínica resfriado comum
1º sensação garganta arranhando, depois espirros, obstrução nasal e rinorreia
52
Coriza no resfriado comum pode se tornar purulenta?
Sim, a partir do 3º dia principalmente
53
IVAS são condições graves e ameaçadoras de vida
F
54
V ou F: via de transmissão inalatória é importante para o vírus influenza
V
55
Fatores de risco IVAS
Atopia, creches, fumo passivo, chupeta
56
V ou F: uma das possíveis etiologias pra faringoamigdalite é a gonocócica (principalmente naqueles sexualmente ativos ou abuso sexual).
V
57
Principal forma de transmissão dos vírus causadores do resfriado
Contato direto (aerossol através de tosse e coriza vai parar em objetos e a outra pessoa encosta lá)
58
Pq a causa mais comum de rinossinusite é IVAS?
A produção de muco espesso obstrui os seios paranasais, causando proliferação bacteriana
59
Achado? Exame?
Nível hidroaéreo no seio maxilar direito e espessamento mucoso à esquerda. Radiografia
60
ATB de escolha pra faringoamigdalite
1. Penicilina benzatina \< 27 kg: dose única de 600.000 UI IM 2. Penicilina benzatina \> 27kg: 1.200.000 UI IM
61
Causa + comum rinossinusite
IVAS
62
V ou F: hipertrofia adenoide pode aumentar ocorrência de OMA
V
63
Achado e diagnóstico
Manchas de Koplik; sarampo
64
Definição OMA recorrente
1. 3 ou + episódios nos últimos 3 meses OU 2. 4 ou mais episódios no último ano
65
Quando suspeitar de otite média aguda em indivíduo com quadro de resfriado?
Febre alta, irritabilidade e dor de ouvido
66
Duração média resfriado comum
1 semana
67
Complicações bacterianas que o resfriado comum predispõe
Otite média, sinusite, pneumonia
68
ATB que é escolha inicial pra TTO da rinossinusite
Amoxicilina + clavulanato
69
Média da quantidade de episódios em crianças de IVAS anualmente
4-8 episódios por ano
70
Complicação mais comum da OMA
Mastoidite
71
Conduta em \< 6 meses da OMA
Sempre ATB, uni ou bilateral
72
Crianças 6m-2 anos conduta OMA
Trata com ATB se bilateral, otorreia ou doença grave
73
Situações que na OMA você faz ou Amoxicilina em dose dobrada ou ela com o clavulanato
Exposição recente \< 3 meses a ATB
74
OMA + conjuntive = suspeitar de qual agente?
Hemófilo
75
Conduta mastoidite
Internação + fazer ATB EV
76
3 principais etiologias da obstrução inflamatória das VAS
1. Laringotraqueobronquite 2. Laringite espasmódica aguda 3. Epiglotite
77
O que a laringotraqueobronquite, laringite espasmódica aguda e epiglotite tem em comum?
Estridor inspiratório
78
Etiologia crupe (pediatria)
Vírus parainfluenzae
79
V ou F: laringotraqueíte bacteriana é complicação da laringotraqueíte viral
V
80
Qual a forma mais comum de obstrução aguda das vias aéreas superiores na pediatria?
Laringotraqueobronquite (Crupe)
81
Clínica Laringotraqueobronquite (Crupe)
1. Tosse metálica 2. Estridor inspiratório 3. Batimento asa de nariz 4. Retrações intercostais
82
Qual a forma mais grave de obstrução inflamatória aguda das vias aéreas superiores?
Epiglotite
83
Padrão ouro diagnóstico epiglotite
Visualização direta epiglote por meio da laringoscopia
84
Conduta epiglotite
1. Internação 2. IOT 3. ATB EV ceftriaxone
85
Quando hospitalizar em caso de obstrução inflamatória de VAS?
1. Epiglotite 2. Estriador intenso/progressivo 3. Dificuldade respiratória 4. Hipóxia/cianose
86
Conduta Laringotraqueobronquite Aguda
1. Nebulização adrenalina + SF 0,9% 2. Corticoide