what occurs to the trachea
turn into right and left principle bronchus (primary/chief) –> enter at “root” or hilus of lung

what is the tracheal bronchus
in ruminant and pigs –> cranial to bifurcation –> cranial lobe right lung

what occurs to bronchus
subdivided –> lobar; segmental; med-small bronchi
what occurs to cartilage support with increasing subdivision of bronchus
cartilage support decreases with subdivision
what is the final part of the airway conducting system
bronchioles and terminal bronchioles
do bronchioles have cartilage support
no
what are the structures shown in the bronchgram


what is the pathway of air from the trachea to lungs
trachea –> left and right primary bronchus (+ tracheal bronchus)
where does deoxygenated blood travel from
from heart to lungs –> pulmonary trunk –> left and right pulmonary arteries
where does oxygenated blood travel
from lungs returns to heart via pulmonary veins
where do bronchial arteries arise and what is their function
directly from aorta and supply lung tissue with oxygenated blood
what occurs to cartilage in the intra-pulmonary branches
cartilage rings become irregulat plates
what forms between the cartilage and mucosa of intra-pulmonary branches
smooth muscle forms continuous spirals between cartilage and mucosa
what is the function of smooth muscle in the intra-pulmonary branches
controls airway diameter –> parasympathetic constriction
asthma: sympathomimetric drugs cause relaxation
smooth muscle continues to level of alveolar ducts
what glands are present in intra-pulmonary branches
seromucus glands
what is BALT
bronchial associated lymphoid tissue in lamina propria
what cells become less numerous in the intra-pulmonary branches
goblet cells
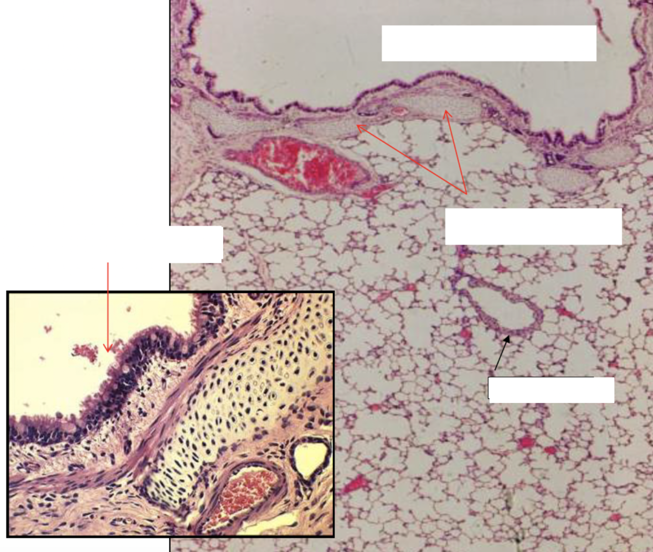
what are these structures


what is the difference between a bronchus and bronchiole
bronchus has cartilage support, ciliated epithelium
bronchiole more simplified epithelium, no BALT

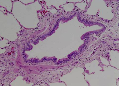
what are the features of bronchioles (5)
what structure is this

bronchiole
how do bronchioles prevent themselves from collapsing
have elastic fibres within walls –> elastic recoil after contraction of smooth muscle
produces surfactant –> changes surface tension
what cells are these and where are they

club cells
in bronchioles
what are the structures

