Diagnosis?
MR appearance?
Cause?

Elastofibroma dorsi.
The fibrous component is low on T1 and T2, with interspersed fat. Low level heterogeneous contrast enhancement.
A degenerative fibrous pseudotumor with abundant collagen, a result of mechanical irritation (> 55 years, more common in women). Seen in the infrascapular region, deep to the serratus anterior and latissimus dorsi. Often bilateral.
Diagnosis?

Rheumatoid arthritis.
Diagnosis and sign?

AVN.
The “double line sign” is frequently seen on T2 weighted images in AVN (and bone infarcts) due to an inner bright line of granulation tissue next to an outer dark line of sclerotic bone.
Diagnosis?
What must be intact for this appearance to occur?

Bucket handle meniscal tear (80% are medial meniscus). Highly specific but variable sensitivity for bucket handle tear.
The ACL must be intact for the tear to look like this- in order to prevent the fragment from migrating further laterally.

Diagnosis?

Trans-scaphoid perilunate dislocation.
This injury is associated with scapholunate and radiocapitate ligament tears.
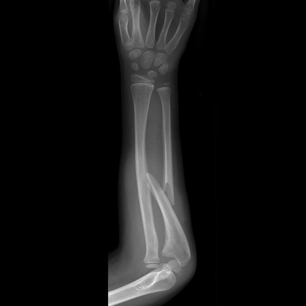
Diagnosis?

Monteggia fracture/dislocation - proximal ulnar fracture, radial dislocation (usually anterior). Due to fall on outstretched hand.
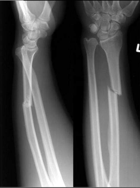
Diagnosis?

Galeazzi fracture/dislocation. Due to fall on outstretched hand with pronated forearm. Distal radial diaphysis fracture, ulnar dislocation at DRUJ (typically dorsal).
Risk of fracture nonunion, entrapment of the extensor carpi ulnaris tendon.
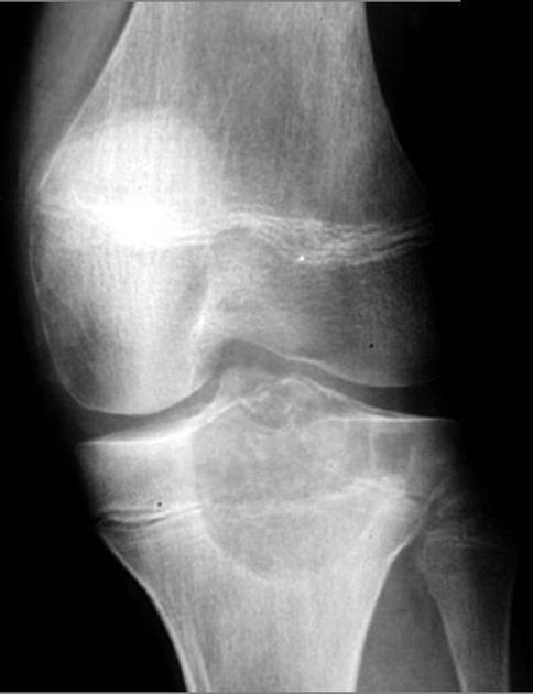
Diagnosis?
MRI findings?

Chondroblastoma. Benign cartilaginous neoplasm common in the 2nd-3rd decades of life.
Circumscribed osteolytic leseion in the epiphysis with a sclerotic rim. Can have calcified chondroid matrix (30-50%). MRI: signal typical of cartilage- low to intermediate T1, intermediate to high T2. Surrounding edema common.
Diagnosis?
What is it?

Chondroblastoma.
A benign cartilaginous neoplasm, common in the 2nd-3rd decades of life. Arises in the epiphyses of long bones. Calcified chondroid matrix seen in 30-50% of chondroblastomas.
Diagnosis?
Common presentation?

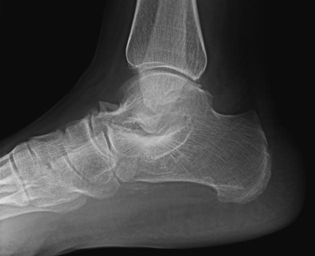
Talocalcaneal coalition- talar beaking with absence of the middle facet of the subtalar joint. 2nd most common type of coalition (after calcaneo-navicular), can be osseous, fibrous, or cartilaginous.
May present with peroneal spastic flatfoot.
What is Preiser’s disease?
Scaphoid osteonecrosis in the absence of prior trauma.
(Note - post fracture, osteonecrosis occurs in the proximal pole of the scaphoid due to distal to proximal blood flow. Sclerosis on xray, low T1 and T2 on MRI)
How is a discoid meniscus diagnosed?
What is different about the diagnosis of a tear in a discoid meniscus?
Redundant meniscal tissue covering a large portion of the femoral-tibial articular surface. Suggested by the identification of meniscal tissue on 3 continuous sagittal 5 mm slices OR a meniscal body >15 mm wide or extending into the intercondylar notch on coronal images. More common laterally.
A symptomatic knee with abnormal signal within a discoid meniscus is considered a tear regardless of articular surface extension.
Diagnosis?
What is it?

Non-ossifying fibroma. (if smaller called fibrous cortical defect, aka MFD)
The most common of benign fibrous bone lesions, common in children and adolescents (peak incidence 10-15 years). They are usually not seen beyond the age of 30, as they spontaneously heal being gradually filled in by bone.

Diagnosis?
Imaging findings?
Cause?

Dorsal intercalated segmental instability (DISI).
See dorsal tilt of the lunate on lateral view (>20º relative to capitate), widening of the scapholunate interval (>5 mm) on PA view.
Occurs as a result of disruption of the dorsal intercarpal ligament. Causes include carpal bone fracture (most commonly scaphoid) and scapholunate ligament dissociation.
Diagnosis?
Differential?

Superior labral anterior-posterior (SLAP) tear. Extends laterally along the labrum, vs a sublabral sulcus which extends medially. Not associated with shoulder instability. Many types.
Differentiate from:
Superior sublabral sulcus = normal variant of the superior sublabral recess, which is normally present at the attachment of the biceps tendon to the glenoid labrum. May be continuous with a sublabral foramen if present. Extends medially.
Sublabral foramen = separation of the labrum from underlying glenoid, at anterosuperior labrum, doesn’t extend posteriorly past the insertion of the long head of the biceps tendon.

What to look for on MRI?
Look for posterior tibial tendon tear, causing midfoot collapse (plantar subluxation of the talar head relative to the navicular). Commonly coexists with spring ligament failure.
Chronic injury, common in obese women and those with inflammatory arthropathies in 5th-6th decades.
What are the main ligaments of the ankle?

Identify the tendons.

Anterior group, from medial to lateral: 1. Tibialis anterior, 2. Extensor hallicus longus, 3. Extensor digitorum longus.
Lateral group: 5. Peroneus longus, 6. Peroneus brevis.
Medial group, from anterior to posterior: 10. Tibialis posterior, 9. Flexor digitorum longus, 8. Flexor hallucis longus.

Diagnosis?
Differential?

Intramuscular myxoma - low t1 with peritumoral fat rind, high T2, would have mild internal enhancement. A solitary benign soft-tissue tumor most common in women age 40-70.
Myxoid liposarcoma (look for fatty nodules, fatty septa) and myxoid chondrosarcoma can look very similar!
7M. Diagnosis?

Legg-Calvé-Perthes disease - an idiopathic avascular necrosis (AVN) of the growing femoral epiphysis seen in children.
What is Pellegrini-Stieda disease?
Ossification of the MCL near the margin of the medial femoral condyle, a result of healed past trauma to the MCL.
Diagnosis?
Cause?

Particle disease (aka aggressive granulomatosis).
An osteolytic histiocytic response of the bone to small polyethylene particles shed from the articular lining of orthopedic hardware. Look for abnormal liner wear, evident by superiorly malpositioned femoral head component in this case. May be asymptomatic until it is enough to cause loosening.
Diagnosis?
Imaging findings?

Psoriatic arthritis. Hands and feet most commonly involved. Rheumatoid factor negative, 60% HLA-B27 positive. Skin findings precede arthritis in 90%.
Periarticular marginal erosions and proliferation of bone (leads to “fuzzy” appearance). May see: pencil in cup deformity, sausage digit, “ivory phalynx-“
sclerotic distal phalanx of great toe, late- arthritis mutilans, asymmetrical sacroiliitis.
Diagnosis?
Cause?

Melorhestosis.
Thought to be a developmental error in intramembranous bone formation with overproduction of bone matrix in skeletal regions innervated by a single spinal sensory nerve. Usually presents in late adolescence or early adulthood, chronic, progressive course.