Reed-Sternberg cells are derived from ____.
Reed-Sternberg cells are derived from germinal center B cells.
The inflammatory response to Reed-Sternberg Cells (RSC) in Hodgkin Lymphoma is the product of ___.
The inflammatory response to Reed-Sternberg Cells (RSC) in Hodgkin Lymphoma is the product of cytokines expressed by the RSC.
Most Non-Hodgkins lymphomas involve. . .
. . . recombination involving the IgH promoter
Follicular lymphoma
Diffuse large B cell lymphoma
Burkitt’s Lymphoma
SVC syndrome
Compression of the SVC by a retrosternal mass may result in facial redness and facial edema.
Secondary symptoms of lymphoma
HHV-8 (Kaposi’s Sarcoma Virus)
Strongly associated with primary effusion lymphoma, a rare, aggressive, B-cell lymphoma that arises within chronic effusions, typically in the pleural or peritoneal spaces.
HTLV-1
Human T-cell Lymphotrophic Virus-1
A retrovirus directly associated with adult T-cell leukemia/lymphoma (ATLL).
Much like HIV, integrates into CD4 T cell DNA.
HIV and lymphomas
While HIV itself does not cause lymphomas directly, it degrades the immunity to existing viruses within hosts that can cause lymphoma, like EBV. It also causes a strong mononucleusos-like reaction in its acute phase, which puts stress on germinal centers and may precipitate a B cell lymphoma.
It is not at all uncommon for someone infected with HIV with poor management to develop an EBV-positive tumor from an EBV infection in their distant past that was previously under check by their immune system.
H. pylori and lymphoma
H. pylori infection causes chronic gastric inflammation that may precipitate a gastric extranodal marginal zone lymphoma, aka MALT lymphoma.
This mechanism is similar to how MALT lymphoma is produced in Sjogren syndrome and Hashimoto’s thyroiditis.
CLL / SLL
Chronic lymphocytic leukemia / small lymphocytic lymphoma
Two manifestations of the same disease. Unlike many lymphomas, does not involve translocation or the IgH promoter.
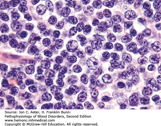
Characterized by overwhelming numbers of small, fragile lymphocytes with packed chromatin and scant cytoplasm either in peripheral blood or in bone marrow, with “proliferation centers” in the lymph nodes. Prolymphocytes are actively dividing cells in proliferation centers have especially large nuclei with very prominent nucleoli. Image of proliferation center is shown below.

Diagnosing CLL/SLL
Flow features of CLL/SLL
When to Treat CLL/SLL
Treatment of CLL/SLL
Hairy Cell Leukemia
Tumor of mature B cells, A rare indolent lymphocytic leukemia. Unique clinicopathologic features and response to therapy.
Strongly associated with activating mutations in BRAF. Often presents with splenomegaly and monocytopenia, with increased susceptibility to atypical mycobacteria, and eventually with severe pancytopenia.
Has a very characteristic look on microscopy.

Treatment of Hairy Cell Lymphoma
Has an excellent response to certain chemotherapy agents such as the purine analog cladribine, which produces long-lasting remissions in most affected patients. In those who fail conventional chemotherapy, BRAF inhibitors are now available that are highly active and produce remissions in most patients, even those whose tumors have become resistant to chemotherapy.
Now one of the most curable cancers.
Follicular lymphoma
Most common indolent lymphoma. Most patients are asymptomatic at presentation, presenting with only painless lymphadenopathy.
Over 90% due to a translocation between IgH promoter and Bcl2, usually accompanied by a histone demethylase loss-of-function.
Diagnosis of follicular lymphoma
The image below is stained for Bcl-2 and is taken from a lymph node. What is the likely diagnosis?

Follicular lymphoma
Clinical course of follicular lymphoma
Treating follicular lymphoma