Lecture 11: Staphylococcus Flashcards

(75 cards)

1
Q

Is staphylococcus gram positive or negative

A

Positive

How well did you know this?
1
Not at all
2
3
4
5
Perfectly
2
Q

What test differentiates staphylococcus from streptococcus and what would the results be

A

Staphylococcus is catalase positive and streptococcus is catalase negative

How well did you know this?
1
Not at all
2
3
4
5
Perfectly
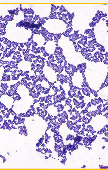
3
Q

what this

A

Staphylococcus

How well did you know this?
1
Not at all
2
3
4
5
Perfectly
4
Q

what test is this and which is strep vs staph

A

Catalase test
Left: streptococcus (-)
Right: staphylococcus (+)

How well did you know this?
1
Not at all
2
3
4
5
Perfectly
5
Q

Are staphylococcus commensal bacteria

A

Yes, but can become opportunistic pathogens when there is damage to skin or mucous membranes or in immunocompromised patients

How well did you know this?
1
Not at all
2
3
4
5
Perfectly
6
Q

What test differentiates against staphylococcus species

A

Coagulase test

How well did you know this?
1
Not at all
2
3
4
5
Perfectly
7
Q

What are the results of coagulase test for pathogenic vs non-pathogenic strains

A

Pathogenic strains positive, non-pathogenic strains negative

How well did you know this?
1
Not at all
2
3
4
5
Perfectly
8
Q

What test is this and what does it tell you about staphylococcus spp

A

coagulase test
Left: positive- pathogenic strains of staphylococcus
Right: negative- non-pathogenic strains

How well did you know this?
1
Not at all
2
3
4
5
Perfectly
9
Q

what test is this and what does it tell you about staphylococcus spp

A

Coagulase test
Left: negative- nonpathogenic strains of staphylococcus
Right: positive- pathogenic strains of staphylococcus

How well did you know this?
1
Not at all
2
3
4
5
Perfectly
10
Q

Which species of staphylococcus is the only one that does do hemolysis

A

S. Hyicus

How well did you know this?
1
Not at all
2
3
4
5
Perfectly
11
Q

What are adhesins

A

Cell wall proteins that bind fibrinogen and collage to facilitate bacterial attachment to host tissues

How well did you know this?
1
Not at all
2
3
4
5
Perfectly
12
Q

What does protein A do

A

Surface protein that binds IgG by Fc and interferes with opsonization and phagocytosis

How well did you know this?
1
Not at all
2
3
4
5
Perfectly
13
Q

What do alpha-toxins/ alpha-hemolysis do

A

Complete lysis of RBC’s, causes spasm of smooth muscle

Necrotizing and potentially lethal

How well did you know this?
1
Not at all
2
3
4
5
Perfectly
14
Q

What is the major toxin in gangrenous mastitis

A

Alpha toxin/alpha-hemolysin

How well did you know this?
1
Not at all
2
3
4
5
Perfectly
15
Q

What do beta-toxins/ beta hemolysin do

A

Incomplete/ partial lysis of RBC’s, damages cell membrane

How well did you know this?
1
Not at all
2
3
4
5
Perfectly
16
Q

What do gamma-toxins/ leucocidin do

A

Cytolytic destruction of leukocytes

How well did you know this?
1
Not at all
2
3
4
5
Perfectly
17
Q

What enterotoxins/ exotoxins are present in staphylococcus

A

Staphylococcus enterotoxin A-E and G-J; SEA-SEJ

How well did you know this?
1
Not at all
2
3
4
5
Perfectly
18
Q

What is SEA-SEJ responsible for

A

Diarrhea and vomiting when ingested (food poisoning)

Super antigen binds MHC2 to T-cell receptor leading to massive T cell activation

How well did you know this?
1
Not at all
2
3
4
5
Perfectly
19
Q

What superantigen is responsible for toxin shock syndrome when released into blood

A

Toxic shock syndrome toxin-1

How well did you know this?
1
Not at all
2
3
4
5
Perfectly
20
Q

What are exfoliative toxins

A

Proteases that contribute to skin lesions

How well did you know this?
1
Not at all
2
3
4
5
Perfectly
21
Q

What toxin is main virulence factor in S. Hyicus

A

Exfoliative toxins

How well did you know this?
1
Not at all
2
3
4
5
Perfectly
22
Q

What does staphylokinase do

A

Breaks down blood clots

How well did you know this?
1
Not at all
2
3
4
5
Perfectly
23
Q

What does hyluronidase do

A

Depolymerizes hyaluronic acid (CT) breaks open epithelial cells

How well did you know this?
1
Not at all
2
3
4
5
Perfectly
24
Q

What does coagulase do

A

Converts fibrinogen to fibrin —> produces blood clots

How well did you know this?
1
Not at all
2
3
4
5
Perfectly
25
What is the purpose of a capsule
Protect bacterial cells from phagocytosis
26
Which staph/ virulence factor raises pH in urine, forms urinary stones
S. Pseudointermedius urease
27
What is the staph causative agent in contagious mastitis
S. Aureus
28
What is the main source of infection in S. Aureus contagious mastitis
Colonize the teat skin, teat canal and udder
29
What is the pathogens is of contagious mastitis in cattle
1. Adhesins facilitate bacterial attachment 2. Invasins facilitate tissue invasion 3. Capsule protect bacteria from phagocytosis by host cell 4. Leukocidin, hemolysins, exotoxins cause tissue damage
30
What stage of lactation does acute and peracute contagious mastitis occur
Early lactation
31
What are the clinical manifestations of acute and peracute contagious mastitis
Acute swelling of udder, purulent secretion
32
What does peracute gangrenous cause in contagious mastitis
Venous thrombosis and congestion of the udder that lead to tissue necrosis
33
What are the signs of peracute gangrenous contagious mastitis
Quarter is sore and swollen, fever, anorexia, lameness, toxemia may cause death
34
What is the most common form of contagious mastitis in cattle
Chronic/subclinical
35
What is elevated in chronic/subclinical mastitis
Somatic cell counts
36
The inflammatory response in chronic/ subclinical mastitis results in what
Duct blockage and atrophy of associated alveoli
37
Influx of phagocytic cells lead to ___ and limits __ in chronic/subclinical contagious mastitis
Abscess formation and fibrosis, limits antibiotic access (hard to tx)
38
In chronic/subclinical mastitis there is gradual damage to ___ and drop in ___
Udder, milk yield
39
How do you monitor contagious mastitis in cattle
CMT- measures somatic cells in milk
40
What cell is high in mastitis
Leukocytes
41
How does a CMT test work
Reagent reacts with leukocytes and will form gel with infection, the greater the gel the worse the infection
42
How do you diagnose contagious mastitis in cattle
Culture results If culture is positive test individual causes of high SCC (>400k)
43
What is the treatment for contagious mastitis in cattle
Intramammary (preferred), IM or IV antibiotics
44
How do you prevent contagious mastitis
1. Milking equipment maintenance 2. Hygienic procedures 3. Milking order: healthy, first lactating, older cows first then subclinical mastitis last or separate 4.eliminate fly breeding sites 5. Culling- cows with persistent S. Aureus infection
45
What vaccine is available to prevent contagious mastitis (staph aureus)
Lysigin
46
The vaccine for contagious mastitis (s. Aureus) is only effective in who
Healthy young heifers
47
Does the staph. Aureus contagious mastitis vaccine prevent infection
No lowers effect and milder diasease
48
What is the causative agent in exudative epidermitis in pigs
Staphylococcus Hyicus
49
What pigs are commonly affected by S. Hyicus
Up to 3 months old
50
What is the pathogens is for exudative epidermitis in pigs
1. Enter the skin through minor abrasions or bite wounds 2. Adhesins, invasins, leukocidins, capsules, exotoxins (no hemoylsins) 3. Exfoliative toxins are main cause
51
What is the clinical manifestation of exudative epidermitis in pigs
Excessive sebaceous secretions, exfoliation and exudation on skin, erosions of snout, foot pads, anorexia, depression, fever
52
Exudative epidermitis in pigs is also called ___ disease
Greasy pig disease
53
What pigs are affected in the acute form of exudative epidermitis
Suckling piglets- usually die within 48hrs
54
What pigs are affected in chronic form of exudative epidermitis in pigs
Weaned pigs
55
What is the morbidity and morality associated with exudative epidermitis in pigs
Morbidity: 20-100% Mortality: ~90% (low morality in adult pigs)
56
How do you diagnose exudative epidermitis in pigs
1. Clinical presentation- skin lesions 2. Culture and antibiotic sensitivity
57
Pig presents with skin lesions, histo shows a gram positive organism. It is also coagulase positive and non-hemolytic. What is likely cause
S. Hyicus
58
What is treatment for exudative epidermitis in pigs
1. Early systemic antibiotic (7-10days) 2. Daily topical antiseptic 3. Drugs: amoxicillin, fluoroquinolones, ceftiofur, linomycin
59
How can you control exudative epidermitis in pigs
1. Strict isolation of affected pigs 2. Cleaning and disinfection 3. Wash sows with antiseptic before farrowing
60
Is there a vaccine for exudative epidermitis in pigs
Yes, but only shows some success in chronically infected herds
61
What is the causative agent staph pyoderma in cats and dogs
S. Pseudointermedius
62
Where does the superficial infection of S. Pseudointermedius infect
Epidermis and hair follicles
63
Where does a deep dermis infection of S. Pseudointermedius result in
Furunculosis (boils)
64
What is the pathogens is for S. Pseudointermedius causing pyoderma
1. Adhesins facilitate bacterial attachment 2. Invasins 3. Capsules prevent phagocytosis 4. Leukocidins, hemolysins, exotoxins
65
What is the most important virulence factor for S. Pseudointermedius pyoderma
Adhesins most important for bacterial stickiness to keratinocytes
66
What are the clinical manifestations of S. Pseudointermedius pyoderma in dogs
Multifocal areas of alopecia, follicular -apples, pustules, crusts
67
What are the clinical manifestations of S. Pseudointermedius pyoderma in cats
Alopecia, ulcerations, hemorrhagic crusts, draining tracts
68
How do you diagnose S. Pseudointermedius pyoderma in cats and dogs
1. Clinical signs- hair loss, papules, pustules 2. Bacterial culture and susceptibility testing
69
Why is it important to test for sensitivity in S. Pseudointermedius pyoderma
To determine if methicillin resistant staphylococcus Pseudointermedius (MRSP)
70
What is the treatment of pyoderma in cats and dogs
1. Narrow spectrum antibiotic for 30 days 2. Resolution for 7 days 3. Topical- mupirocin 4. Medicated shampoos
71
What medicated shampoo is showing promising results for dogs with Staph pyoderma
Sodium hypochlorite and salicylic acid shampoo
72
What is the gold standard for diagnosing staphylococcus infections
Culture
73
What do you expect to see on microscopy with staph infections
Neutrophils containing gram positive staphylococcus
74
What isolation medias can be used to dx staph
1. Blood agar 2. MacConkey- gram - so nothing happens 3. Mannitol salt agar- NaCl selects for staphylococcus 4. Purple agar- golden color with S. Aureus
75
What agar can be used to identify S. Aureus from other staphs
Purple agar