Lab questions Flashcards

(50 cards)

1
Q

What cell is this? Does it perform phagocytosis and/or does it have granules?

A

neutrophil - most common
phagocytosis, contains granules

How well did you know this?
1
Not at all
2
3
4
5
Perfectly
2
Q

What cell is this? Does it perform phagocytosis and/or does it have granules?

A

eosinophil - horse shoe, parasitic
phagocytosis, contains granules

How well did you know this?
1
Not at all
2
3
4
5
Perfectly
3
Q

What cell is this? Does it perform phagocytosis and/or does it have granules?

A

basophil - least common
associated with allergies
NOT phagocytic, contains granules

How well did you know this?
1
Not at all
2
3
4
5
Perfectly
4
Q

What cell is this? Does it perform phagocytosis and/or does it have granules?

A

lymphocyte - specific immunity
- no granules
B cells phagocytic, T cells not

How well did you know this?
1
Not at all
2
3
4
5
Perfectly
5
Q

What cell is this? Does it perform phagocytosis and/or does it have granules?

A

monocyte - large indented nucleus
phagocytic, no granules

How well did you know this?
1
Not at all
2
3
4
5
Perfectly
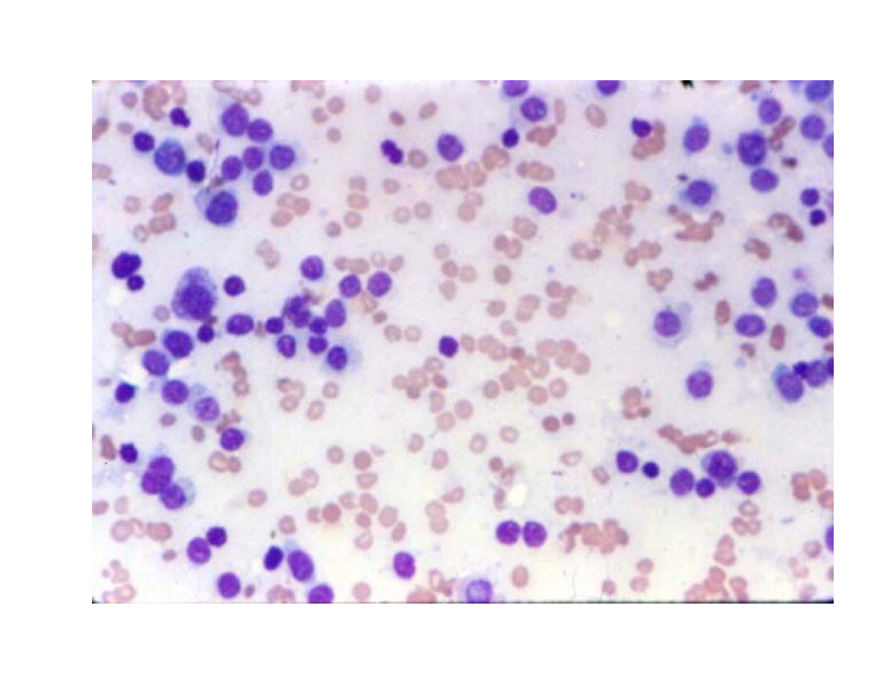
6
Q

What disorder is this?

A

leukemia

How well did you know this?
1
Not at all
2
3
4
5
Perfectly
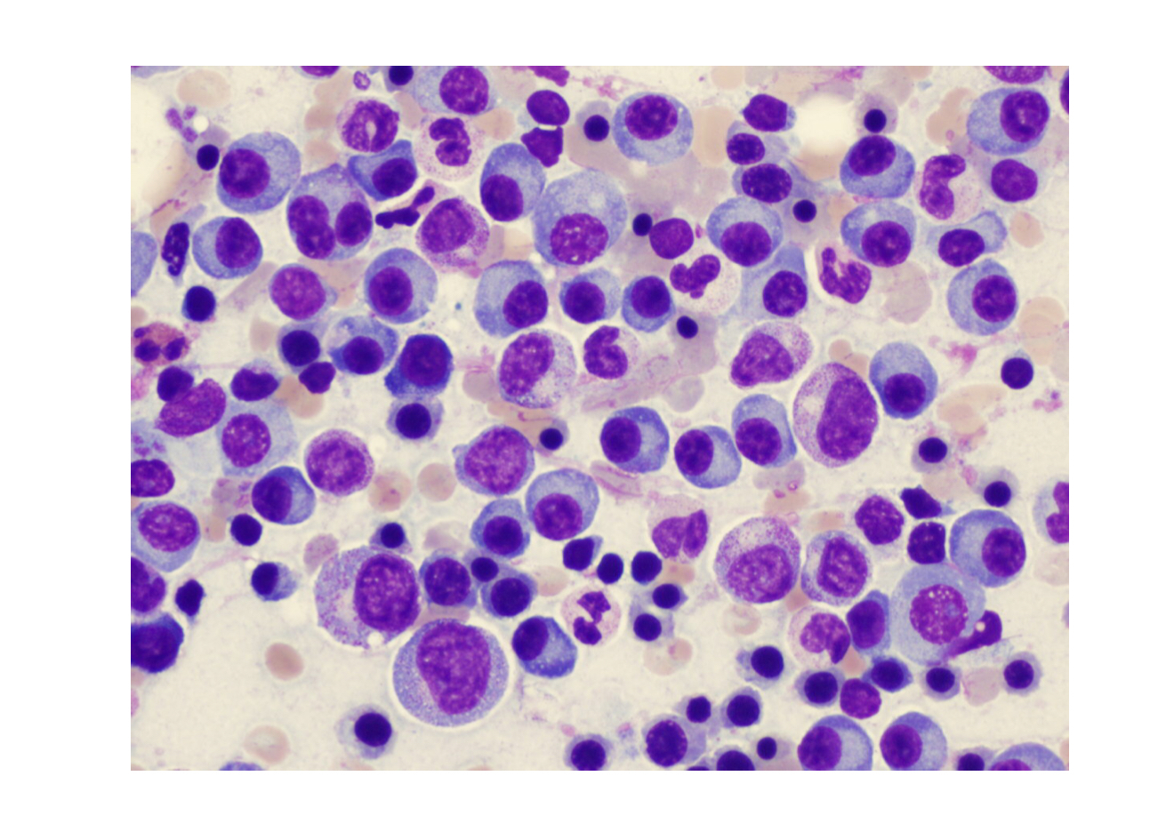
7
Q

What disorder is this?

A

multiple myeloma

How well did you know this?
1
Not at all
2
3
4
5
Perfectly
8
Q

What is this structure and where would you find it? What does it absorb?

A

lacteal - lymphatic capillary found in the villi of the small intestine
- absorbs lipids

How well did you know this?
1
Not at all
2
3
4
5
Perfectly
9
Q

What is this cell and where would you find it?

A

plasma cell - activated B cell
found in spleen, lymph, or extracellular fluid

How well did you know this?
1
Not at all
2
3
4
5
Perfectly
10
Q

What is this cell and what are the circled structures? What are on the outside of the cell?

A

macrophage - derives from monocytes
- circled structures: lysosomes
- contain pseudopodia to engulf bacteria

can participate in specific defense - APC

How well did you know this?
1
Not at all
2
3
4
5
Perfectly
11
Q

What are these fibers and what are they made out of? What cells make them?

A

reticular fibers made by reticular cell
- made out of collagen
- support cell - support lymphatic organs and slows fluid flow to increase time for lymphocytes to be exposed to liquid

How well did you know this?
1
Not at all
2
3
4
5
Perfectly
12
Q

What kind of tissue is this and where would you find it?

A

diffuse lymphatic tissue
- contains high [lymphocytes]
- found in reticular fibers in loose CT of almost every organ

How well did you know this?
1
Not at all
2
3
4
5
Perfectly
13
Q

What is this structure? What cells would you find in A and B?

A

lymphatic follicle - unencapsulated clusters of reticular fibers and lymphocytes/macrophages
- Peyer’s patches, appendix

  • A: germinal center - contains B cells that can be activated into plasma cells and dendritic cells
  • B: T cells
How well did you know this?
1
Not at all
2
3
4
5
Perfectly
14
Q

Identify the following structures. What are the structures that are unique to this organ?

A

A - afferent lymphatics*
B - efferent lymphatics
C - hilus
D - lymphoid follicle
E - germinal center
F - sub capsular sinus
G - medullary cord*
H - medullary sinus*
I - trabeculae

How well did you know this?
1
Not at all
2
3
4
5
Perfectly
15
Q

Identify these organs. What are the ones that typically get removed?

A

Tonsils
A - nasopharyngeal - psuedostratified
B - palatine - paired, typically removed
- stratified
C - lingual - paired
- stratified

How well did you know this?
1
Not at all
2
3
4
5
Perfectly
16
Q

What are these structures?

A

nasopharyngeal tonsil

enlarged palatine tonsil

How well did you know this?
1
Not at all
2
3
4
5
Perfectly
17
Q

Identify these structures

A

A - tonsil
B - crypt
C - geminal centers in lymphoid follicle

How well did you know this?
1
Not at all
2
3
4
5
Perfectly
18
Q

Identify these structures. What organ is this?

A

A - central arteriole
B - white pulp - PALS
- periarteriole lymphatic sheath
C - red pulp - RBC/platelet storage/metabolism

spleen - only organ that filters blood

How well did you know this?
1
Not at all
2
3
4
5
Perfectly
19
Q

What organ is this and what does it release?

A

thymus
releases thymosin - stimulates development of T cells

How well did you know this?
1
Not at all
2
3
4
5
Perfectly
20
Q

What is this organ and what occurs at A and B?

A

thymus
- B - positive T cell selection: T cell must react to MHCI/II to survive
- A - negative T cell selection: T cell cannot respond too strongly to self antigens to survive

How well did you know this?
1
Not at all
2
3
4
5
Perfectly
21
Q

What are the three following actions of antibodies?

A
  1. neutralization
  2. opsonization
  3. agglutination
22
Q

Identify the following structures

A

A. lesser omentum
B. greater omentum
C. mesocolon
D. mesentery proper

23
Q

identify the following structues

A

A. lesser omentum
B. greater omentum
C. mesentery proper
D. root of mesentery
E. transverse mesocolon

24
Q

Identify these structures. What is located in C?

A

A. lesser omentum
B. greater omentum
C. hepatic artery, portal vein, common bile duct

25
Identify these strucrures
A. root of the mesentery B. transverse mesocolon C. sigmoid mesocolon
26
Identify these vessels
A. common hepatic B. L gastric C. gastroduodenal D. R gastric E. hepatic proper F. splenic G. short gastric H. L gastroomental I. R gastroomental
27
What supplies these organs?
A - superior mesenteric - small intestine, ascending and transverse colon B. Inferior mesenteric - descending and sigmoid colo
28
identify these muscles. What do they do?
A. styloglossus - pulls tongue up and back when swallowing B. hyoglossus - depressing C. genioglossus - sticking tongue out
29
What muscle is this?
palatoglossus - pulls tongue up
30
Identify these structures
a - circumvallate papilla - taste buds on bottom B - filiform papilla - no tastebuds C - fungiform papilla - taste buds near surface - anterior 2/3 of tongue
31
identify these structures
A. crown B. neck c. root D. pulp cavity E. enamel F. dentin G. gingiva H. cementum I. gomphosis
32
ID these glands and the cells that are in them
A. sublingual - mucous glands, some serous B. submandibular - mostly serious, some mucous C. parotid - mucous
33
what is this strucrure
esophagus
34
identify these structures
A - cardiac sphincter B - pyloric sphincter C - cardia D - funds E - body F - pylorus
35
identify these structures
A - stomach B - esophagus
36
identify these strucures
a - anal canal b - rectum
37
identify these structures
A. gastric pit B. gastric gland C. gastric pit D. surface epithelium E. neck mucous cells F. parietal cells - release HCl G. gastric glands H. chief cells - make enzymes and HCl I. G cells - secrete gastrin
38
What are these structures and where are they found?
Peyer's patches - lymphatic follicles found in the ileum
39
What organ is this? What are these cells and what do they secrete?
A. Goblet cells B. enteroendocrine cell C. Paneth cells - antimicrobial peptides small intestine
40
what organ is this
colon white section - goblet cells even surface due to n gastric pits or microvilli
41
identify these structures. What are A and B branches of?
A - Middle rectal veins - branches off of internal iliac artery B - inferior rectal veins - branches of the internal pudental vein C - internal anal sphincter D - external anal sphincter
42
Identify these structures. What is found in E?
A. L lobe B. R lobe C. caudate D. quadrate E. Porta hepatis - hepatic portal vein, hepatic artery and bile duct F. bile duct G. ligamentum teres
43
Identify these structures. what do C, D, E form?
A. central vein B. sinusoids C. branch of hepatic artery D. branch of portal vein E. branch of bile duct - hepatic portal triad F. bile canaliculi G. hepatocytes
44
What is this structure? Label the structures within it
hepatic portal triad A. hepatic portal vein B. hepatic artery C. bile duct D. hepatocytes
45
What are these structures? what organ is it part of?
A. space of disé B. epithelium - simple squamous with fenestra C. glycogen liver
46
identify these structures. What is the function of C?
A. sinusoid B. hepatocytes C. Kupffer cells - macrophage that breaks down RBC
47
identify these structures
A. R hepatic duct B. L hepatic duct C. common hepatic duct D. gall bladder E. cystic duct F. common bile duct G. main pancreatic duct H. Duodenum
48
Identify these structures
A. main pancreatic duct B. common bile duct C. main pancreatic duct (R embryonic) D. accessory pancreatic duct E. minor duodenal papilla F. major duodenal papilla
49
Identify these structures
A.common bile duct B. main pancreatic duct C. hepatopancreatic ampulla D. sphincter of odi E. major duodenal papilla
50
What is this organ? what does it synthesize?
pancreas A. exocrine - acinar cells - secrete digestive enzymes B. islet - endocrine gland - synthesize glucagon and insulin