simple squamous epithelium that lines body cavities
mesothelium
layer that lines the heart and blood vessels
endothelium

simple squamous epithelium

supraorbital marbin of the orbit
what is the definition of histology?
study of tissues and their microscopic structure

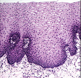
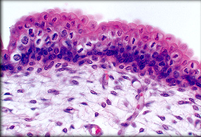
stratified squamous epithelium
what is one location that stratified squamous epithelium can be found
kidney tubules

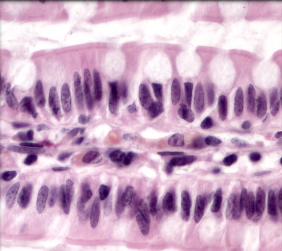
simple columnar epithelium (non ciliated)
what may simple columnar epithelium have?
microvilli or cilia
what is microvilli?
increases surface area for transport
what is cilia
allows substances to be moved across the apical surface
where is one location that simple columnar epithelium can be found?
lining of the stomach

pseudostratified epithelium
where is one place that the pseudostratified epithelium can be found?
the trachea

transitional epithelium
what is one body location that transitional epithelium can e found?
lining of the urinary bladder

cardiac muscle tissue

skeletal muscle tissue

smooth muscle tissue
what is one body location that smooth muscle tissue can be found?
in the blood vessel wall
what is a fibroblast?
the most common connective tissue cell and is responsible for the production of fibers and the matrix

adipose connective tissue
what is one location that adipose connective tissue can be found?
yellow bone marrow

areolar connective tissue