Multiples Flashcards

(34 cards)

1
Q

What is the epidemiology of multiples?

A

•Twins: 1: 80 pregnancies (increasing). (1.8% all births in Ireland)
•Triplets: 1: 1000 (decreasing)

•ethnicity
DZ twin prevalence
Japan / Taiwan = 2-7 / 1000 births
Europe / Australia / USA = 8-20 / 1000 births
Nigeria / Zimbabwe / Jamaica = > 20 / 1000 br

How well did you know this?
1
Not at all
2
3
4
5
Perfectly
2
Q

What is the etiology of dizygotic twins?

A
  • genetics
  • increased maternal age
  • high parity
  • high BMI
  • taller maternal height
How well did you know this?
1
Not at all
2
3
4
5
Perfectly
3
Q

The incidence of multiple pregnancy is increased in (T/F)
•People of afro-carribean race
•In women treated with bromocriptine for infertility
•In women treated by IVF
•With advancing maternal age
•First pregnancies

A

•People of afro-carribean race (T)
•In women treated with bromocriptine for infertility (F)
•In women treated by IVF (T)
•With advancing maternal age (T)
•First pregnancies (F)

How well did you know this?
1
Not at all
2
3
4
5
Perfectly
4
Q

.

A

Monozygotic Dizygotic (70%)
uniovular binovular
‘identical’ ‘fraternal

How well did you know this?
1
Not at all
2
3
4
5
Perfectly
5
Q

What determines whether they share the same amnion or chorion?

A

When zygote splits

How well did you know this?
1
Not at all
2
3
4
5
Perfectly
6
Q

Which of the following is true in relation to twin pregnancies
•Dizygotic twins are always the same sex
•In monzygotic twins when the zygote splits between day 4-8 the pregnancy will be dichorionic, monoamniotic
•70% of twin pregnancies are monozyotic
•In monozygotic pregnancies when the zygote splits after day 13 conjoined twins will develop
•Binovular twins are also called identical twins

A
How well did you know this?
1
Not at all
2
3
4
5
Perfectly
7
Q

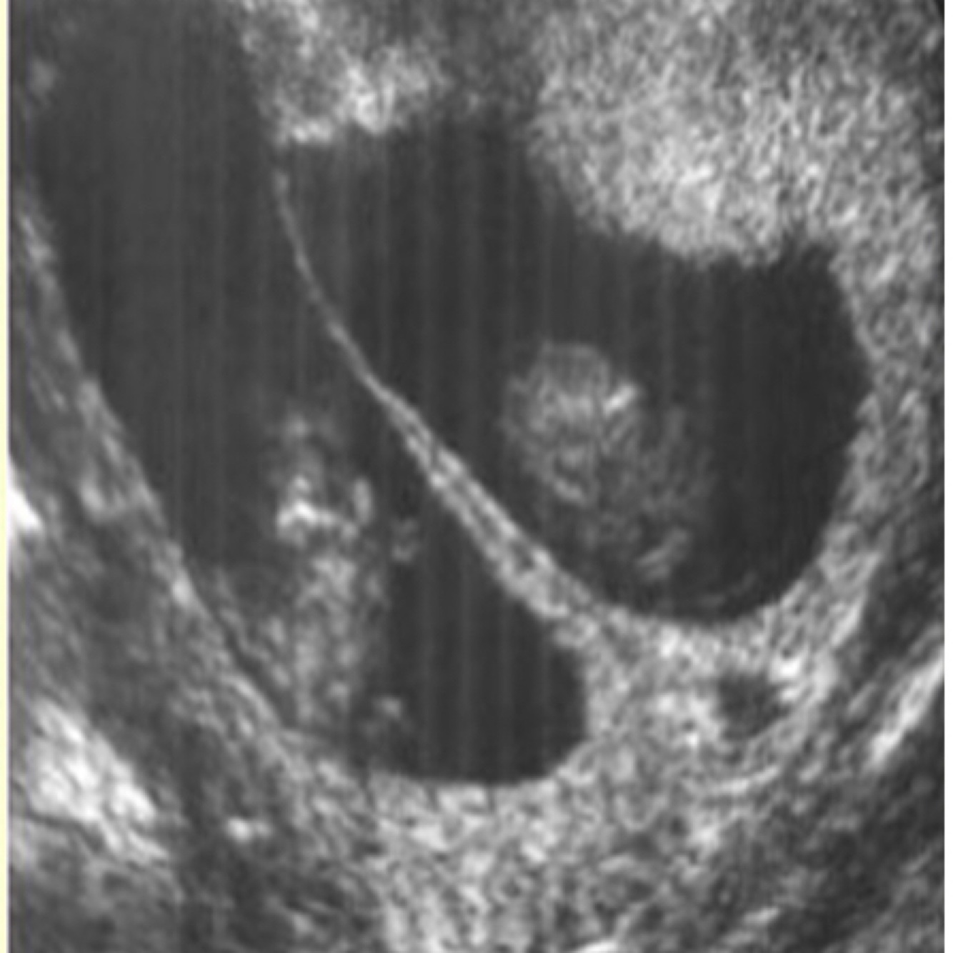
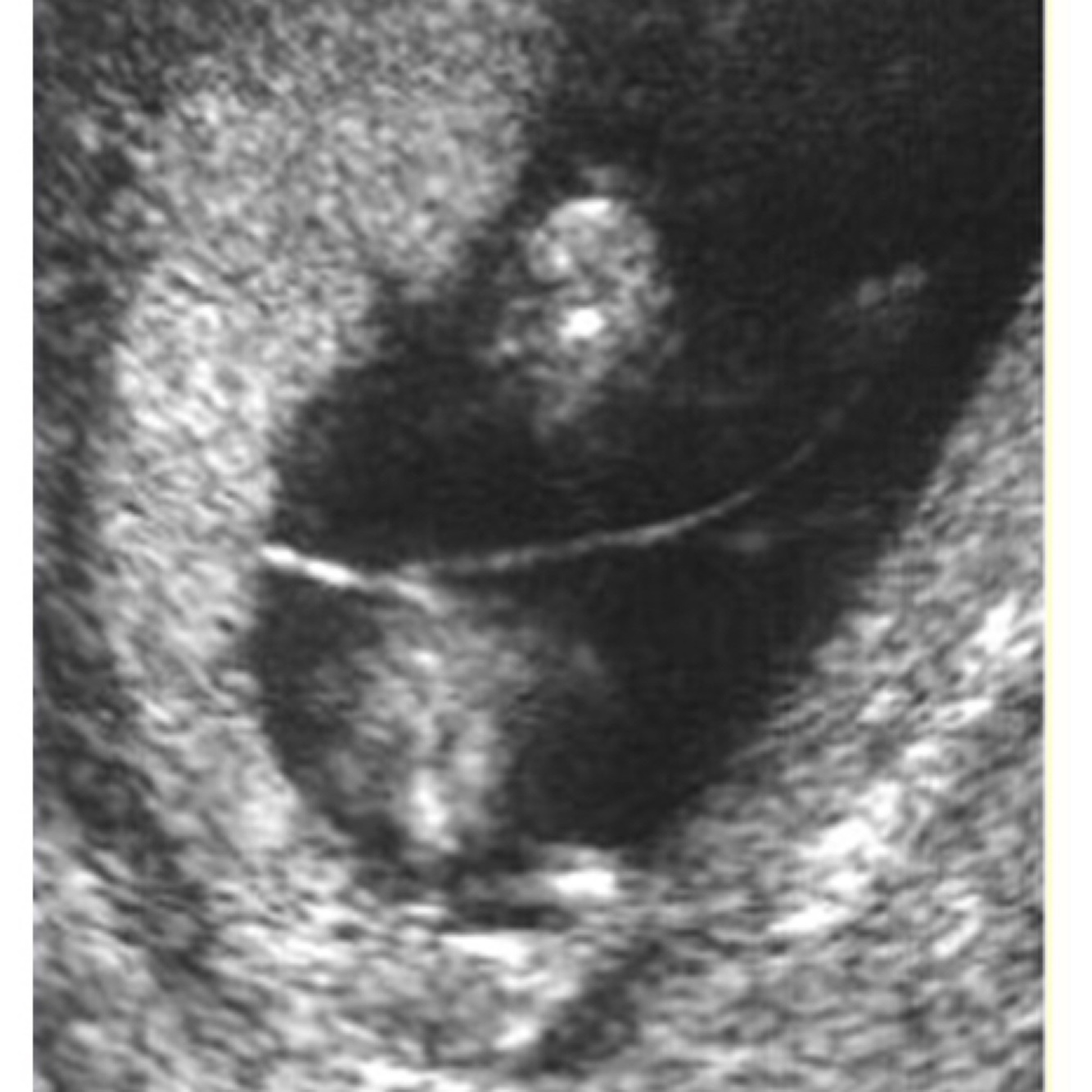
When is the mono or dichorionic ultrasound diagnosis best done?

A

first trimester (Twins of opposite gender always DC). Keep photograph in the notes.

How well did you know this?
1
Not at all
2
3
4
5
Perfectly
8
Q

What can help determine if the twins are mono or dichorionic?

A

A) Number of placental masses
If one placental mass

B) -The ‘T’ sign predicts monochorionicity

     -The ‘λ’ sing predicts dichorionicity.
How well did you know this?
1
Not at all
2
3
4
5
Perfectly
9
Q

What are the features of the intertwin membrane in a di-chorionic di-amniotic (DCDA) pregnancy?

A

•composed of two chorionic and two amniotic layers
•usually has a thick (often taken as > 2 mm ) inter-twin membrane
•may demonstrate a twin-peak sign at its margin

How well did you know this?
1
Not at all
2
3
4
5
Perfectly
10
Q

What are the features of the intertwin membrane in a mono-chorionic mono-amniotic (MCDA) pregnancy?

A

•composed two amniotic layers only
•usually has a thin (often taken as < 2 mm) inter-twin membrane

How well did you know this?
1
Not at all
2
3
4
5
Perfectly
11
Q

What is the T sign?

A

Thin membrane-just amnions between them

Makes a T-shape where membranes meet placenta (perpendicular to shared placenta)

How well did you know this?
1
Not at all
2
3
4
5
Perfectly
12
Q

What is the λ sign?

A

Membrane between them easy to see (4 layers thick). If two placentas close together then there is a triangular shape where the membranes meet the placenta

How well did you know this?
1
Not at all
2
3
4
5
Perfectly
13
Q

How are twins picked up as a clinical diagnosis?

A

Symptom?
•Marked vomiting in early pregnancy

Abdominal Examination?
•Uterus large for dates (palpable <12weeks)
•3 or more foetal poles
•2 foetal heart beats

•Normally picked up on ultrasound

How well did you know this?
1
Not at all
2
3
4
5
Perfectly
14
Q

What are the maternal ante partum complications of twin pregnancies?

A

•Hyperemesis
•Gestational Diabetes (? Increased hormones)
•Pre-eclampsia
•APH (PP: large placenta PA: ? Related to PET risk)
PPH (stretch effect and decreased tone)
•Anaemia (dilutional and low folate and iron)

•Mortality 2.5 times higher for twin pregnancy than singleton

How well did you know this?
1
Not at all
2
3
4
5
Perfectly
15
Q

What are the foetal ante partum complications for multiples?

A

•Increased mortality: 6 fold twins
•Increased morbidity: CP 4-5 fold twins, 18 fold trips
•IUGR: 14-25% of twin pregnancies
•Preterm-labour: 40% twins, 80% triplets
before 36 weeks.
•Miscarriage – (‘vanishing twin’ or foetus papyraceus in first trimester)

How well did you know this?
1
Not at all
2
3
4
5
Perfectly
16
Q

What is the median length of gestation for multiple pregnancies?

17
Q

What is a foetus papyraceus?

A

Early miscarriage

18
Q

Which of the following is not a known complication of twin pregnancies
•Pre-term delivery
•IUGR
•Maternal polycythaemia
•Hyperemesis
•Gestational Diabetes

19
Q

What causes monochorionic complications in multiples?

A

•Many due to vascular anastomoses in shared placenta
•A-A: V:V bidirectional: superficial
•A-V: unidirectional: deep

20
Q

What are monochorionicity complications largely due to?

A

Placental anastomoses

21
Q

What are potential monochorioicity complications?

A

•IUGR: sIUGR 10-15% of MC twins (? Superficial art-art anastomoses ? Placental territory issue). Can lead to iAREDF in smaller twin.

•TAPS: twin anaemia-polycythaemia sequence

•Co-twin death: if one dies. Drop in BP means acute transfusion of blood from the other. Causes hypovolaemia and possible death or neuro damage.

22
Q

What is TTTS?

A

Unequal blood distributions through anastomoses (A-V) in shared placenta

23
Q

How do twins with TTTS present?

24
Q

What staging system is used for TTTS?

A

Quintero Staging system
•Stage I: Discrepancy of AF volume but foetal bladder of the donor twin remains visible sonographically.
•Stage II: The bladder of the donor twin is collapsed and not visible by ultrasound.
•Stage III: Critically abnormal foetal Doppler studies in either twin. This may include absent or reversed end-diastolic velocity in the umbilical artery, absent or reverse flow in the ductus venosus, or pulsatile flow in the umbilical vein.

25
What are the 4 treatment options for TTTS?
•Serial amnioreduction (traditional treatment) •Selective fetoscopic laser coagulation of communicating vessels on chorionic plate before 26wks (preferred treatment lower rate of neonatal handicap) •Septostomy •Selective reduction
26
What is TRAP?
•Twin reversed arterial perfusion •Acardiac twin fails to develop head, arms, heart. •Receives blood supply from ‘pump’ twin •Acardic twin 100% fatal. Pump twin 50% mortality if not treated (high output CCF).
27
Twin-twin transfusion syndrome (t/f) •Occurs in 40% of MCDA pregnancies •The Donor twin is polycythaemic •The Quintero staging system has four stages •The best treatment option is amnioreduction
Twin-twin transfusion syndrome (t/f) •Occurs in 40% of MCDA pregnancies (f) •The Donor twin is polycythaemic (f) •The Quintero staging system has four stages (f) •The best treatment option is amnioreduction (f)
28
What intra-partum complication is seen in 20% of twins?
Malpresentation
29
What intrapartum complicaitons are seen with multiples?
•Malpresentation •Foetal distress: especially second twin (hypoxia, cord prolapse, abruption, malpresentation) •Post partum haemorrhage
30
How should twins be managed?
•High risk: Consultant led care •Iron & folic acid (5mg/day) supplements •Moderate risk factor for pre-eclampsia (consider aspirin if another moderate risk factor) •Exaggerated pregnancy symptoms •Financial concerns!
31
What ultrasound screening for complications/risk is done for twins?
Chorionicity: Monochorionic (greater surveillance) Scan every 2 wks – from 16 wks until birth -> as greater risk of growth restriction and TTTS -> TTTS diagnosed approx 16-22 wks (increase to weekly if concerns about amniotic fluid level – e.g. difference in deepest pool depth of 4cm or more or if concerns re growth as
32
What are indications for referral to tertiary centre?
•Suspected Monoamnionicity •Suspected TTTS •Foetal Structural abnormality •Suspected Growth Discordance (ESPRiT trial says > 18% more likely for perinatal morbidity) •Single Foetal Demise in Monochorionic Pregnancy
33
How should twins be managed inrapartumly?
•C-section: -increasingly used for uncomplicated cases. •Definite indications: - Higher multiples - Complications -Malpresentation 1st twin -MCMA -? Monochorionic twins •DC: 38, MC: 37 (UK: 37, 36) •CTG •+/-Epidural Second twin •May need ECV if lie not longitudinal •Don’t rupture membranes until presenting part
34
In twin delivery (T/F) •The first twin is at greater risk than the second •Labour usually occurs before term •Epidural analgesia is best avoided •There is an increased risk of PPH •The commonest presentation is one cephalic:one breech
•The first twin is at greater risk than the second F: morbidity and mortality greater in second twin •Labour usually occurs before term T: overdistension of uterus-> preterm labour •Epidural analgesia is best avoided F •There is an increased risk of PPH T: ? Uterine atony ? Larger placental sight •The commonest presentation is one