MSK Flashcards

(59 cards)

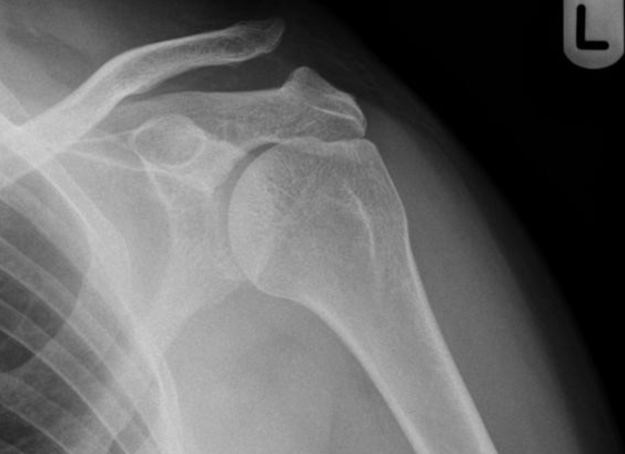
1
Q

What is this, describe.

A

Left Acromio-clavicular joint dislocation

How well did you know this?
1
Not at all
2
3
4
5
Perfectly
2
Q

What is the management for this? No dosing needed

(4)

A
  1. Short term use of a sling for pain relief
  2. Referral for physiotherapy to start early ROM to maintain left shoulder function
  3. Simple analgesia
  4. Ice the left shoulder for 48-72 hours following injury
How well did you know this?
1
Not at all
2
3
4
5
Perfectly
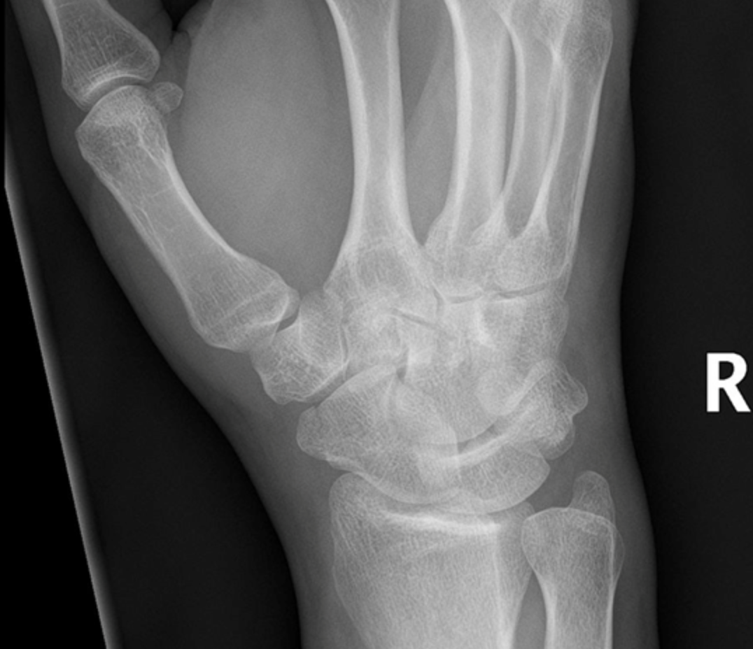
3
Q

Describe the pathology here…

A

Right distal undisplaced Scaphoid Fracture

How well did you know this?
1
Not at all
2
3
4
5
Perfectly
4
Q

How to you manage a scaphoid fracture initially?

A

Immobilisation in a thumb spica cast

(or Immobilisation of the fracture in a below elbow / short arm / scaphoid cast)

How well did you know this?
1
Not at all
2
3
4
5
Perfectly
5
Q

What are complications after a scaphoid fracture injury?

(2)

A
  1. Non union of the scaphoid bone
  2. Avascular necrosis
How well did you know this?
1
Not at all
2
3
4
5
Perfectly
6
Q

What are the Ottawa Knee rules?

A

after knee trauma any one of the following should prompt an XRAY

  1. aged 55 years or over.
  2. tenderness at the head of the fibula.
  3. isolated tenderness of the patella.
  4. inability to flex knee to 90 degrees.
  5. inability to bear weight (defined as an inability to take four steps, ie. two steps on each leg, regardless of limping) immediately and at presentation.
How well did you know this?
1
Not at all
2
3
4
5
Perfectly
7
Q

What are the Ottawa foot and ankle rules?

A

Any one of the following should prompt an XRAY

  1. Tenderness on lateral malleolus distal posterior edge 6 cm
  2. Tenderness on Medial malleolus of distal posterior 6 cm
  3. Pain at the midfoot with tenderness at the base of the 5th metatarsal OR navicular bone
  4. Inability to weight bear immediately or in the ED (4 steps)
How well did you know this?
1
Not at all
2
3
4
5
Perfectly
8
Q

How to manage Plantar Fasciitis?

(6)

A

Night splints
Avoid exacerbating activities
Education it can take 12-18 months to heal
Can use NSAIDs
Plantar fascia stretching and massage
Use appropriate footware
cushioned heel inserts or prefabricated shoe inserts

How well did you know this?
1
Not at all
2
3
4
5
Perfectly
9
Q

Tibialis Posterior Syndrome
“adult acquired flat foot”

what are some treatment options

A

Treatment depends on stage

Likely send to a podiatrist for ankle foot orthosis for 2,3,4 stages

Immobilisation in cast/boot for 3-4 months for stage 1

Potential surgery- different types for different stages

How well did you know this?
1
Not at all
2
3
4
5
Perfectly
10
Q

What are these stages of?
(No trauma involved)

How to address this?

A

Stages of Basal thumb arthritis

Hand therapy: education, orthoses, exercises
Analgesia; Warmth cold, simple analgesia, intra-articular injections
Operative: goal of surgical intervention is to eliminate pain and restore hand function while maintaining stability and mobility

How well did you know this?
1
Not at all
2
3
4
5
Perfectly
11
Q

The volar plate is a multilayered condensation of fibrocartilagenous tissue lying between the flexor tendons and the palmar PIPJ capsule. It originates from the proximal phalanx and inserts onto the middle phalanx.

What is the most common mechanism of injury, and what is the injury that occurs in this region?

A

mostly from hyperextension at the PIPJ in younger patients in contact sports cause the injury

(occasionally crush injuries)

Main issue is that it causes an avulsion fracture at the base of the middle phalanx

How well did you know this?
1
Not at all
2
3
4
5
Perfectly
12
Q

This is treatment for?

A

Volar plate injury/avulsion fracture if
extraarticular fractures with < 10° angulation or < 2mm shortening and no rotational deformity
non-displaced intraarticular fractures
technique

( if > 10degress or > 2mm shortening then refer to hands specialist)

3 weeks of immobilization followed by aggressive motion

Splinting in 20 degrees flexion, preventing extension.

How well did you know this?
1
Not at all
2
3
4
5
Perfectly
13
Q

What tendons are involved in De Quervains Tenosynovitis?

What are treatments?

A

The first dorsal compartment comprises the extensor pollicis brevis (EPB) and the abductor pollicis longus (APL) tendons.

Options for conservative management include prescription of
nonsteroidal anti-inflammatory drugs,
corticosteroid injections and referral to occupational or hand therapy for fabrication of an orthosis (splint) for 4-6 weeks and further treatment
Hand therapists: graded exercises, soft tissue massage

Surgery should be considered for recalcitrant cases that have shown no improvement with conservative measures over a 3–6-month time frame

How well did you know this?
1
Not at all
2
3
4
5
Perfectly
14
Q

What is the finkelstein test?
What makes it positive?

A

For De Quervains Tenosynovitis
A positive test will elicit pain along the radial wrist when the thumb is held into flexion across the palm and the wrist is moved into ulnar deviation by the examiner

How well did you know this?
1
Not at all
2
3
4
5
Perfectly
15
Q

What is Dupytren’s contracture?

A

is a ..fibroproliferative disease that involves collagen deposition, leading to hand contractures that ultimately affect hand mobility and grip strength.

How well did you know this?
1
Not at all
2
3
4
5
Perfectly
16
Q

What tests on exam would you expect find pain on movement with lateral epicondylitis?

(4)

A

resisted wrist extension with elbow fully extended

resisted extension of the long fingers

maximal flexion of the wrist

passive wrist flexion in pronation causes pain at the elbow

How well did you know this?
1
Not at all
2
3
4
5
Perfectly
17
Q

Broad treatment options for carpal tunnel syndrome?

A

Activity modification

Night Time splints

Corticosteroid injection

Surgery

Analgesia (NSAIDs)

How well did you know this?
1
Not at all
2
3
4
5
Perfectly
18
Q

Name the bones in the knee joint. This is the right knee

A
How well did you know this?
1
Not at all
2
3
4
5
Perfectly
19
Q

When the patella ligament gets inflamed, what can happen?

What is this known as?

A

This inflammation is known as Osgood Schlatter disease.

It usually affects adolescents. Usually boys or highly active children, especially if they are jumping a lot.

There can be a small lump present

whoThere can be small avulsion fractures at the tibial tuberosity (distal attachment of the patella ligament).

How well did you know this?
1
Not at all
2
3
4
5
Perfectly
20
Q

Where are the bursa on this picture?

And what conditions can you get if the seperate ones are inflamed?

A

Prepatella bursa- housemaids knee

Infrapatella bursae - Clergyman’s knee

Suprapatella bursitis does not have a fancy name. caused by a direct blow to the knee. or repetitive stretching of the quadriceps in motion.

How well did you know this?
1
Not at all
2
3
4
5
Perfectly
21
Q

What determines the naming of the ACL and PCL knee ligaments?

A

They are named after where they attach on the TIBIA.

Anterior Cruciate Ligament. It attaches medial side anteriorly on the tibia. but inserts posteriorly on the lateral femur.
“prevents the tibia sliding out in front of the femur”

Posterior Cruciate Ligament. It attaches laterally posteriorly on the tibia but inserts anteriorly on the medial femur
“prevents hyperextension”

“LAMP”

ACL: lateral insertion, anteriorCL moves medially
PCL, medial insertion, moves laterally

How well did you know this?
1
Not at all
2
3
4
5
Perfectly
22
Q

What complication and issues arise if the head of the fibula is fractured?

A

Can injury the common perineal (fibular) nerve. This can cause a foot drop. Unable to dorsiflex or evert the foot. Will also lose sensation.

How well did you know this?
1
Not at all
2
3
4
5
Perfectly
23
Q

What is are the criteria for the Ottawa knee rules and when should it be used?

A

It is used in the setting of acute trauma for anyone aged 2 and over.

If any ONE of the following criteria are met, the patient should get an XRAY.

  1. Age >55
  2. SOLATED patella tenderness
  3. Tenderness at the fibular head
  4. Unable to flex the knee to 90degrees
  5. Unable to weight bear on the leg both immediately and in ED/clinic
How well did you know this?
1
Not at all
2
3
4
5
Perfectly
24
Q

When is an MRI of the knee recommended?

(4)

A
  1. ACL rupture. “sensation the knee came apart, usually during sudden deceleration to stopping, or change in direction. Those playing sport at the time usually have to be helped from the field. DON’T 100% need an MRI if enough clinical suspicion.
  2. Meniscal injury. Usually sudden turning or pivoting. Thelassy test positive.
  3. Keep in mind clinical examination is as good as MRI in most cases of ACL rupture. However if the disability is so bad then an MRI can be used for surgical planning.
  4. If diagnosis is uncertain or if there is concern about patient management. May be appropriate to get an MRI, especially if it’s been 6-8 weeks and symptoms have failed to settle.
25
4 R's of meniscal tear management?
Rest Rehabilitation Review Refer if not improving (not sure this really needed a specific way to remember it)
26
What is the typical patient and pain profile of a patient with a medial meniscal tear (4)
Usually a vertical, bucket handle tear is in younger patients who are active. Usually more males and peak incidence is in ages 20-29. -Pain is usually on weight bearing, or pivoting movements about the knee. -There can be pain at night when turning to the side to sleep which can wake the person up. -Not classified as pain at rest -usually sharps stabbing pain lasting several seconds
27
What is the mechanism behind not being able to extend the knee with a bucket handle meniscal tear (2) ?
1. Pseudo locking either due to a. effusion/swelling that would cause increased force to extend the knee b. pain from the femoral condyle compressing the medial meniscus. Either of these are the likely cuase. 2. True locking, by which the meniscus actually gets jammed between the two bones, preventing extension. (quite rare).
28
What is this test for a meniscal injury?
Thessaly Test The clinician holds the patient's outstretched hands for support, while the patient stands flat-footed with their knee flexed to 20 degrees and rotates their body and knee three times, internally and externally. The test is positive if symptoms are reproduced on rotation. Primarily pain. Grinding, weakness or 'giving way' are not usually due to meniscal injuries
29
What are important points on history to take when assessing a sporting knee injury? (7)
1. Weight bearing at the time of injury? 2. Able to weight bear after injury? 3. Stress on joint, was it a valgus or varus angle or a rotational force at time of injury? 4. Sound and feeling pop - usually ACL shift in knee - usually ACL (or patella dislocation) 5. Did the patient collapse after the injury (not LOC, but because joint instability) 6. Swelling present, and how quickly did it develop. If a large effusion presents in the first hour it could be a haemarthrosis. 7. Clicking, locking or instability clicking- meniscal tears or chondral pathology locking- meniscal tears giving way with rotational movements- ACL rupture instability walking down stairs- PCL rutpure
30
What is the Lachmann test? a. what is it used for b. how is it done c. when is it 'positive'
a. To test for ACL rupture b. bending the hip 45 degrees and the knee 90 degrees, then pulling the knee forward with a sudden jerk to test the leg's range of motion. c. If it moves 6 mm beyond its normal range of motion, then you may have an ACL tear or injury
31
What is the initial management of a non fracture related sporting knee injury i.e first 48 hours?
1. icing for 15 minutes every 2 hours 2. Compression from ankle to upper thigh 3. Elevation whenever the patient is resting 4 Splints and crutches should only be used in the initial post injury period, any longer and it is disadvantageous.
32
What is the first line therapy for ACL rupture? What can help expedite the process and improve changes of return to normal function after surgery? (2)
Surgery is the only first step in management so would need a referral. Under the MBS you can order a MRI knee with a rebate and can be done prior to ortho review, this can prevent an extra surgical consult. Physiotherapy rehabilitation should ideally begin prior to surgery (surgery is usually done 6 weeks after the injury to allow swelling to go down)
33
What is the management for PCL tears vs rupture?
PCL sprains (aka. tears) can be managed exclusively by GPs with RICE principals and guided rehabilitation over 6-10 weeks. PCL ruptures on the other hand should be referred to an orthopaedic speciality to ensure no occult injuries are missed, the right splint is used and that any complications of conservative management are detected early on.
34
A valgus stress can cause a medial collateral ligament sprain and a varus strain can cause a lateral collateral ligament strain. What is the difference in management for the two?
MedialCL can be managed conservatively at all grades of injury. A hinged knee brace can be initially useful to prevent instability from valgus forces and varus forces LateralCL injuries, due to being common with ACL or PCL RUPTURE, should be referred to orthopaedics.
35
For meniscal tears what is the recommended management? Keep in mind young vs. old
Younger patients tend to get bucket handle medial meniscal tears and should get an orthopaedic review. Especially if there is locking. Older patients with degenerative tears (more horizontal) can adequately be managed with conservative guided rehab for 4 weeks, and if that fails then refer on. (for surgeons. debridement of central segment of the meniscus is usually quite good at symptom relief in adults, and meniscal repair is generally reserved if there is a peripheral edge tear to the meniscus - something to do with more vascularity)
36
What is PFPS?
Patello femoral Pain syndrome Pain occurring around or behind the patella that is made worse with once activity that loads the patella during weight bearing on a flexed knee. Also known as runners knee or anterior knee pain syndrome
37
Risk factors for patello femoral pain syndrome?
Female Dynamic valgus angle (increases patella maltracking) Activities like running, squatting, climbing up and down stairs Foot abnormalities Quadricep weakness
38
What is the most sensitive test for PFPS?
pain with squatting
39
Mainstay of management for PFPS?
Rest and ice initially NSAIDs Physical therapy Short term kinesiotaping
40
The structures in the shoulder are innervated by the C5 nerve root. What can be causes of shoulder pain in this area, actual and referred? (7)
Biceps tendon Rotator Cuff tendons, especially supraspinatus C spine pathology Upper roots of brachial plexus Soft tissue as in PMR Glenohumeral joint Viscera (especially those innervated by the phrenic nerve: C3-4-5): cardiac, lung disease.
41
The shoulder joint is a misnomer. There is no one 'shoulder joint.' Rather the shoulder is a region made up of muscles and 4 joints, those are?
1. Sternoclavicular joint 2. Acromioclavicular joint 3. Glenohumeral joint 4. Scapular thoracic joint (not always considered a joint because there are no ligaments, but the scapular slides across the posterior ribs)
42
Most common causes for shoulder pain?
1. C spine dysfunction 2. Rotator cuff tendinopathy/tear 3. Adhesive capsulitis 4. Biceps tendinopathy
43
What would restricted shoulder range of movement (active and passive) without pain vs. with pain indicate?
Without pain more likely an arthritis of the glenohumeral joint With pain- adhesive capsulitis (frozen shoulder)
44
Testing of resisted movements of shoulder exam is one of the most useful testing. What would painful resisted abduction indicated? What would painful or restricted internal rotation indicate?
Abduction - supraspinatus tendon issue Internal rotation - subscapularis
45
Shoulder impingment is the result of compression of the rotator cuff muscles by superior structures (AC joint, acromion, CA ligament) leading to inflammation and development of bursitis Shoulder impingement is the first stage of a continuum of disease: List the 4 stages.
impingement and bursitis partial to full-thickness tear massive rotator cuff tears rotator cuff tear arthropathy
46
What is the step up treatment for treating shoulder impingement?
1. NSAIDS 2. Aggressive strengthening, physical therapy 3. Subacromial injections then 4. Shoulder surgery for those that fail 4-6 months of non surgical options
47
What is this condition most associated with? (4)
This is adhesive capsulitis Diabetes Thyroid disease trauma Prolonged immobility
48
What is this demonstrating? What is it helping to diagnose?
Hawkins Kennedy Test Testing for shoulder impingement
49
what is this demonstrating if positive?
Neer test, Also tests for shoulder impingement
50
What is the treatment for Adhesive Capsulitis? (4)
Heat or Cryotherapy NSAIDS Physiotherapy for pain free stretching Eventual surgery if conservative measures fail
51
If palpating the biceps groove, when examining a patient with shoulder pain, what would this indicate? And what resisted movement would be painful/restricted?
Biceps tendinopathy Flexion of the forearm against resistance.
52
Therapy for biceps tendinopathy?
Steroid injections NSAIDS physio for strengthening
53
Rotator cuff tears are similar in presentation to ___(a)___. You can use an __(b)___ to investigate/diagnose. For partial tears you would treat in a similar way to ___(c)___. Which involves NSAIDS, ___(d)___ strengthening by the physio, and potential ___(e)___ if all else fails. For full thickness tears or partial articular supraspinatus tendon avulsion (PASTA) ___(e)___ is indicated as first line.
A. Impingement B. Ultrasound C. Shoulder impingement D. aggressive E. surgery
54
What are the four locations reported for a superficial bursitis?
1. Olecranon 2. Prepatella 3. Calcaneal 4. Superficial infrapatella the first two are considerably more common than the last two
55
Which occupations are related with the following types of superficial bursitis? 1. Olecranon 2. Prepatella 3. Calcaneal 4. Infrapatella
1. Aircon tech, minors, plumbers, draftsmen, students, automechanics, wrestlers, gynmasts, gardners 2. Coal miners, carpet layers, housemaids, plumbers, concrete finishers, roofers 3. Figure skaters, dancers, rowers 4. Also coal miners, carpet layers, housemaids, concrete finishers and roofers
56
What are three differentials for this? 56 year old gardener, Medications: allopurinol. Otherwise well today
1. Chronic superficial bursitis of the right olecranon 2. Gouty tophaceous bursa 3. Septic arthritis (unlikely in this case) Gouty tophi would be less fluctuant/more dense Septic arthritis don't usually occur in superficial bursae such as the olecrannon
57
Who is at risk of septic arthritis? (4)
1. Diabetics 2. Those with CKD 3. Alcoholics 4. Immunocompromised
58
What is the mainstay of treatment for acute traumatic bursitis that is not a fracture or septic?
1. ice, elevation 2. Analgesics/antiinflammatories 3. Consider aspiration if significant bursal enlargement 4. Relative rest
59
Management options for chronic superficial bursitis?
1. Ice 2. elevation 3. activity modification 4. Appropriate padding 5. Compression wraps 6. OTC analgesia 7. Consider intra-articular injections. but there isn't a large evidence base for this. and there is risk of introducing infection.