What is multiple sclerosis?
Autoimmune disease - idiopathic
CNS demyelination causing plaque formation in the brain and spinal cord
How do plaques in multiple sclerosis look?
Areas of myelin loss in the CNS with infiltration of lymphocytes and mø

Epidemiology of multiple sclerosis
100-150 per 100,000
7 incidences per 100,000 in the UK each year
20-40 year olds
M:F 2:1
Rare near equator - role of vitamin D is the hypothesis
Aetiology of multiple sclerosis
T-cell mediated immune response
Trigger: multifactorial, genes, environment
MS pathophysiology
Unknown tirgger allows T-cells through blood brain barrier
T-cells primed against myelin attack the myelin and oligodendrocytes
3 processes:

What are oligodendrocytes?
Large glial cells in the CNS that make myelin sheath

Discuss the healing and progressive stages of MS
Healing: demyelination occurs and neurones try to repair but this is an incomplete process and plaques form
Progressive: eventually poor healing leads to progressive neurological dysfunction without remission
Clinical features of MS
Visual, motor, sensory and autonomic signs dominate
45%: motor symptoms + sensory symptoms
20%: spasticity (increased muscle tone)
10%: brain stem dysfunction e.g. double vision
25% have a combination of the above
Memory loss
Depends on site of lesion e.g. if optic nerve affected: visual loss, frontal lobes affected: disinhibition
Eponymous signs in MS
Lhermitte’s sign: neck flexion = tingling down spine
Uhthoff’s phenomenon: symptoms get worse when body temp changes e.g. loss of vision when exercising
Discuss MS relapses
What is a state that decreases MS relapses?
Pregnancy - although relapse risk increases following
What are the 4 clinical patterns of MS
Relapsing remitting MS
Most common type: 85%
As disease progressive there is less recovery
Primary progressive MS
10-15%
Average onset = 40yrs
More common in men
SDisability progressive from onset with no remission
Secondary progressive MS
Starts off as relapsing-remitting but then becomes progressive with no remission
Occurs in 50-60% after around 10-15yrs
Progressive relapsing MS
Most rare form, pattern is no remission - instead of remission patients have period where the condition gets rapidly worse
What is clinically isolated syndrome?
CIS = first incidence of neurological symptoms that last for >24hrs and isnt causes by anything that can be explained e.g. fever/ infection
CIS can be the first sign of MS - although at this time it is not diagnosed
MRI scan may show lesions in brain/ spinal cord similar to those in MS and this makes changes of further episodes and a diagnosis of MS more likely
Not diagnosed as MS at that stage because MS requires 2 isolated incidents showing demyelination (unless evidence of a previous attack on MRI)
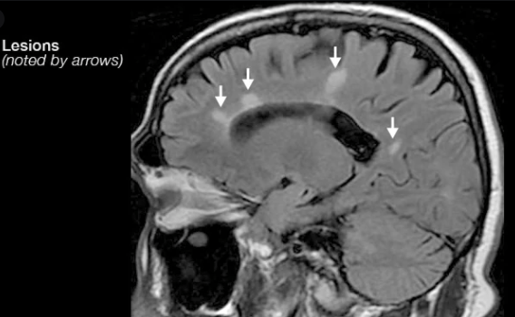
Which imaging modality is used to support a diagnosis of MS?
MRI - lesions look like smudges
Shows contrast-enhancing lesions in the white matter especially around the ventricles, brainstem and cerebellar peduncles

How is MS diagnosed?
Usually a clinical diagnosis
Supported by neuro imaging and CSF analysis
Conduction velocity studies can support the diagnosis
Discuss CSF analysis in MS
Presence of oligoclonal bands of IgG in the CSF because B cells in the CNS make more IgG
If a patient has unpaired oligoclonal bands in the CSF (and not in the blood) think MS
Is there a cure for MS?
No - treatment aims to limit relapses and improve function while controlling symptoms
How are acute relapses of MS managed?
3 day course of oral/ IV methylprednisolone
Reduces symptoms + speeds recovery
Doesn’t impact relapse rate or long-term disability
Disease modifying drugs in MS
Used to reduce rate of relapse
- All apart from beta interferon are only used for relapsing-remitting MS
Natalizumab = most widely used
Natalizumab
Used to reduce relapse rate in relapsing-remitting MS
Blocks migration of WBCs through BBB
Given IV every month