Multisystem Flashcards

(67 cards)

1
Q

Pathology?

A

Osteoporosis

increased resorption and decreased bone formation; overall organic to mineral matrix balance remains the same, but spicules are smaller, thinner, and more fragile

How well did you know this?
1
Not at all
2
3
4
5
Perfectly
2
Q

Pathology?

A

Osteomalacia

overabundance of organic matrix that is not mineralized, due to a deficiency of vitamin D; see widening of osteoid seams

How well did you know this?
1
Not at all
2
3
4
5
Perfectly
3
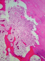
Q

Pathology?

A

Paget’s disease (osteitis deformans)

caused by infection of osteoclasts by Paramyxovirus; osteolytic stage (osteoclast stimulated by virus, resorbs bone) => osteolytic/osteoblastic stage (lysis of bone continues, but also osteoblastic activity laying down abnormal bone) => mosaic pattern

often incidental finding

How well did you know this?
1
Not at all
2
3
4
5
Perfectly
4
Q

Pathology?

A

Osteomyelitis

infection of the bone (60% S. aureus; Beta hemolytic strep next most common)

How well did you know this?
1
Not at all
2
3
4
5
Perfectly
5
Q

Radiographic finding?

A

Buttress

periosteal reaction caused by slow-growing tumors that provoke cortical thickening

How well did you know this?
1
Not at all
2
3
4
5
Perfectly
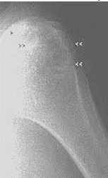
6
Q

Radiographic finding?

A

Codman’s triangle

elevation of periosteum to a significant degree, forming and acute angle

How well did you know this?
1
Not at all
2
3
4
5
Perfectly
7
Q

Radiographic finding?

A

Hair-on-end appearance

periosteal reaction due to new bone formation

How well did you know this?
1
Not at all
2
3
4
5
Perfectly
8
Q

Radiographic finding?

A

Osteoid

cloud-like or ill-defined amorphous densities with haphazard mineralization

How well did you know this?
1
Not at all
2
3
4
5
Perfectly
9
Q

Radiographic finding?

A

Chondroid

focal stippled or flocculent densities, or in lobulated areas, as rings or arcs of calcifications

How well did you know this?
1
Not at all
2
3
4
5
Perfectly
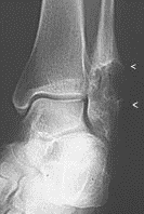
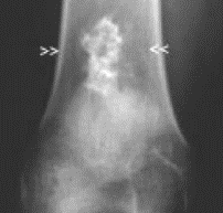
10
Q

Pathology?

A

Osteoid osteoma

benign, bone-producing neoplasm; small size, limited growth potential, but causes extensive reactive changes in surrounding tissues

10-25 years; 50% in femur and tibia

How well did you know this?
1
Not at all
2
3
4
5
Perfectly
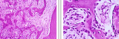
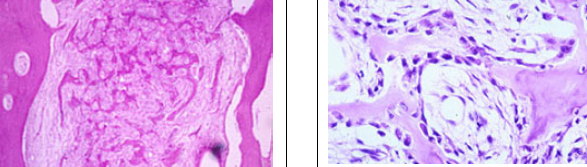
11
Q

Pathology?

A

Osteoid osteoma

thin, often interconnected spicules of osteoid and woven bone rimmed by osteoblasts; osteoclast-like giant cells can be seen; intervening fibrous stroma shows prominent vascularity; without significant nuclear atypia

How well did you know this?
1
Not at all
2
3
4
5
Perfectly
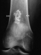
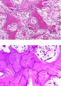
12
Q

Pathology?

A

Osteoblastoma

rare, bone-producing neoplasm

second and third decades; axial skeleton (spine and sacrum), mandible, and other craniofacial bones

How well did you know this?
1
Not at all
2
3
4
5
Perfectly
13
Q

Pathology?

A

Osteoblastoma

resembles osteoid osteoma; osteoblasts and osteoclast-like giant cells rim interconnected spicules of osteoid and woven bone; intervening stroma shows prominent vascularity; no significant atypia

How well did you know this?
1
Not at all
2
3
4
5
Perfectly
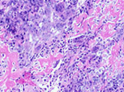
14
Q

Pathology?

A

Osteosarcoma

malignant tumor of neoplastic mesenchymal cells synthesizing osteoid or immature bone

second decade; distal femur and proximal tibia, proximal humerus

How well did you know this?
1
Not at all
2
3
4
5
Perfectly
15
Q

Pathology?

A

Osteosarcoma

highly pleomorphic cells and haphazard deposits of osteoid; anaplastic features and mitotic activity; lace-like pattern

How well did you know this?
1
Not at all
2
3
4
5
Perfectly
16
Q

Pathology?

A

Osteosarcoma

highly pleomorphic cells and haphazard deposits of osteoid; anaplastic features and mitotic activity; lace-like pattern

How well did you know this?
1
Not at all
2
3
4
5
Perfectly
17
Q

Pathology?

A

Osteochondroma

cartilage-capped outgrowth attached to underlying bone by a bony stalk

M>F; usually stops growing when skeletal maturity reached

EXT1 and EXT2 gene deletions (q24 of chromosome 8, p11-12 of chromosome 11)

How well did you know this?
1
Not at all
2
3
4
5
Perfectly
18
Q

Pathology?

A

Osteochondroma

uniform, cartilaginous cap with stippled calcifications; cortex and medulla are continuous with those of lesion

How well did you know this?
1
Not at all
2
3
4
5
Perfectly
19
Q

Pathology?

A

Chondroma

common, benign, intramedullary bone tumor composed of mature hyaline cartilage

third and fourth decades; limited growth potential

vague lobularity (soap bubbles)

How well did you know this?
1
Not at all
2
3
4
5
Perfectly
20
Q

Pathology?

A

Chondroma

abundant cartilaginous matrix, can be focally calcified; low cellularity; clustered and scattered chondrocytes with small, uniform, darkly staining nuclei; occasional binucleated chondrocytes

How well did you know this?
1
Not at all
2
3
4
5
Perfectly
21
Q

Pathology?

A

Chondroblastoma

rare, benign neoplasm occurring second decade when growth plates are still open

70% in proximal humerus and knee, invariably at EPIPHYSIS

irregular but circumscribed, radiolucent epiphyseal lesion surrounded by reactive bone sclerosis

How well did you know this?
1
Not at all
2
3
4
5
Perfectly
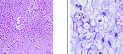
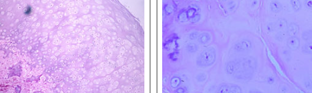
22
Q

Pathology?

A

Chondroblastoma

highly cellular, sheets of round to polygonal cells; multiple small foci of immature bluish-pink chondroid give a lobular appearance; multinucleated giant cells; chicken-wire (right photo) calcification

How well did you know this?
1
Not at all
2
3
4
5
Perfectly
23
Q

Pathology?

A

Chondromyxoid fibroma

well-defined, expansile lytic lesion, centered at metaphysis and bordered by sclerotic rim

<40 years, peak incidence 10-20 years; 30% in knee area

How well did you know this?
1
Not at all
2
3
4
5
Perfectly
24
Q

Pathology?

A

Chondromyxoid fibroma

moderately cellular chondromyxoid tissue with vague lobularity and mildly pleomorphic, angular and stellate cells set in bluish-pink chondromyxoid stroma

How well did you know this?
1
Not at all
2
3
4
5
Perfectly
25
Pathology
Chondrosarcoma malignant, cartilage-producing tumor 30-50 years, extremely rare in children; bones of trunk (pelvis), femur, and humerus
26
Pathology?
Chondrosarcoma large, lobulated, ill-defined lesion; moderately cellular, atypia
27
Pathology?
Non-ossifying fibroma common, non-neoplastic, self-healing lesion occurring in skeletally immature individuals 5-20 years often incidental findings sharply demarcated, lucent, lobulated, meta-diaphyseal lesion surrounded by sclerotic rim
28
Pathology?
Non-ossifying fibroma moderately cellular lesion composed of uniform spindle cells in a storiform pattern and scattered giant cells; mitotic figures easily found; foamy histiocytes (xanthoma cells) and hemosiderin-laden macrophages
29
Pathology?
Fibrous dysplasia inability of tissue to produce mature lamellar bone; benign fibro-osseous lesion; 10-25 years; intramedullary location long bones (ribs, femur, tibia, jaw, humerus) in metaphysis or diaphysis
30
Pathology?
Fibrous dysplasia thin wavy spicules of woven bone; lack of osteoblastic rimming or osteoclastic activity
31
Pathology?
Giant cell tumor relatively uncommon, locally aggressive neoplasm that may produce bone destruction and soft tissue destruction 20-50 years 65% in distal femur, proximal tibia, and distal radius well-defined, lytic lesion eccentrically located in epiphysis with subchondral and metaphyseal extension
32
Pathology?
Giant cell tumor multinucleated giant cells in a background of small, ovoid, mononuclear stromal cells with poorly defined cytoplasmic borders
33
Pathology?
Ewing's sarcoma arises in medullar cavity, invades cortex and periosteum, and frequently produces soft tissue mass 80% occur between 5-20 years diaphysis of femur, tibia, humerus, pelvis, and ribs
34
Pathology?
Ewing's sarcoma sheets of primitive cells with little histological evidence of differentiation; mitotic rate is relatively low; positive for CD99/O13
35
Pathology?
Lipoma
36
Pathology?
Spindle cell lipoma
37
Pathology?
Angiolipoma
38
Pathology?
Intramuscular lipoma
39
Pathology?
Lipoblastoma
40
Pathology?
Lipoblastoma
41
Pathology?
Liposarcoma type 1: well-differentiated liposarcoma
42
Pathology?
Liposarcoma type 2: myxoid liposarcoma
43
Pathology?
Liposarcoma type 3: pleomorphic liposarcoma
44
Pathology?
Nodular fasciitis
45
Pathology?
Palmar superficial fibromatosis (Dupuytren contracture)
46
Pathology?
Palmar fibromatosis dense, but uniform, proliferation of fibroblasts with dense collagen in superficial fibromatosis
47
Pathology?
Deep fibromatoses (desmoid tumors) large infiltrative masses in anterior abdominal wall, limb girdles, or mesentery; most common in young F
48
Pathology?
Myositis ossificans athletic adolescents and young adults, often following trauma
49
Pathology?
Rhabdomyosarcoma most common soft tissue sarcoma of childhood and adolescence
50
Pathology?
Alveolar rhabdomyosarcoma
51
Pathology?
Leiomyoma (top), leiomyosarcoma (bottom)
52
Crystal type?
Urate crystals
53
Crystal type?
Calcium pryophosphate dihydrate crystals
54
Pathology?
Lyme
55
Pathology?
Osteoarthritis
56
Pathology?
Osteoarthritis
57
Pathology?
Class IV lupus nephritis - Diffuse proliferative nephritis most common nephritis in lupus
58
Pathology?
Lupus
59
Pathology?
Discoid lupus
60
Pathology?
Sjogren's syndrome
61
Pathology?
Scleroderma
62
Pathology?
Rheumatoid arthritis left: synovium in RA right: lymphoid follicles in RA
63
Pathology?
Rheumatoid arthritis left to right: swan neck deformity, rheumatoid nodules, ulnar deviation
64
Pathology?
Giant cell arteritis vasculitis of large vessels
65
Pathology?
Giant cell arteritis
66
Pathology?
Takayasu arteritis
67
Pathology?
Kawasaki disease