
Twin-to-twin transfusion

Poli-Oli sequence (stuck twin)

Fetus papyraceous

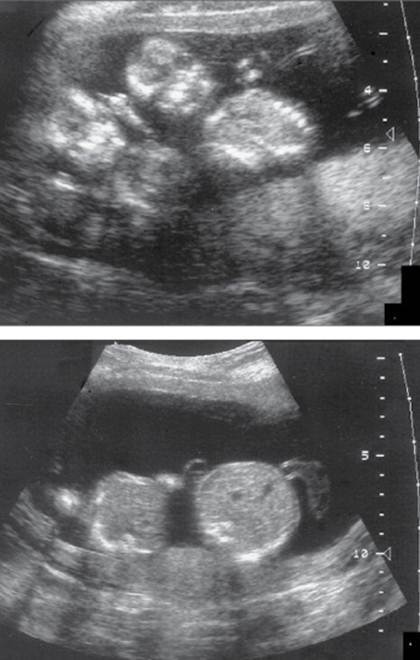
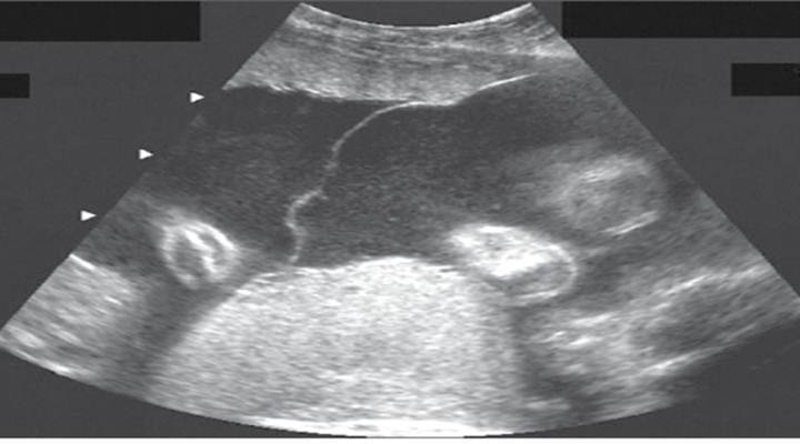
Monochorionic/diamniotic twin gestation

Conjoined twins connected at the thorax

Monochorionic, monoamniotic twin gestation

Dichorionic/diamniotic twin gestation

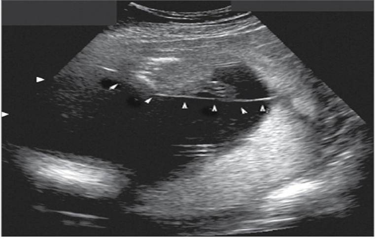
Spaulding’s sign

Spaulding’s sign

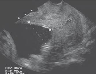
Measurement of incompetent cervix

Anterior uterine fibroid

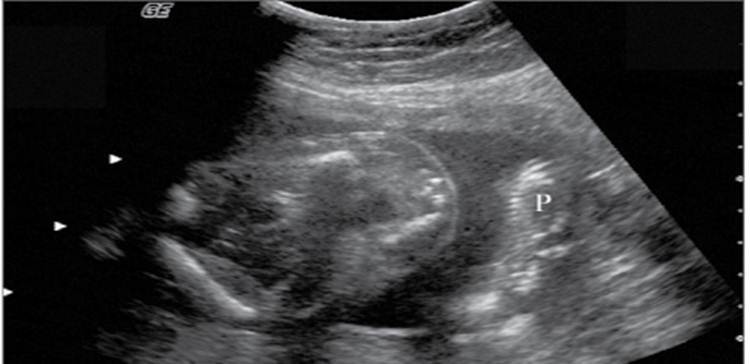
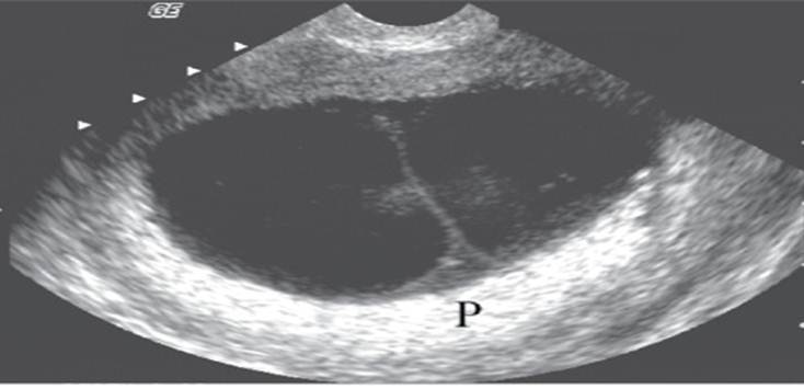
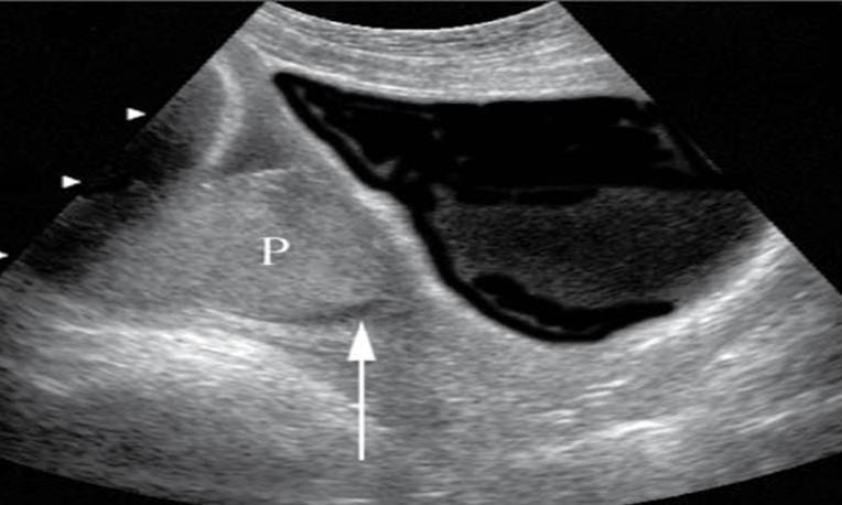
Placenta previa

Scalp edema

pleural fluid

ascites

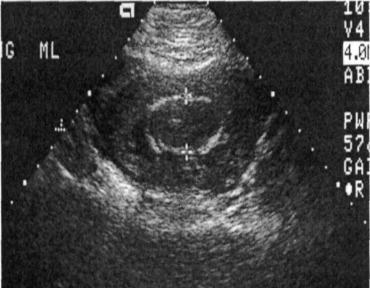
Nuchal translucency

Transcervical chorionic villus sampling

Genetic amniocentesis

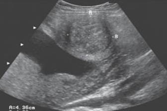
Thickened nuchal fold

Hypoplasia of the middle fifth phalanx

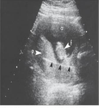
“Double bubble” sign as seen with duodenal atresia

Intracardiac focus

omphalocele

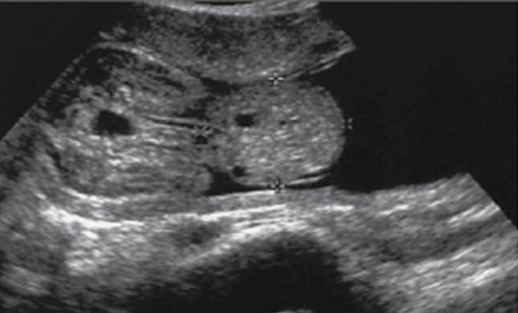
Choroid plexus cysts