miscelânea COPY Flashcards

cards que estavam no papel (17 cards)

1
Q

atb profilático em cabeça e pescoço caso pegue boca ou laringe na cirurgia e tipos de bactérias

A

ampicilina sulbactam ou
cefazolina com metronidazol

bacterias: aerobio, anaerobio, gram -

How well did you know this?
1
Not at all
2
3
4
5
Perfectly
2
Q

tireoidectomia parcial - 5 condições

A

nodulo unico
nodulo menor que 4 cm
sem historia familiar
sem fator de risco
sem característica de malignidade

How well did you know this?
1
Not at all
2
3
4
5
Perfectly
3
Q

principal tu maligno do fígado

principal fator de risco

6 formas de apresentação
1.
2.
3.
4.
5.
6.

A

CHC

CIRROSE

  1. Assintomatico
  2. febre tumoral
  3. ictericia
  4. sangramento
  5. descompensação cirrose - pbe
  6. sd paraneoplasica - aumento calcemia
How well did you know this?
1
Not at all
2
3
4
5
Perfectly
4
Q

bocio compressivo

A

operar! nao fazer iodo radioativo pois pode piorar tudo

How well did you know this?
1
Not at all
2
3
4
5
Perfectly
5
Q

TNM tumor colon

A

SEMPRE COMECAR DE TRAS PRA FRENTE e nao esquecer da muscular

T
in situ mucosa
1 submucosa
2 muscular
3 serosa
4 envolve outra coisa

N
1 de 1 a 3
2 mais de 4

How well did you know this?
1
Not at all
2
3
4
5
Perfectly
6
Q

ESTADIO CA COLON

quem pode tirar com endoscopio?

A

1 t1 a 2
2 t3 e t4
3 com linfonodo
4 com metástase

t in situ e t1 (apenas na submucosa) pode tirar com endoscópio

How well did you know this?
1
Not at all
2
3
4
5
Perfectly
7
Q

testes moleculares para nodulo de tireoide - quando? quais?

A

BETHESDA 3 - e 4 se characteristics nao forem desfavoráveis
braf
ras
ret pc

How well did you know this?
1
Not at all
2
3
4
5
Perfectly
8
Q

tumor primario de figado e terapias segundo tamanho

A

pouco sintomatico e sem cirrose grave,
tumor de menos de 2 cm - ressecção cirúrgica

mais de 2 cm ablação tumoral (curativo)

lesões maiores de 5 cm quimioembolização transarterial (nao curativo)

transplante hepático - Os critérios de Milão para LT são um único nódulo menor ou igual a 5 cm de diâmetro ou não mais do que três nódulos, sem que nenhum maior que 3 cm de diâmetro sem invasão macrovascular e disseminação extra-hepática.

How well did you know this?
1
Not at all
2
3
4
5
Perfectly
9
Q

lobos figado

A
How well did you know this?
1
Not at all
2
3
4
5
Perfectly
10
Q

abscesso hepático - germes e antibióticos

A

Enterobacteriaceae,
anaeróbios,
estreptococos,
enterococos e
Entamoeba histolytica.

A associação de uma cefalosporina de 3° geração, como a ceftriaxona, e o metronidazol por 4 a 6 semanas são os mais utilizados.

How well did you know this?
1
Not at all
2
3
4
5
Perfectly
11
Q

abscesso epatico - tamanho e o que fazer

A

menos de 5 cm pode aspirar por agulha
mais que isso drena percutâneo

A drenagem laparoscópica também é usada às vezes. A cirurgia deve ser feita para peritonite, abscessos de parede grossa, abscessos rompidos, múltiplos abscessos grandes e procedimentos de drenagem anteriormente reprovados.

How well did you know this?
1
Not at all
2
3
4
5
Perfectly
12
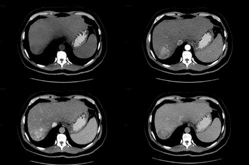
Q

metástase hepatica na RNM

A

metástases hepáticas mostra diminuição do sinal em comparação com o parênquima hepático normal em imagens ponderadas por T1 e aumento do sinal em imagens ponderadas por T2.

PARECE QUE TEM MASSA DENTRO, NAO É TAO LIQUIDO

How well did you know this?
1
Not at all
2
3
4
5
Perfectly
13
Q

Margem na retirada de metástases hepáticas

até quanto pode tirar?

A

1mm
até remanescente de 20 % do fígado
O número e o tamanho da metástase hepática não são contraindicações para a ressecção hepática

How well did you know this?
1
Not at all
2
3
4
5
Perfectly
14
Q

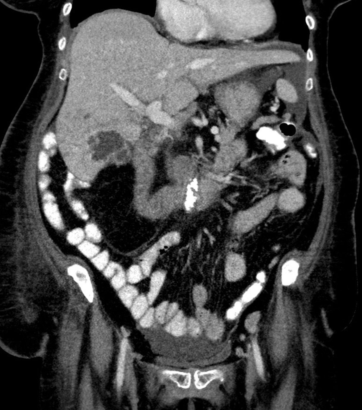
abscesso hepatico NA TC

A

(NEGOCIO QUE TEM LIQUIDO DENTRO) E EDEMA EM VOLTA, AS VEZES FICA MAIS CLARO NAS MARGENS

massa hipodensa bem definida com paredes/septos de reforço e edema periférico, como visto neste caso. O gás está presente em uma minoria de abscessos piogênicos.

How well did you know this?
1
Not at all
2
3
4
5
Perfectly
15
Q

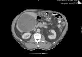
CISTO HIDATICO NA TC FIGADO

A

LIQUIDO E BEM REDONDINHO

How well did you know this?
1
Not at all
2
3
4
5
Perfectly
16
Q

CHC NA TC

A

PAREDE MAIS IRREGULAR E É MASSA DENTRO, PODE TER LIQUIDO DENTRO TAMBÉM MAS TEM MAIS ASPECTO DE ALGO QUE TEM CARNE DENTRO

17
Q

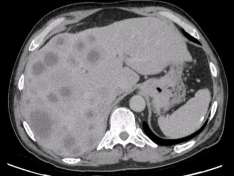
metastase hepatica na tc

A

TC axial aprimorada pelo contraste demonstra múltiplas lesões hepáticas hipodensas de tamanhos variados com borda periférica (aparência targetoid